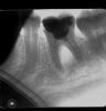
lyublyu85 Опубликовано 27 мая, 2012 Поделиться Опубликовано 27 мая, 2012 Здравствуйте!Очень хочется вылечить нижний 6-й зуб. Он мертвый, был залечен в августе 2011 г. Зимой образовалась дырка рядом с десной, около соседнего меньшего зуба (5-го наверно). 20 мая 2012 г. на внутренней стороне десны образовалась шишка (свищевой ход). Хирург отправил на рентген, посмотрел и сказал, что у меня самый наихудший случай - киста между корнями зуба, сказал полоскать содой и направил меня к парадонтологу. Она, в свою очередь, сказала, что ничего страшного тут нет, ходи пока не болит, а когда щека раздуется, приходи на удаление. Я от нее вышла в шоке.Дома, конечно, прополоскала, шишка очень уменьшилась, языком не чувствуется. Зуб, десна не болит, только "тукала" после осмотра хирургом. Еще в добавок я разболелась (насморк, кашель, боль в горле), что снизило мой иммунитет, поэтому сейчас, наверно, не стоит браться за зуб? только после выздоровления или я заблуждаюсь?Снимок есть только в отсканированном виде, поэтому цвета там, как на негативе: пломба черного цвета, киста белого. На снимке все наоборот, но думаю, Вы разберетесь что к чему. Кстати, вчера посмотрела на зуб сбоку, он темнее, чем соседние зубы (сероватого цвета). Надеюсь на вашу помощь в качестве профессиональной консультации по вопросам:1. Можно ли спасти зуб?2. Если да, то каким образом можно убрать кисту из-под зуба. Ссылка на комментарий
shishok Опубликовано 28 мая, 2012 Поделиться Опубликовано 28 мая, 2012 Зуб спасти врядли получится т.к. дело не в каналах(которые чаще всего возможно перелечить),в данной ситуации скорее всего имеется разрушение "дна"зуба. Ссылка на комментарий
ger_berra Опубликовано 28 мая, 2012 Поделиться Опубликовано 28 мая, 2012 (изменено) Надо снимать пломбу и смотреть,что осталось от зуба.Даже если на дне перфорация(дырка),то можно попоробовать спасти.Если трещина ,то нет.Снимок малоинформативный. Изменено 28 мая, 2012 пользователем ger_berra Ссылка на комментарий
Рекомендуемые сообщения
Для публикации сообщений создайте учётную запись или авторизуйтесь
Вы должны быть пользователем, чтобы оставить комментарий
Создать аккаунт
Зарегистрируйте новый аккаунт в нашем сообществе. Это очень просто!
Регистрация нового пользователяВойти
Уже есть аккаунт? Войти в систему.
Войти