Юлианко Опубликовано 12 марта, 2013 Поделиться Опубликовано 12 марта, 2013 Добрый день! Ситуация такова : имеются зубы мудрости ( ретинированные ), места для них нет. Стоит ли удалять зубы мудрости или обойтись удалением четверок? Есть ли еще варианты? Ссылка на комментарий
Большой Зеленый Опубликовано 12 марта, 2013 Поделиться Опубликовано 12 марта, 2013 Конечно стоит!! И четверки тоже. А заодно и тройки.http://forum.stom.ru/topic/20613-%D1%81%D0%BE%D0%B2%D0%B5%D1%82%D1%8B-%D0%BF%D0%B0%D1%86%D0%B8%D0%B5%D0%BD%D1%82%D0%B0%D0%BC-%D0%BE%D0%B1%D1%8F%D0%B7%D0%B0%D1%82%D0%B5%D0%BB%D1%8C%D0%BD%D0%BE-%D0%BA-%D0%BF%D1%80%D0%BE%D1%87%D1%82%D0%B5%D0%BD%D0%B8%D1%8E/ 1 Ссылка на комментарий
Юлианко Опубликовано 13 марта, 2013 Автор Поделиться Опубликовано 13 марта, 2013 Конечно стоит!! И четверки тоже. А заодно и тройки.http://forum.stom.ru...но-к-прочтению/Спасибо за веселый ответ) если пост некорректен, удаляйте уж Ссылка на комментарий
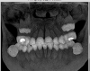
Большой Зеленый Опубликовано 13 марта, 2013 Поделиться Опубликовано 13 марта, 2013 Чтобы получить полезную информацию нужны снимки .Ортопантомограмма,Телерентгенограмма,фотографии моделей челюстей ,фото во рту ... Ссылка на комментарий
Юлианко Опубликовано 13 марта, 2013 Автор Поделиться Опубликовано 13 марта, 2013 Чтобы получить полезную информацию нужны снимки .Ортопантомограмма,Телерентгенограмма,фотографии моделей челюстей ,фото во рту ...Надеюсь это подойдет Ссылка на комментарий
Рекомендуемые сообщения
Для публикации сообщений создайте учётную запись или авторизуйтесь
Вы должны быть пользователем, чтобы оставить комментарий
Создать аккаунт
Зарегистрируйте новый аккаунт в нашем сообществе. Это очень просто!
Регистрация нового пользователяВойти
Уже есть аккаунт? Войти в систему.
Войти