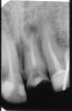
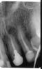
Hercule Опубликовано 25 ноября, 2012 Поделиться Опубликовано 25 ноября, 2012 (изменено) Здравствуйте!Год назад сломался передний зуб и на снимке обнаружили кисту.26 Апреля 2012 года была проведена резекция корня.3 Июля сделана 3Д томограмма Planmeca_Romexis_Viewerвот тут её можно скачать.http://files.mail.ru/697LNM Подскажите, пожалуйста, всё ли там хорошо в районе 1-го справа.Ничего не болит, только едва заметно периодически отекает И что можно сказать по поводу правой гайморовой пазухи. Вопросы всвязи с тем, что не могут ли эти места быть источником хронической инфекции.У меня хронический гастрит, хронический панкреатит и подозрение на хронический миокардит. Спасибо! Изменено 25 ноября, 2012 пользователем Hercule Ссылка на комментарий
IvanK Опубликовано 25 ноября, 2012 Поделиться Опубликовано 25 ноября, 2012 Здравствуйте, сделайте скриншот. КТ, как правило, никто не качает.. Ссылка на комментарий
Hercule Опубликовано 25 ноября, 2012 Автор Поделиться Опубликовано 25 ноября, 2012 28 ноября :Апрель перед резекцией:Май после резекции:Июль после резекции: Скриншоты от 3Д Ссылка на комментарий
Рекомендуемые сообщения
Для публикации сообщений создайте учётную запись или авторизуйтесь
Вы должны быть пользователем, чтобы оставить комментарий
Создать аккаунт
Зарегистрируйте новый аккаунт в нашем сообществе. Это очень просто!
Регистрация нового пользователяВойти
Уже есть аккаунт? Войти в систему.
Войти