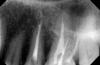
Z&Z Опубликовано 25 февраля, 2013 Поделиться Опубликовано 25 февраля, 2013 Добрый день, уважаемые стоматологи! Пожалуйста, оцените качество пломбировки каналов 2 зубов (2 канала и 4 канала) по прилагаемым снимкам.Каналы перепломбированы в связи с изначальной некачественной пломбировкой.Спасибо. Ссылка на комментарий
dok1 Опубликовано 25 февраля, 2013 Поделиться Опубликовано 25 февраля, 2013 Слишком сильно размыто. Вроде бы угадывается не большая недопломбировка. А что вас беспокоит? Ссылка на комментарий
Z&Z Опубликовано 25 февраля, 2013 Автор Поделиться Опубликовано 25 февраля, 2013 Слишком сильно размыто. Вроде бы угадывается не большая недопломбировка. А что вас беспокоит? Dok1, спасибо за Ваш ответ, беспокоит то, качественно ли сделано. Эти зубы под коронки. Ссылка на комментарий
dok1 Опубликовано 25 февраля, 2013 Поделиться Опубликовано 25 февраля, 2013 Нужны более чёткие снимки. Отвлечённо : иногда качество пломбировки диктуется каналами зубов - последствия предыдущего лечения. Не всегда всё во власти крайнего доктора. Ссылка на комментарий
Рекомендуемые сообщения
Для публикации сообщений создайте учётную запись или авторизуйтесь
Вы должны быть пользователем, чтобы оставить комментарий
Создать аккаунт
Зарегистрируйте новый аккаунт в нашем сообществе. Это очень просто!
Регистрация нового пользователяВойти
Уже есть аккаунт? Войти в систему.
Войти