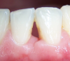
lyubovmuzgina Опубликовано 2 июня, 2013 Поделиться Опубликовано 2 июня, 2013 Как восстановить межзубной сосочек между 31-41.Результат ортодонтического лечения. Ссылка на комментарий
kriokov Опубликовано 2 июня, 2013 Поделиться Опубликовано 2 июня, 2013 (изменено) нужны фото во рту, снимок этих зубов. Изменено 2 июня, 2013 пользователем kriokov 1 Ссылка на комментарий
IvanK Опубликовано 2 июня, 2013 Поделиться Опубликовано 2 июня, 2013 Как восстановить межзубной сосочек между 31-41.Результат ортодонтического лечения.с помощью методик пластики мягких тканей. Ссылка на комментарий
Bier Опубликовано 2 июня, 2013 Поделиться Опубликовано 2 июня, 2013 Гиалуронку в сосочек можно уколоть 1 Ссылка на комментарий
Pavel Y. Опубликовано 2 июня, 2013 Поделиться Опубликовано 2 июня, 2013 Гиалуронку в сосочек можно уколоть+1 Сегодня это третье упоминание о ней Ссылка на комментарий
IvanK Опубликовано 2 июня, 2013 Поделиться Опубликовано 2 июня, 2013 Гиалуронку в сосочек можно уколоть точно! +1 Сегодня это третье упоминание о нейну так на одном симпозиуме были)) 1 Ссылка на комментарий
lyubovmuzgina Опубликовано 2 июня, 2013 Автор Поделиться Опубликовано 2 июня, 2013 точно! ну так на одном симпозиуме были ))сосочка нет совсем, визуально - равнобедренный треугольник с ровным основанием слизистой Ссылка на комментарий
Bier Опубликовано 2 июня, 2013 Поделиться Опубликовано 2 июня, 2013 сосочка нет совсем, визуально - равнобедренный треугольник с ровным основанием слизистойЛюбовь, если вы не можете предоставить фотографии, нормального ответа вы не получите.чтобы думать о восстановлении сосочка необходимо обратить внимание на массу деталей. Но если сосочка нет вследствие пародонтита - сосочек не вернуть. Ссылка на комментарий
doca Опубликовано 2 июня, 2013 Поделиться Опубликовано 2 июня, 2013 Любовь, если вы не можете предоставить фотографии, нормального ответа вы не получите.чтобы думать о восстановлении сосочка необходимо обратить внимание на массу деталей. Но если сосочка нет вследствие пародонтита - сосочек не вернуть.но гиалуронку кколоть все равно можно 2 Ссылка на комментарий
carloss Опубликовано 2 июня, 2013 Поделиться Опубликовано 2 июня, 2013 но гиалуронку кколоть все равно можно а как её колоть.. проблематично? Ссылка на комментарий
Bier Опубликовано 3 июня, 2013 Поделиться Опубликовано 3 июня, 2013 а как её колоть.. проблематично?Да вроде нет я обещаю выяснить 2 Ссылка на комментарий
carloss Опубликовано 3 июня, 2013 Поделиться Опубликовано 3 июня, 2013 ждём с нетерпением Ссылка на комментарий
DoctorN Опубликовано 3 июня, 2013 Поделиться Опубликовано 3 июня, 2013 ждём с нетерпениемэх,мужчины,мужчины,))гиалуроновая кислота используется не только в стоматологии-это либо жидкий гель(он только для мезотерапии) либо масса довольно плотной консистенции(используется для контурной пластики)-вот она то и подойдет для заполнения сосочка,но есть дин недостаток-она рассасывается,так что эта мера-временная Ссылка на комментарий
Bier Опубликовано 3 июня, 2013 Поделиться Опубликовано 3 июня, 2013 эх,мужчины,мужчины,))гиалуроновая кислота используется не только в стоматологии-это либо жидкий гель(он только для мезотерапии) либо масса довольно плотной консистенции(используется для контурной пластики)-вот она то и подойдет для заполнения сосочка,но есть дин недостаток-она рассасывается,так что эта мера-временнаяМы в курсе этого не надо нас считать такими дремучими но какой брать гель хочется выяснить подробнее у тех, кто применяет на практике 1 Ссылка на комментарий
lyubovmuzgina Опубликовано 16 июня, 2013 Автор Поделиться Опубликовано 16 июня, 2013 Пожалуйста фото. Ссылка на комментарий
sergio Опубликовано 16 июня, 2013 Поделиться Опубликовано 16 июня, 2013 Пожалуйста фото.боюсь, гиалуронка здесь не поможет. Надо еще ортодонту работать... хирургически тоже такое не закрыть... А что, пациентку это волнует? это же неэстетически значимая зона обычно Ссылка на комментарий
Bier Опубликовано 16 июня, 2013 Поделиться Опубликовано 16 июня, 2013 хирургически - неоперабельно, костного пика нет. Виниры + ССТ несколько улучшат ситуацию. 3 Ссылка на комментарий
Рекомендуемые сообщения
Для публикации сообщений создайте учётную запись или авторизуйтесь
Вы должны быть пользователем, чтобы оставить комментарий
Создать аккаунт
Зарегистрируйте новый аккаунт в нашем сообществе. Это очень просто!
Регистрация нового пользователяВойти
Уже есть аккаунт? Войти в систему.
Войти