Tanya17 Опубликовано 15 мая, 2013 Поделиться Опубликовано 15 мая, 2013 Пожалуйста посоветуйте нужно ли перелечивать седьмой зуб перед постановкой на него коронки.Была у нескольких врачей- мнения совершенно разные- от удаления и до перелечивания каналов, или "лучше ничего не трогать".Совсем не знаю как поступить ;-(( Очень не хочется терять очередной зуб. Ссылка на комментарий
Tanya17 Опубликовано 15 мая, 2013 Автор Поделиться Опубликовано 15 мая, 2013 еще снимокhttp://s14.radikal.ru/i187/1305/60/52c0c3a49fd3.jpg Ссылка на комментарий
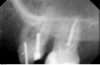
Magdalena Опубликовано 15 мая, 2013 Поделиться Опубликовано 15 мая, 2013 Нужно перелечивать каналы - не до конца запломбированы, значит осталась инфекция, которая может дать знать о себе в любой момент, в т.ч. под коронкой. Ищите специалиста - эндодонтиста, работающего с увеличением (микроскоп). Ссылка на комментарий
Tanya17 Опубликовано 15 мая, 2013 Автор Поделиться Опубликовано 15 мая, 2013 вот как раз только сегодня у такого специалиста и была. он мне сказал, что каналы непроходимые скорее всего и зуб лучше не трогать :-(( 1 Ссылка на комментарий
Magdalena Опубликовано 16 мая, 2013 Поделиться Опубликовано 16 мая, 2013 Так пусть сделает диагностическое препарирование под микроскопом, уберет старый пломбировочный материал из каналов и убедится, что каналы не проходимы. А скорее очень даже проходимы, по снимку впечатление, что ступеней наделали при первичном лечении. Ссылка на комментарий
DmitrySH Опубликовано 16 мая, 2013 Поделиться Опубликовано 16 мая, 2013 А еще очень полезно сделать КТ. На прицельном снимке и на ОПТГ очень плохо видно состояние тканей вокруг верхушек корней. Ссылка на комментарий
Tanya17 Опубликовано 17 мая, 2013 Автор Поделиться Опубликовано 17 мая, 2013 Спасибо большое за советы. Попробую поискать другого врача.А еще вопрос-не будет хуже, если мне этот зуб расковыряют, а там окажется что каналы все-таки пройти нельзя?И есть ли смысл просто поменять штифты, как советует последний врач? Ссылка на комментарий
Magdalena Опубликовано 17 мая, 2013 Поделиться Опубликовано 17 мая, 2013 (изменено) Спасибо большое за советы. Попробую поискать другого врача.А еще вопрос-не будет хуже, если мне этот зуб расковыряют, а там окажется что каналы все-таки пройти нельзя?И есть ли смысл просто поменять штифты, как советует последний врач?речь про какой-зуб идет? Вы спрашивали про 7, а со штифтами у Вас 6, насколько я вижу по оптг. Изменено 17 мая, 2013 пользователем Magdalena Ссылка на комментарий
Tanya17 Опубликовано 17 мая, 2013 Автор Поделиться Опубликовано 17 мая, 2013 Прошу прощения- конечно шестой ;-(( Ссылка на комментарий
Magdalena Опубликовано 17 мая, 2013 Поделиться Опубликовано 17 мая, 2013 А я про 7 отвечала) В 6 есть подозрение на перфорацию штифтом стенки канала, нужно штифты убирать, думаю, они не трудно извлекутся, не глубоко зафиксированы, и смотреть что останется от зуба и нет ли перфорации. Ссылка на комментарий
Tanya17 Опубликовано 19 мая, 2013 Автор Поделиться Опубликовано 19 мая, 2013 То есть у меня есть шанс что зуб придется удалять? Может тогда его лучше не трогать совсем пока он не беспокоит. Как Вы считаете? Ссылка на комментарий
Magdalena Опубликовано 19 мая, 2013 Поделиться Опубликовано 19 мая, 2013 Судя по тому как зуб сточен, вы им полноценно не жуете, поэтому логично или перелечить и покрыть коронкой или удалить и имплант, иначе зуб функциональной ценности не представляет. Ссылка на комментарий
Tanya17 Опубликовано 20 мая, 2013 Автор Поделиться Опубликовано 20 мая, 2013 Magdalena, пожалуйста поясните, я правильно Вас поняла, что в процессе перелечивания может оказаться, что зуб нужно удалять?И еще, нужно ли в нем трогать каналы? Ссылка на комментарий
Magdalena Опубликовано 20 мая, 2013 Поделиться Опубликовано 20 мая, 2013 Да , может оказаться, что зуб надо удалять. Именно в перелечивании каналов и заключается лечение. Ссылка на комментарий
Tanya17 Опубликовано 20 мая, 2013 Автор Поделиться Опубликовано 20 мая, 2013 Значит смысла только в замене штифта, как мне предложил врач нет? Либо оставить все как есть, либо пытаться перелечить каналы? 1 Ссылка на комментарий
Magdalena Опубликовано 20 мая, 2013 Поделиться Опубликовано 20 мая, 2013 Да, Вы все правильно поняли. Ссылка на комментарий
Tanya17 Опубликовано 20 мая, 2013 Автор Поделиться Опубликовано 20 мая, 2013 Да, Вы все правильно поняли.Спасибо Вам большое за ответы Ссылка на комментарий
Рекомендуемые сообщения
Для публикации сообщений создайте учётную запись или авторизуйтесь
Вы должны быть пользователем, чтобы оставить комментарий
Создать аккаунт
Зарегистрируйте новый аккаунт в нашем сообществе. Это очень просто!
Регистрация нового пользователяВойти
Уже есть аккаунт? Войти в систему.
Войти