Перейти к содержанию
Стоматология для всех

Рецессия десны и клиновидный дефект by неправильный прикус?


Рекомендуемые сообщения

Здравствуйте, доктора. Очень нужны ваши рекомендации в этой ситуации. Не знаю что делать, напугана страшными прогнозами, один из них: "Спешите жить. рожайте детей, все плохо и вряд ли исправимо".

 

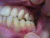
С детства у меня неправильный прикус, нижняя челюсть сильно выступала вперед и вообще челюсти очень маленькие. В школьном возрасте носила пластинку, но не долго. Справа в верхнем ряду удалили пятый зуб. (слева пятый зуб вырос на небе, его удалила месяц назад) Как-то выровняли прикус и остались этим довольны. Брекеты не носила, но отложила до лучших времен.

 

Сначала была чувствительность зубов. Но встревожилась только, когда появились клиновидные дефекты. Поставила пломбы, но чувствительность осталась, особенно в нижних молярах. Сейчас беспокоит рецессия десны в области клыков и второго нижнего резца слева.

 

Ортодонты говорят, что клиновидный дефект и рецессия вызваны неправильной нагрузкой. Но на вопрос "Если исправить (насколько это возможно) прикус, какая гарантия, что эти процессы остановятся?" отвечают уклончиво.

 

Сейчас я хочу, но не решаюсь ставить брекеты, т.к. боюсь ухудшения с десной. Если зуб двигать, не усугубит ли это и так для моего возраста (25 лет) раннюю рецессию?

 

​Или лучше оставить прикус в покое и сделать пластику десны? Или и то и другое?

Я понимаю, что гарантированного результата никто не может пообещать, но хотелось бы быть уверенной, что хуже не станет.

 

КТ по ссылке

http://www.fayloobmennik.net/2700409

Пароль 7575

 

Заранее спасибо!

post-33143-0-33360000-1363278966_thumb.jpg

post-33143-0-76852700-1363278973_thumb.jpg

post-33143-0-45622400-1363278988_thumb.jpg

post-33143-0-36964300-1363278996_thumb.jpg

post-33143-0-15031500-1363279010_thumb.jpg

post-33143-0-44249000-1363279019_thumb.jpg

post-33143-0-96537900-1363279032_thumb.jpg

post-33143-0-62919400-1363279037_thumb.jpg

post-33143-0-48371600-1363279043_thumb.jpg

post-33143-0-50294000-1363279452_thumb.jpg

Ссылка на комментарий

Для публикации сообщений создайте учётную запись или авторизуйтесь

Вы должны быть пользователем, чтобы оставить комментарий

Создать аккаунт

Зарегистрируйте новый аккаунт в нашем сообществе. Это очень просто!

Регистрация нового пользователя

Войти

Уже есть аккаунт? Войти в систему.

Войти
×
×
  • Создать...
Вверх