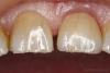
an_ver Опубликовано 2 мая, 2013 Поделиться Опубликовано 2 мая, 2013 Произошел скол вест.стенки.Немного удлинили,немного времен.коронки.Работе 1,5 года 6 Ссылка на комментарий
anvladd Опубликовано 2 мая, 2013 Поделиться Опубликовано 2 мая, 2013 пац 11 не захотел подшлифовать? Ссылка на комментарий
an_ver Опубликовано 2 мая, 2013 Автор Поделиться Опубликовано 2 мая, 2013 пац 11 не захотел подшлифовать?Нет.Задача была сделать 21 в точную копию 11 Ссылка на комментарий
anvladd Опубликовано 2 мая, 2013 Поделиться Опубликовано 2 мая, 2013 так то красиво, тока вот острые края 11 а на 21 нету. Ссылка на комментарий
an_ver Опубликовано 2 мая, 2013 Автор Поделиться Опубликовано 2 мая, 2013 так то красиво, тока вот острые края 11 а на 21 нету.Это да))) Ссылка на комментарий
Alex74 Опубликовано 6 мая, 2013 Поделиться Опубликовано 6 мая, 2013 Самая хорошая работа - незаметная работа! Круто! Ссылка на комментарий
an_ver Опубликовано 6 мая, 2013 Автор Поделиться Опубликовано 6 мая, 2013 Самая хорошая работа - незаметная работа! Круто! Спасибо.Эт не я, это техник молодец Ссылка на комментарий
DmitrySH Опубликовано 7 мая, 2013 Поделиться Опубликовано 7 мая, 2013 А техник по фото или вживую смотрел? Думаю пациент остался доволен Ссылка на комментарий
an_ver Опубликовано 8 мая, 2013 Автор Поделиться Опубликовано 8 мая, 2013 А техник по фото или вживую смотрел? Думаю пациент остался доволен Только по фото.Техник далеко))) 800 м Ссылка на комментарий
Art 7 Опубликовано 8 мая, 2013 Поделиться Опубликовано 8 мая, 2013 А техник по фото или вживую смотрел? Думаю пациент остался доволен Только по фото.Техник далеко))) 800 мДумаю если ускорится то за 1.40,91 мин успеет))) 1 Ссылка на комментарий
Рекомендуемые сообщения
Для публикации сообщений создайте учётную запись или авторизуйтесь
Вы должны быть пользователем, чтобы оставить комментарий
Создать аккаунт
Зарегистрируйте новый аккаунт в нашем сообществе. Это очень просто!
Регистрация нового пользователяВойти
Уже есть аккаунт? Войти в систему.
Войти