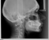
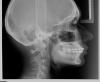
Snezhinka Опубликовано 28 июля, 2012 Поделиться Опубликовано 28 июля, 2012 Всем доброго утра Полтора года назад я сняла брекеты, которые носила ровно два года. Скажу прямо -- результата практически не было в том направлении, в котором я надеялась, что будет. С прикусом у меня все в порядке, проблема только в эстетически неприемлимом для меня виде зубов, а точнее - в их наклоне. Пока у меня зубов мудрости нет. Год назад я ходила на консультации к ортодонтам, мне предлагали небольшую обточку (которую мне уже делали)+еще полтора года на брекетах минимум и даже в этом случае наклон сократится не сильно и также мне предлагали удалить 4ки снизу и сверху, при условии, что после такой процедуры, профиль мой значительно ухудшится и мне крайне не советуют это делать. Конечно, эти два варианта исключаются. Но неужели нет альтернативы, как можно было бы исправить такой недостаток? Коронки ставить не хотелось бы, так как свои зубы дороже, но может есть обходной путь? Ссылка на комментарий
Bier Опубликовано 28 июля, 2012 Поделиться Опубликовано 28 июля, 2012 а фотографии то есть? Фас и профиль. Ссылка на комментарий
Snezhinka Опубликовано 28 июля, 2012 Автор Поделиться Опубликовано 28 июля, 2012 Да, конечно. Предыдущие не добавились, извините.3/4, фас, профиль. Ссылка на комментарий
Рекомендуемые сообщения
Для публикации сообщений создайте учётную запись или авторизуйтесь
Вы должны быть пользователем, чтобы оставить комментарий
Создать аккаунт
Зарегистрируйте новый аккаунт в нашем сообществе. Это очень просто!
Регистрация нового пользователяВойти
Уже есть аккаунт? Войти в систему.
Войти