Dtm Опубликовано 20 марта, 2013 Поделиться Опубликовано 20 марта, 2013 Здравствуйте! Меня зовут Дмитрий, мне 30 лет. Уважаемые доктора не могли бы взглянуть на снимок и высказать свое мнение относительно возможности наличия источника фокальной инфекции либо иных проблем? Ссылка на комментарий
IvanK Опубликовано 20 марта, 2013 Поделиться Опубликовано 20 марта, 2013 Проф.гигиена + обучениеУдаление всех 8-ок + слева внизу 7 ?Консультация пародонтолога, ортопеда, ортодонтаПерелечивание 16,26,37?Имплантация 36,46, 37? Ссылка на комментарий
Dtm Опубликовано 20 марта, 2013 Автор Поделиться Опубликовано 20 марта, 2013 (изменено) Проф.гигиена + обучениеУдаление всех 8-ок + слева внизу 7 ?Консультация пародонтолога, ортопеда, ортодонтаПерелечивание 16,26,37?Имплантация 36,46, 37? Иван спасибо вам за оперативный ответ! Не могли бы вы пояснить немного (прошу прощения за мою некомпетентность, но я не доктор). На данный момент удалены нижние шестерки (точнее то что от них оставалось, были пломбированы лет десять назад) осенью 2012г. Остальные пломбы устанавливались веной-летом 2012г в бюджетной районной поликлинике. Верхние шестерки в процессе лечения (пломба с мышьяком) болели, вплоть до вспышек в глазах с отдачей в ухо (иррадировало в тройничный нерв?). При удалении разделившихся корней правой нижней шестерки на корне висел гнойный мешок (как сказал стоматолог). Кроме того есть рентген пазух и результаты МРТ, в заключении мрт "Выявлено нарушение пневматизации верхнечелюстных пазух и ячеек решетчатого лабиринта за счет неравномерного умеренного утолщения слизистой оболочки / воспалительного генеза/, с наличием экссудативного компонента в гайморовых пазухах ( и горизонтального уровня жидкости с явлением седиментации) занимающего до 1/2 объема пазух. МР картина экссудативного гайморита, этмоидита". Снимок рентген прилагаю (прошу извинить за качество). P.S: Касательно 16 и 26 наверное Вы правы: после лечения между 16 и 15 чернота и она по моему постепенно растет, сам 16 немного кровоточит (можно заметить утром), 26 тоже кровоточит понемногу. А что с 8-ками, левая действительно бывает чувствительна к горячему, за правой не замечал, оба нужно удалять? Изменено 20 марта, 2013 пользователем Dtm Ссылка на комментарий
shishok Опубликовано 20 марта, 2013 Поделиться Опубликовано 20 марта, 2013 Восьмые нижние у Вас никогда не прорежутся из-за неправильного расположения(наклона),если их не удалять,то в последующем проблем будет больше-между 8 и 7 забивается пища(слева уже огромный карман),испортятся и семёрки.Верхние восьмые имеет смысл тоже удалять,т.к.без нижних восьмых они будут смещаться вниз и блокировать движения нижней челюсти,что приведёт к проблемам с ВНЧ суставом. 1 Ссылка на комментарий
Dtm Опубликовано 21 марта, 2013 Автор Поделиться Опубликовано 21 марта, 2013 Восьмые нижние у Вас никогда не прорежутся из-за неправильного расположения(наклона),если их не удалять,то в последующем проблем будет больше-между 8 и 7 забивается пища(слева уже огромный карман),испортятся и семёрки.Верхние восьмые имеет смысл тоже удалять,т.к.без нижних восьмых они будут смещаться вниз и блокировать движения нижней челюсти,что приведёт к проблемам с ВНЧ суставом. Спасибо про 8-ки понял. А можно ли что либо сказать по снимку о вероятности наличия фокальной инфекции? В пазухах жидкость, однако ЛОР в областной больнице заверяла, что гайморита нет, есть мол небольшое искривление перегородки и все. Но после того как у меня весной 2012 заболели верхние 6-ки, появились помутнения в СТ, глаза до сих пор красные, иньекция коньюктивы, блефарит и так целый год уже. Антибиотики что окулисты прописывали ни один не дал сколь либо длительного результата. Одно могу сказать точно - проблемы со зрением появились после того как заболели верхние 6. Есть у меня подозрение, что где то сидит инфекция. Ссылка на комментарий
