Bier Опубликовано 11 октября, 2012 Поделиться Опубликовано 11 октября, 2012 Автор же сказал, что пациент не пойдет к другому врачу. Вот все и категоричны. А так я за попытку перелечивания. Ссылка на комментарий
Большой Зеленый Опубликовано 12 октября, 2012 Поделиться Опубликовано 12 октября, 2012 Автор же сказал, что пациент не пойдет к другому врачу. Вот все и категоричны. А так я за попытку перелечивания.Предимплантационную подготовку должен пройти в полном объеме ? Ссылка на комментарий
Bier Опубликовано 12 октября, 2012 Поделиться Опубликовано 12 октября, 2012 Предимплантационную подготовку должен пройти в полном объеме ? для настоящего хирурга даже пигментация на фиссурах - показание к имплантации ))) 4 Ссылка на комментарий
Каплан Опубликовано 12 октября, 2012 Поделиться Опубликовано 12 октября, 2012 для настоящего хирурга даже пигментация на фиссурах - показание к имплантации )))помнится, когда на 3м курсе у нас был опрос на хирургии, в один момент наша группа иссякла на показаниях к удалению, а препод хотел услышать еще... вссе хором выдали "флюороз". ) Предимплантационную подготовку должен пройти в полном объеме ? ну кстати, качественная ортоградная ревизия в любом случае уменьшит очаг, скажем за годик. а через годик извлечь аккуратно, и дальше имплантация... эдакая "биологическая" аугментация... Ссылка на комментарий
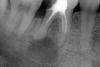
Dr.Sapronov Опубликовано 21 октября, 2012 Поделиться Опубликовано 21 октября, 2012 Пациентка 28 лет, направлена терапевтом для уточнения плана лечения 36 зуба( перелечивать каналы он не будет). Жалобы на боли при накусывании, вертикальная перкуссия болезненна, по переходной складке все спокойно, на снимке киста 36 зуба. Ваше мнение делать резекцию или удалять? От многих коллег слышал что резекция верхушек боковой группы зубов неблагодарное занятие и прогноз не благоприятный( через некоторое время рецидивы). 90% что удалять. По снимку видно разряжение кости в области бифуркации, гранулема очень больших размеров и вероятность в том, что каналы будут перелечены нет, так как там еще что то похожее на инструмент. Еще раз повторюсь - я бы удалил 1 Ссылка на комментарий
Orient Опубликовано 21 октября, 2012 Поделиться Опубликовано 21 октября, 2012 в обл бифуркации разряжения нету,если пац согласиться на каналыи удасться их пройти, то зуб жилец! Ссылка на комментарий
ger_berra Опубликовано 22 октября, 2012 Поделиться Опубликовано 22 октября, 2012 в обл бифуркации разряжения нету,если пац согласиться на каналыи удасться их пройти, то зуб жилец!"Разряжение" в фуркации ещё не повод для удаления. Ссылка на комментарий
Orient Опубликовано 22 октября, 2012 Поделиться Опубликовано 22 октября, 2012 а кто сказал, что єто повод для удаления?? Ссылка на комментарий
ger_berra Опубликовано 23 октября, 2012 Поделиться Опубликовано 23 октября, 2012 а кто сказал, что єто повод для удаления??Это очень распространённое мнение. Ссылка на комментарий
StomDoc Опубликовано 24 октября, 2012 Поделиться Опубликовано 24 октября, 2012 "Разряжение" в фуркации ещё не повод для удаления.как часто получается справиться с разряжением бифуркации??? Ссылка на комментарий
ger_berra Опубликовано 24 октября, 2012 Поделиться Опубликовано 24 октября, 2012 как часто получается справиться с разряжением бифуркации???Сначала нужно определить причину,а потом махать саблей.Если это пропущенная анатомия,неадекватная обработка,наличие(или предположение) латерали,то правильная эндодонтия и есть лечение.Если гнилая перфорация,то естественно,удаление. 3 Ссылка на комментарий
Orient Опубликовано 24 октября, 2012 Поделиться Опубликовано 24 октября, 2012 Сначала нужно определить причину,а потом махать саблей. согласен с вами) Ссылка на комментарий
Рекомендуемые сообщения
Для публикации сообщений создайте учётную запись или авторизуйтесь
Вы должны быть пользователем, чтобы оставить комментарий
Создать аккаунт
Зарегистрируйте новый аккаунт в нашем сообществе. Это очень просто!
Регистрация нового пользователяВойти
Уже есть аккаунт? Войти в систему.
Войти