Sahan Опубликовано 29 июля, 2012 Поделиться Опубликовано 29 июля, 2012 Не могли бы в двух словах рассказать, как изготавливаете рентгеноконтрастный шаблон. Я как то пробывал на внутреннюю поверхность каппы, отжатой по вакс апу, клеить гутту. Но пока пац дошел до рентгена она вся поотваливалась.В каппу -базу Спидекс, по оси зуба в спидекс вставляется проволока, а по шейкам создается канавка и в нее заливается жидкий фото. Ссылка на комментарий
DShu Опубликовано 30 июля, 2012 Автор Поделиться Опубликовано 30 июля, 2012 Спасибо. Интересный вариант. Ссылка на комментарий
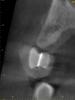
ПалСаныч Опубликовано 30 июля, 2012 Поделиться Опубликовано 30 июля, 2012 Sahan, а можно фото шаблона изготовленного таким способом? Ссылка на комментарий
Crossovok Опубликовано 30 июля, 2012 Поделиться Опубликовано 30 июля, 2012 В каппу -базу Спидекс, по оси зуба в спидекс вставляется проволока, а по шейкам создается канавка и в нее заливается жидкий фото. А есть фото? Трудно представить... Ссылка на комментарий
kmatv Опубликовано 13 августа, 2012 Поделиться Опубликовано 13 августа, 2012 Как вариант объемной пластики. Реберный трансплантант идеален. Из него использовались только кортикальные пластинки и костный мозг, вместо крови+ Biossи аутокость. Единственное, что взять его можно только стационарно. Но наша стоматология имеет хирургический стационар, с полноценным наркозом. Расщепленный трансплантант установлен с 2х сторон с небной и вестибулярной поверхности. Толщина ргебня 2 мм от апекса до основания, кажущаяся на фото толщина в области вершины обманчива. Таким способом реально заместить одномоментно от 16-26 + 2 синуслифта одномоментно.Имхо так лучше, чем пилить косые линии с 2 сторон и выгрести всю кость с нижней челюсти. Исключительно для объемных трансплантаций. Ссылка на комментарий
kriokov Опубликовано 16 октября, 2012 Поделиться Опубликовано 16 октября, 2012 Sahan, а можно фото шаблона изготовленного таким способом?способ простой. которым пользуемся1.модель с моделировкой,2.потом через восковую моделировку вставляется проволока,3.сверху силикон базисный, проволока приливается паттерн резином4. каппа из базиса снимается с модели, из модели убираем восковые зубы, внутрь шаблона заливаем пластмассу - Structur, она рентгеноконтрастна5. Все это помещаем на модель до отвердивания пластмассы6. Спиливаем рога и паттерн-резин7. шаблон доводим , чтоб в рот посадить8. кросс-секции с шаблоном 3 Ссылка на комментарий
Sahan Опубликовано 16 октября, 2012 Поделиться Опубликовано 16 октября, 2012 Sahan, а можно фото шаблона изготовленного таким способом?Извиняюсь пропустил вопрос ))http://i1172.photobucket.com/albums/r579/Shnsahan/Shablon/th_91e59945a34485f34a03e2780b8c044c_zps0b5b11a8.jpghttp://i1172.photobucket.com/albums/r579/Shnsahan/Shablon/th_f5cdc88cd0b9dfb17c642a15bad86e27_zps83389430.jpghttp://i1172.photobucket.com/albums/r579/Shnsahan/Shablon/th_7e355e70fee5e91a4f3909d7c48ceebc_zps6b121029.jpg Ссылка на комментарий
ПалСаныч Опубликовано 16 октября, 2012 Поделиться Опубликовано 16 октября, 2012 О, спасибо за ответы)) Ссылка на комментарий
IvanK Опубликовано 16 октября, 2012 Поделиться Опубликовано 16 октября, 2012 Спасибо коллеги! Ссылка на комментарий
Mane Опубликовано 16 октября, 2012 Поделиться Опубликовано 16 октября, 2012 кажется что было бы не лишним делать лоскут шире, убрать это терапевтическое извращение в виде ретрактора, возможно использовать не только аутографт только. Достаточна реальна опасность прорезывания медиально и очень мало материала между рецепиентной зоной и блоком. Ну мне так показалось по крайней мере.а мне терапевтическое извращение нравится. и удобно и обзорно. фото протокол с ним четче получается. по кейсу - лоскут шире - уже сказали.блоки потоньше.мне кажется что у вас здесь ну очень гиперкоррекция толщины - отсюда возможно прорезывание. мне кажется что лоскуты при ушивании немного даже местами ввернуты или в стык. я предпочитаю выворачивать горизонтальным п - образным швом - увеличивается площадь склейки лоскутов + лоскуты частично пытаются ввернуться на фоне отека или гематомы после операции. спасибо за кейс. Ссылка на комментарий
DShu Опубликовано 17 октября, 2012 Автор Поделиться Опубликовано 17 октября, 2012 Seva, кейсу около 3х мес. Все зажило. С другой стороны были просто блоки в накладку. Я уделяю оч много внимания ушиванию, шью исключительно полипропиленом, почти всегда непрерывно, прэтому расхождений не бывает никогда. лоскуты не ввернуты. П-образные я тоже всегда накладываю при пластиках, просто их тут не видно. Как здесь, например http://forum.stom.ru/topic/19177-удаление-имплантация-нкр/С расстоянием перебрал, согласен. Это был эксперимент) и я допускаю что результат будет не айс. Посмотрим.Я раскрыл уже несколько блоков по Кури, результат меня впечатляет. Я практически перестал обычные блоки делать. Ссылка на комментарий
koreandr Опубликовано 29 февраля, 2016 Поделиться Опубликовано 29 февраля, 2016 Было продолжеие? Ссылка на комментарий
Рекомендуемые сообщения
Для публикации сообщений создайте учётную запись или авторизуйтесь
Вы должны быть пользователем, чтобы оставить комментарий
Создать аккаунт
Зарегистрируйте новый аккаунт в нашем сообществе. Это очень просто!
Регистрация нового пользователяВойти
Уже есть аккаунт? Войти в систему.
Войти