АнтонТЛТ Опубликовано 21 марта, 2013 Поделиться Опубликовано 21 марта, 2013 На счет пазух сделайте кт Ссылка на комментарий
Dtm Опубликовано 21 марта, 2013 Автор Поделиться Опубликовано 21 марта, 2013 Антон спасибо за совет. Я сделал недавно МРТ, выдержку сверху приводил. Снимок рентгеновский что прикрепил делал в Ноябре 2012 + зубы снимал раз 5 за прошлый год. Вы имеете ввиду рентгеновскую спиральную КТ? Ссылка на комментарий
АнтонТЛТ Опубликовано 21 марта, 2013 Поделиться Опубликовано 21 марта, 2013 Да, либо конусно-лучевую Ссылка на комментарий
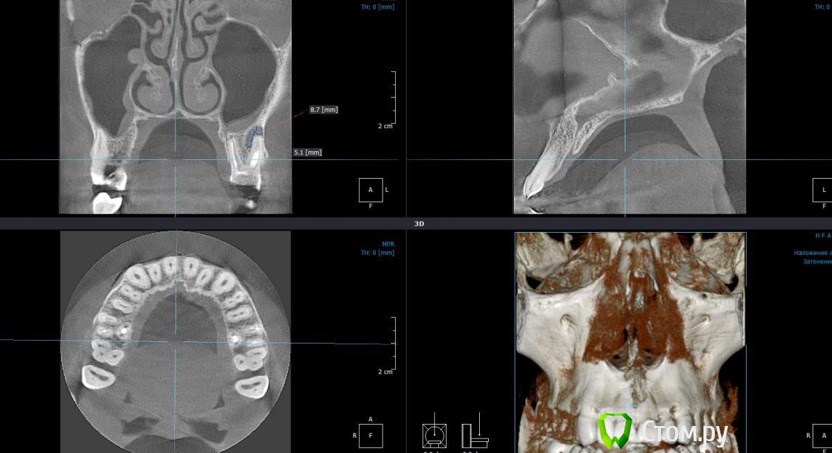
Dtm Опубликовано 1 марта, 2014 Автор Поделиться Опубликовано 1 марта, 2014 Подниму немного свою тему - сделал наконец то КТ, кажется я не ошибался в своих подозрениях на обе верхние 6-ки, что скажут уважаемые доктора? Ссылка на комментарий
Гарриевич Опубликовано 2 марта, 2014 Поделиться Опубликовано 2 марта, 2014 Подниму немного свою тему - сделал наконец то КТ, кажется я не ошибался в своих подозрениях на обе верхние 6-ки, что скажут уважаемые доктора?Нужно перелечивать Ссылка на комментарий
IvanK Опубликовано 3 марта, 2014 Поделиться Опубликовано 3 марта, 2014 Нужно перелечивать +1 Ссылка на комментарий
Dtm Опубликовано 3 марта, 2014 Автор Поделиться Опубликовано 3 марта, 2014 Спасибо! На КТ видно что верхушки корней 6 контактируют с ВЧ пазухой - насколько велик риск при перепломбировании (я правильно понял?) вывести пломбировочный материал за верхушку корня в пазухи в данном случае? Ссылка на комментарий
IvanK Опубликовано 3 марта, 2014 Поделиться Опубликовано 3 марта, 2014 При грамотном подходе проблем быть не должно. Всякое бывает Ссылка на комментарий
Dtm Опубликовано 3 марта, 2014 Автор Поделиться Опубликовано 3 марта, 2014 Согласен, но для меня как пациента это имеет решающее значение - последствия могут быть неприятные. Может быть безопаснее удалить с имплантацией в перспективе? На левой 6 явно киста у корня? Насколько реально ее пролечить и как, просто сменить пломбу думаю не все, терапия какая то нужна в процессе, я имею ввиду вскрыть, ввести лекарство например? Ссылка на комментарий
IvanK Опубликовано 4 марта, 2014 Поделиться Опубликовано 4 марта, 2014 Насколько реально ее пролечить Все зависит от Врача.. Ссылка на комментарий
M@estro Опубликовано 4 марта, 2014 Поделиться Опубликовано 4 марта, 2014 Ищите хорошего доктора,работающего с современным оборудованием,которых ЗАХОЧЕТ спасти этот зуб. И доверьтесь ему. Знать,как лечат зубы - Вам необязательно,во все тонкости Вы все равно не вникните и не проконтролируете выполнение работы,а лишь вызовите недовольство доктора. Ссылка на комментарий
Рекомендуемые сообщения
Для публикации сообщений создайте учётную запись или авторизуйтесь
Вы должны быть пользователем, чтобы оставить комментарий
Создать аккаунт
Зарегистрируйте новый аккаунт в нашем сообществе. Это очень просто!
Регистрация нового пользователяВойти
Уже есть аккаунт? Войти в систему.
Войти