Перейти к содержанию
Стоматология для всех

Есть снимок, есть ли кариес?


tanak

Рекомендуемые сообщения

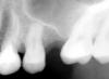
Сходила на Air flow. Заодно проконсультировалась по поводу коронки на четверку. Сделала снимок (верх). После чистки семерка (на снимке второй справа) начал реагировать на холод. Семерка под пломбой. Раньше проблем не было. Можно ли по снимку понять - есть там кариес или нет? Или это нормально после процедуры Air Flow? Ни десны, ни остальные зубы никак не прореагировали на чистку.

post-3207-0-36871500-1355311849_thumb.jpg

Ссылка на комментарий

Если боль от холодного сразу проходит, то скорее всего связано с Аэрофло(оголилась шейка зуба) Пройдёт. Если ноет потом некоторое время, то пульпит может быть.

Ссылка на комментарий

Для публикации сообщений создайте учётную запись или авторизуйтесь

Вы должны быть пользователем, чтобы оставить комментарий

Создать аккаунт

Зарегистрируйте новый аккаунт в нашем сообществе. Это очень просто!

Регистрация нового пользователя

Войти

Уже есть аккаунт? Войти в систему.

Войти
×
×
  • Создать...
Вверх