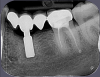
OMFS Опубликовано 19 июля, 2013 Поделиться Опубликовано 19 июля, 2013 История:имплантация в 2006 несколько дней назад поломался мост, появилась подвижность и после небольшая болезненность при накусывании.КТ 2012 г.прицельный снимок вчерашний.Достали сегодня. 4 Ссылка на комментарий
Pavel Y. Опубликовано 19 июля, 2013 Поделиться Опубликовано 19 июля, 2013 Не пойму, что в лунке винта? Перед ушиванием.... Ссылка на комментарий
OMFS Опубликовано 19 июля, 2013 Автор Поделиться Опубликовано 19 июля, 2013 Не пойму, что в лунке винта? Перед ушиванием....PRF Ссылка на комментарий
АнтонТЛТ Опубликовано 19 июля, 2013 Поделиться Опубликовано 19 июля, 2013 Это Новокузнецк или что-то другое? Ссылка на комментарий
OMFS Опубликовано 19 июля, 2013 Автор Поделиться Опубликовано 19 июля, 2013 Это Новокузнецк или что-то другое?без малейшего понятия! Ставили в Алтайском крае. Ссылка на комментарий
kriokov Опубликовано 19 июля, 2013 Поделиться Опубликовано 19 июля, 2013 (изменено) Это Новокузнецк или что-то другое?похож на болт новокузнецкий. Лет 10 назад приезжала к нам Копысова с агитационным паровозом, такой же в супнаборе у нее был Изменено 19 июля, 2013 пользователем kriokov Ссылка на комментарий
АнтонТЛТ Опубликовано 19 июля, 2013 Поделиться Опубликовано 19 июля, 2013 похож на болт новокузнецкий. Лет 10 назад приезжала к нам Копысова с агитационным паровозом, такой же в супнаборе у нее был Не помнишь поверхность была шершавая или гладкая? Ссылка на комментарий
kriokov Опубликовано 19 июля, 2013 Поделиться Опубликовано 19 июля, 2013 (изменено) Не помнишь поверхность была шершавая или гладкая?поверхность точно шершавая, позиционировалось как штука изготовленная из пористого никелид - титана с эффектом памяти формы и помоему изготовленная методом порошковой металлургии. Меня отправили туда скобки смотреть омего образные с памятью формы, для остеосинтеза нижней челюсти . Я послушал , шефу доложил. И решили мини и микропластины купить немецкие, из Бертизгадена.Еще какую то скобку показывали для шинирования подвижных зубов. Но это для меня уже не очень понятно было, поэтому ушел. Изменено 19 июля, 2013 пользователем kriokov 1 Ссылка на комментарий
StomDoc Опубликовано 20 июля, 2013 Поделиться Опубликовано 20 июля, 2013 Почему по одномоментному протоколу не пошли??? Ссылка на комментарий
OMFS Опубликовано 20 июля, 2013 Автор Поделиться Опубликовано 20 июля, 2013 Почему по одномоментному протоколу не пошли??? Улетела в Лас Вегас на следующий день. Ссылка на комментарий
andr99 Опубликовано 22 июля, 2013 Поделиться Опубликовано 22 июля, 2013 Честно говоря, думал, что резорбция поболее должна быть..Аккуратно достали, спасибо за случай! Ссылка на комментарий
OMFS Опубликовано 23 июля, 2013 Автор Поделиться Опубликовано 23 июля, 2013 Честно говоря, думал, что резорбция поболее должна быть..Аккуратно достали, спасибо за случай!Пожалуйста!Вы правы. Снимок не соответствует действительности, имплантат болтался. Просто подковырнул его элеватором. Ссылка на комментарий
Рекомендуемые сообщения
Для публикации сообщений создайте учётную запись или авторизуйтесь
Вы должны быть пользователем, чтобы оставить комментарий
Создать аккаунт
Зарегистрируйте новый аккаунт в нашем сообществе. Это очень просто!
Регистрация нового пользователяВойти
Уже есть аккаунт? Войти в систему.
Войти