dv- Опубликовано 5 декабря, 2012 Поделиться Опубликовано 5 декабря, 2012 Добрый день, Сегодня на десне, на внутренней части появилась красная шишка. Заметил после еды. Неудобств не доставляет, но образование судя по виду не совсем нормальное (не стоматит, который бывает пару раз в год).К врачу не обращался (заметил пару часов назад только), но собираюсь. Вопрос пока такой - что это может быть (на основе фото для начала) и какому врачу собственно обращаться?Фото приложил. Ссылка на комментарий
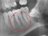
dv- Опубликовано 5 декабря, 2012 Автор Поделиться Опубликовано 5 декабря, 2012 (изменено) Зуб не пульпирован. Снимог годовалой давности. Изменено 5 декабря, 2012 пользователем dv- Ссылка на комментарий
shishok Опубликовано 5 декабря, 2012 Поделиться Опубликовано 5 декабря, 2012 Это свищевой ход.Вероятнее всего в шестом зубе умер нерв,воспаление из канала перешло на верхушку корня.К стоматологу-обязательно(необходимо перелечить каналы).На старом снимке пломба очень близко расположена к пульпарной камере(глубокий кариес).Снимок потребуется "свежий". Ссылка на комментарий
dv- Опубликовано 6 декабря, 2012 Автор Поделиться Опубликовано 6 декабря, 2012 (изменено) К утру шишка вроде как лопнула, т.е. на ее месте теперь небольшая ранка (1х2мм наверное, собственно как и был размер шишки, может чуть меньше). Не болит (но чуствуется, если языком трогать), сам зуб не беспокоит. Это ждет 4 дня?Просто у меня брекеты и я хотел бы ко врачу, к которому с брекетами хожу, а раньше записаться не получается. Изменено 6 декабря, 2012 пользователем dv- Ссылка на комментарий
DmitrySH Опубликовано 6 декабря, 2012 Поделиться Опубликовано 6 декабря, 2012 Вы уверены что ваш ортодонт занимается лечением каналов? Ссылка на комментарий
dv- Опубликовано 6 декабря, 2012 Автор Поделиться Опубликовано 6 декабря, 2012 (изменено) На счет именно лечения каналов - не уверен. Но пломбы в других зубах этот врач делал. Вопрос в другом - ждет ли 4 дня? Изменено 6 декабря, 2012 пользователем dv- Ссылка на комментарий
shishok Опубликовано 6 декабря, 2012 Поделиться Опубликовано 6 декабря, 2012 Ждёт(но только 4 дня!) Ссылка на комментарий
dv- Опубликовано 22 декабря, 2012 Автор Поделиться Опубликовано 22 декабря, 2012 Сходил к врачу (10 дней назад). Ничего не обнаружили, кость твердая в области где было это образование, сделали снимки (могу приложить), там тоже ничего нет. Боле-подвижности зуба тоже нет.Я так понимаю, что была какая-либо травма десны. Ссылка на комментарий
shishok Опубликовано 23 декабря, 2012 Поделиться Опубликовано 23 декабря, 2012 Cнимки всё равно неплохо бы посмотреть. Ссылка на комментарий
Рекомендуемые сообщения
Для публикации сообщений создайте учётную запись или авторизуйтесь
Вы должны быть пользователем, чтобы оставить комментарий
Создать аккаунт
Зарегистрируйте новый аккаунт в нашем сообществе. Это очень просто!
Регистрация нового пользователяВойти
Уже есть аккаунт? Войти в систему.
Войти