sem2005 Опубликовано 9 ноября, 2012 Поделиться Опубликовано 9 ноября, 2012 (изменено) У жены заходятся зубы на горячее/холодное, но она не может точно определить, какой именно зуб (то ли 26, то ли 25, то ли 36, а, может, 27). Но при сильном надавливании (при жевании грубой пищи) на 26 (со стороны 27) возникают болевые ощущения. Можно ли по этому снимку локализовать источник и причину боли? P.S.: визуально никаких изменений на зубах нет http://www.kolobok.us/smiles/icq/unknown.gif Изменено 9 ноября, 2012 пользователем sem2005 Ссылка на комментарий
Afffinity Опубликовано 9 ноября, 2012 Поделиться Опубликовано 9 ноября, 2012 Я склоняюсь к 27 Ссылка на комментарий
sem2005 Опубликовано 9 ноября, 2012 Автор Поделиться Опубликовано 9 ноября, 2012 Я склоняюсь к 27А что именно с ним не так? Ссылка на комментарий
DokDent Опубликовано 9 ноября, 2012 Поделиться Опубликовано 9 ноября, 2012 Сделайте прицельный снимок зуба 2.6. Ссылка на комментарий
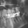
sem2005 Опубликовано 16 декабря, 2012 Автор Поделиться Опубликовано 16 декабря, 2012 Ну вот, наконец-то получилось сделать прицельный снимок 26. По этому снимку можно что-то сказать? Ссылка на комментарий
sem2005 Опубликовано 18 декабря, 2012 Автор Поделиться Опубликовано 18 декабря, 2012 Что, по этому снимку ничего нельзя сказать? Ссылка на комментарий
Scrabble Опубликовано 18 декабря, 2012 Поделиться Опубликовано 18 декабря, 2012 Я за семёрку-там кариес на контакте и пломба огромная. Для уверенности можно холодовую пробу сделать в кресле. Ссылка на комментарий
sem2005 Опубликовано 21 декабря, 2012 Автор Поделиться Опубликовано 21 декабря, 2012 Там пломбы такие большие на 6ке и 7ке, потому что еще год назад искали кариес на контакте, но так и не нашли - было только потемнение эмали на контакте http://www.kolobok.us/smiles/icq/pardon.gif Ссылка на комментарий
sem2005 Опубликовано 28 декабря, 2012 Автор Поделиться Опубликовано 28 декабря, 2012 Неужели так и не получается понять, почему болит? Ссылка на комментарий
Scrabble Опубликовано 28 декабря, 2012 Поделиться Опубликовано 28 декабря, 2012 Ещё раз повторю: у Вашей жены пульпит. По снимкам мы можем только предположить, в каком квадранте, потому что периапикальных изменений при пульпите нет. Чтобы выяснить, какой зуб точно, необходимо клиническое исследование(то есть в кресле стоматолога) Потом делать эндо. Тогда всё пройдёт. Надо к врачу идти, а не страдать от боли около монитора... Ссылка на комментарий
Рекомендуемые сообщения
Для публикации сообщений создайте учётную запись или авторизуйтесь
Вы должны быть пользователем, чтобы оставить комментарий
Создать аккаунт
Зарегистрируйте новый аккаунт в нашем сообществе. Это очень просто!
Регистрация нового пользователяВойти
Уже есть аккаунт? Войти в систему.
Войти