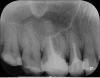
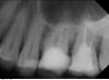
ОльгаВМ Опубликовано 5 ноября, 2012 Поделиться Опубликовано 5 ноября, 2012 Уважаемые доктора,интересует ваше независимое мнение о состоянии пломбировки корней.Я бы хотела поставить коронки на 15, 16 и 26, 27 (верхняя челюсть). Нужно ли перелечивать каналы ? Есть ли там воспаление? Ссылка на комментарий
DokDent Опубликовано 5 ноября, 2012 Поделиться Опубликовано 5 ноября, 2012 Надо перелечивать каналы в этих зубах,менять пломбы в 1.8;1.4 и лечить 1.7 Ссылка на комментарий
Рекомендуемые сообщения
Для публикации сообщений создайте учётную запись или авторизуйтесь
Вы должны быть пользователем, чтобы оставить комментарий
Создать аккаунт
Зарегистрируйте новый аккаунт в нашем сообществе. Это очень просто!
Регистрация нового пользователяВойти
Уже есть аккаунт? Войти в систему.
Войти