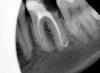
Мисс Опубликовано 27 ноября, 2012 Поделиться Опубликовано 27 ноября, 2012 (изменено) Подскажите как запломбированы каналы и нужно ли их перепломбировать.И как лучше восстановить этот зуб. Изменено 27 ноября, 2012 пользователем Мисс Ссылка на комментарий
shishok Опубликовано 27 ноября, 2012 Поделиться Опубликовано 27 ноября, 2012 При хорошем раскладе передние перелечивать обязательно(задние(й)-ревизия и, возможно, перепломбировка).Восстанавливать-вкладка+коронка.А с восьмёркой у Вас что?Снимка нет? Ссылка на комментарий
ger_berra Опубликовано 27 ноября, 2012 Поделиться Опубликовано 27 ноября, 2012 Все каналы надо перелечивать.Изолированная ревизия-это баловство. 1 Ссылка на комментарий
IvanK Опубликовано 27 ноября, 2012 Поделиться Опубликовано 27 ноября, 2012 .Изолированная ревизия-это баловство. Хорошо сказано!! Катя, с твоего позволения буду использовать Ссылка на комментарий
ger_berra Опубликовано 27 ноября, 2012 Поделиться Опубликовано 27 ноября, 2012 Хорошо сказано!! Катя, с твоего позволения буду использовать Да пожалуйста!Главное на благо пациенту Ссылка на комментарий
Рекомендуемые сообщения
Для публикации сообщений создайте учётную запись или авторизуйтесь
Вы должны быть пользователем, чтобы оставить комментарий
Создать аккаунт
Зарегистрируйте новый аккаунт в нашем сообществе. Это очень просто!
Регистрация нового пользователяВойти
Уже есть аккаунт? Войти в систему.
Войти