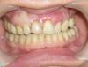
Dc.Petrov Опубликовано 16 января, 2013 Поделиться Опубликовано 16 января, 2013 Мой первый опыт по рецессиям. Фото до, сразу после операции, через 12 дней, через 5 недель. Жду комментариев, критики,советов. Фоткать тоже пока учусь... 3 Ссылка на комментарий
Bier Опубликовано 17 января, 2013 Поделиться Опубликовано 17 января, 2013 недомобилизировали лоскут скорее всего. Небольшой рецидив есть. Думаю учтете и в след раз будет лучше. 3 Ссылка на комментарий
StomDoc Опубликовано 17 января, 2013 Поделиться Опубликовано 17 января, 2013 Какими инструментами пользуетесь при расщеплении лоскута???? Ссылка на комментарий
Ст@ся Опубликовано 17 января, 2013 Поделиться Опубликовано 17 января, 2013 (изменено) Прекрасно для первого опыта!Мои комментарии:- фотографирование: старайтесь снимать с одной точки (самой не всегда удается) - так можно точнее оценить результат- операция: уже упомянутая недостаточная мобилизация - у пациент очень большая зона прикрепленной десны, нужно пройти ее всю до переходной складки, чтобы при ушивании не было натяжения. Наложение швов - нужно меньшее количество, но аккуратнее (придет с мануальным навыком). Трансплантат каким методом забирали? от себя картинкаhttp://images.vfl.ru/ii/1357797961/4a600d9a/1538184_m.jpg Изменено 17 января, 2013 пользователем Ст@ся 7 Ссылка на комментарий
Dc.Petrov Опубликовано 17 января, 2013 Автор Поделиться Опубликовано 17 января, 2013 Спасибо за оценку работы. По поводу мобилизации лоскута Вы правы : недоработал. Учту на будущее. Трансплантат сст из L- образного разреза Ссылка на комментарий
Dc.Petrov Опубликовано 17 января, 2013 Автор Поделиться Опубликовано 17 января, 2013 Донорская зона Ссылка на комментарий
Dc.Petrov Опубликовано 17 января, 2013 Автор Поделиться Опубликовано 17 января, 2013 Прекрасно для первого опыта!Мои комментарии:- фотографирование: старайтесь снимать с одной точки (самой не всегда удается) - так можно точнее оценить результат- операция: уже упомянутая недостаточная мобилизация - у пациент очень большая зона прикрепленной десны, нужно пройти ее всю до переходной складки, чтобы при ушивании не было натяжения. Наложение швов - нужно меньшее количество, но аккуратнее (придет с мануальным навыком). Трансплантат каким методом забирали? от себя картинка Вам, Анастасия, отдельное Спасибо за Ваши великолепные фото на форуме. Они очень вдохновляюще действуют не только на меня, но и, думаю, на многих форумчан. 3 Ссылка на комментарий
Ст@ся Опубликовано 17 января, 2013 Поделиться Опубликовано 17 января, 2013 При таком заборе я бы сделала первый разрез ближе к зубам.Я сейчас практически перестала проводить забор таким образом.Чаще так:http://images.vfl.ru/ii/1356782029/cdcd8946/1477641_m.jpg Ссылка на комментарий
Dc.Petrov Опубликовано 17 января, 2013 Автор Поделиться Опубликовано 17 января, 2013 Но тогда получается открытая рана + вторичное натяжение и больший дискомфорт пациенту? Ссылка на комментарий
Ст@ся Опубликовано 17 января, 2013 Поделиться Опубликовано 17 января, 2013 Но тогда получается открытая рана + вторичное натяжение и больший дискомфорт пациенту?Толщина забранного трансплантата - 1, 5 мм, качество подслизистого слоя при тонком небе намного выше, после деэпителизации остается практически чистый коллаген. Про закрытии каппой или проклеивании периакрилом дискомфорта практически не отмечают. И 1 Ссылка на комментарий
777white Опубликовано 17 января, 2013 Поделиться Опубликовано 17 января, 2013 Толщина забранного трансплантата - 1, 5 мм, качество подслизистого слоя при тонком небе намного выше, после деэпителизации остается практически чистый коллаген. Про закрытии каппой или проклеивании периакрилом дискомфорта практически не отмечают. ИНастя, подскажите пожалуйста, где этот чудо периакрил купить? Ссылка на комментарий
Ст@ся Опубликовано 17 января, 2013 Поделиться Опубликовано 17 января, 2013 Настя, подскажите пожалуйста, где этот чудо периакрил купить?Отправила в личку Ссылка на комментарий
777white Опубликовано 18 января, 2013 Поделиться Опубликовано 18 января, 2013 СПС !! Ссылка на комментарий
als00 Опубликовано 18 января, 2013 Поделиться Опубликовано 18 января, 2013 Киньте и мне пожалуйста про периакрил Ссылка на комментарий
doktorenok Опубликовано 18 января, 2013 Поделиться Опубликовано 18 января, 2013 Отправила в личкуПришлите пожалуйста и мне Ссылка на комментарий
Ст@ся Опубликовано 18 января, 2013 Поделиться Опубликовано 18 января, 2013 Отправила всем Ссылка на комментарий
IvanK Опубликовано 18 января, 2013 Поделиться Опубликовано 18 января, 2013 И мне, спасибо Ссылка на комментарий
ILGAMSA Опубликовано 18 января, 2013 Поделиться Опубликовано 18 января, 2013 и мне)) Ссылка на комментарий
DShu Опубликовано 18 января, 2013 Поделиться Опубликовано 18 января, 2013 Стася, он реально помогает? Можно использовать вместо каппы? На сколько хватит одной банки? Я помню что он около 200 $ стоил в чикагском. Ссылка на комментарий
Ст@ся Опубликовано 18 января, 2013 Поделиться Опубликовано 18 января, 2013 Я уже 2 года использую - если аккуратно проклеивать - достойная альтернатива. Держится до недели. Если, конечно, планируется ряд операций, то имеет смысл сделать каппу. Ссылка на комментарий
Dc.Petrov Опубликовано 18 января, 2013 Автор Поделиться Опубликовано 18 января, 2013 Мне тож ссылочку ,пжста.И ещё у меня вопрос к вам, Анастасия, по моему клиническому случаю: стоит ли надеяться на " наползающее прикрепление" на 22 зубе? Ссылка на комментарий
Алексей000_36_VRN.RU Опубликовано 18 января, 2013 Поделиться Опубликовано 18 января, 2013 Я таким клею http://frpc.secna.ru/medic/sulphakrilat.php Ссылка на комментарий
Ст@ся Опубликовано 19 января, 2013 Поделиться Опубликовано 19 января, 2013 Я бы оценила ситуацию через 6-8 недель, а затем через 3 месяца Ссылка на комментарий
Ст@ся Опубликовано 19 января, 2013 Поделиться Опубликовано 19 января, 2013 Я таким клею http://frpc.secna.ru...ulphakrilat.phpПо отзывам коллеги - не понравился из-за запаха и длительного времени полимеризации. Ссылка на комментарий
Dc.Petrov Опубликовано 19 января, 2013 Автор Поделиться Опубликовано 19 января, 2013 Я бы оценила ситуацию через 6-8 недель, а затем через 3 месяцаОт операции или от настоящего времени? Ссылка на комментарий
Рекомендуемые сообщения
Для публикации сообщений создайте учётную запись или авторизуйтесь
Вы должны быть пользователем, чтобы оставить комментарий
Создать аккаунт
Зарегистрируйте новый аккаунт в нашем сообществе. Это очень просто!
Регистрация нового пользователяВойти
Уже есть аккаунт? Войти в систему.
Войти