Елена *** Опубликовано 12 апреля, 2012 Поделиться Опубликовано 12 апреля, 2012 Здравствуйте!У меня обнаружили в десне непрорезавшийся зуб. Он находится под больным зубом. Хирург на консультации сказал, что непрорезавшийся зуб надо удалять, но перед этим раскрыть больной зуб.Во вторник мне его раскрыли, сказали полоскать содой. Но сегодня около больного зуба немного опухла десна. При нажатии чувствуется боль.но зуб не болит. Из-за работы я смогу удалить непрорезавшийся зуб только в конце месяца и потом мне залечат больной зуб.Что делать это время с десной? Можно ли все оставить так...Вроде ничего не болит. только опухло немного.... Ссылка на комментарий
shishok Опубликовано 12 апреля, 2012 Поделиться Опубликовано 12 апреля, 2012 Зуб открытым оставлять НЕЛЬЗЯ!И снимок бы хотелось посмотреть. Ссылка на комментарий
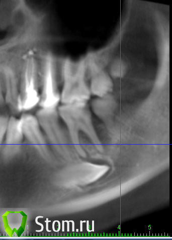
Елена *** Опубликовано 13 апреля, 2012 Автор Поделиться Опубликовано 13 апреля, 2012 Этот снимок сделать еще до того как раскрыли зуб.Сегодня звонила хирургу - он сказал , что зуб раскрыли, чтобы выходил гной. Сказал прикладывать к шишке мазь левомиколь. А на сколько ее надо прикладывать? Ссылка на комментарий
samsonov Опубликовано 13 апреля, 2012 Поделиться Опубликовано 13 апреля, 2012 Анатомия корневых каналов Вашего зуба не может обеспечить полноценного оттока гнойного эксудата через открытый зуб.Поэтому,при наличии гноя эффективен разрез с дренированием,медикаментозной терапией... Ссылка на комментарий
Елена *** Опубликовано 14 апреля, 2012 Автор Поделиться Опубликовано 14 апреля, 2012 Спасибо.Дело в том, что в клинике, в которой я лечу зубы, мне отказались что-либо делать с этим зубом и направили в частную клинику областного центра, где собственно мне и раскрыли больной зуб. Хирург говорил о разрезании шишки, только если она еще будет расти и не вскроется.Я вчера целый цень полоскала рот содой и мазь прикладывала и сегодня шишки уже почти не видно.А нельзя будет удалить гной при удалении непрорезавшегося зуба?Я хочу записаться на удаление на следующую пятницу, чтобы в выходные дни все хоть не много зажило , так как не могу сейчас оставить работу. Но меня беспокоит, что я две недели буду ходить с раскрытым зубом, вдруг я туда какую-нибудь инфекцию занесу. (Тьфу-тьфу-тьфу!)Такое возможно? И можно ли оставлять зуб раскрытым на такое долгое время?Стоматолог мне сказала ничего страшного... Ссылка на комментарий
samsonov Опубликовано 14 апреля, 2012 Поделиться Опубликовано 14 апреля, 2012 Зуб надо "закрывать" . Ссылка на комментарий
Елена *** Опубликовано 14 апреля, 2012 Автор Поделиться Опубликовано 14 апреля, 2012 (изменено) Все так плохо?Мне негде "закрывать" зуб. Частная клиника в городе отказывается что-либо делать, говорят что не имеют юридических прав... Это надо ехать в центр, а там не советуют его закрывать...А чем опасно держать его открытым? Изменено 14 апреля, 2012 пользователем Елена *** Ссылка на комментарий
samsonov Опубликовано 14 апреля, 2012 Поделиться Опубликовано 14 апреля, 2012 Плохо,но не смертельно,даже для зуба.Опасность- добавления микробов из полости рта.Не понимаю,о каком конкретном юридическом праве говорят в частной клинике?Можете для логики попросить выписку из карты,реакция докторов будет косвенно свидетельствовать о методике. Ссылка на комментарий
Елена *** Опубликовано 10 июня, 2012 Автор Поделиться Опубликовано 10 июня, 2012 Здравствуйте. я снова с той же проблемой. Ретинированный зуб я удалила и кисту, которая была. . После этого около месяца ходила с раскрытым зубом. Сначала ждала когда все заживет, потом у меня начала резаться восьмерка на верхней челюсти, так что я даже рта раскрыть не могла. Когда , наконец, добралась до своей клиники , чтобы мне залечили зуб, мне снова отказали, сказав лечить , где открывала и удаляла ретинированный зуб, т.е есть в краевом центре. А там цены поднебесные и ехать надо далеко . В результате я пошла в государственную клинику. Не нашего района, а соседнего. Сказали, что там получше. Зуб мне вчера залечили. Сразу поставили постоянную пломбу. Уже к вечеру у меня опять опухла десна у залеченного зуба. Сам зуб не болит.Скажите , пожалуйста. это нормально? И правильно ли было сразу ставить постоянную пломбу, учитывая , что я долгое время ходила с раскрытым зубом?Снимок залеченного зуба показать не могу - он остался в поликлиннике соседнего района.Помогите , пожалуйста. замучилась уже с этим зубом, сил нет. Ссылка на комментарий
Magdalena Опубликовано 10 июня, 2012 Поделиться Опубликовано 10 июня, 2012 (изменено) Добрый вечер. Лечение такого зуба предполагает в 1-ое посещение медикаментозную и инструментальную обработку каналов и временное пломбирование лечебной пастой на основе гидроокиси кальция на 2-3 недели для стерилизации каналов, а во 2-ое посещение - повторную медикаментозную обработку и уже постоянное пломбирование. Еще, конечно, нужно посмотреть по снимку как там запломбировали. Изменено 10 июня, 2012 пользователем Magdalena Ссылка на комментарий
Елена *** Опубликовано 10 июня, 2012 Автор Поделиться Опубликовано 10 июня, 2012 (изменено) Спасибо за ответ. Что-то подобное я и предполагала.А чем грозит постановка пломбы в первое посещение? Десна припухла поэтому?мне кажется там гной внутри, но я не уверена...Понимаю , что трудно что-либо сказать без снимка, но что можно сделать в этой ситуации?Попробую по возможности сделать снимок у нас в рентген-кабинете, но не уверена что без направления получится... Изменено 10 июня, 2012 пользователем Елена *** Ссылка на комментарий
Magdalena Опубликовано 14 июня, 2012 Поделиться Опубликовано 14 июня, 2012 Спасибо за ответ. Что-то подобное я и предполагала.А чем грозит постановка пломбы в первое посещение? Десна припухла поэтому?Грозит тем, что вряд ли за одно посещение получится хорошо прочистить и промыть каналы, в которых уже была инфекция, да плюс из ротовой полости столько всего натекло, пока зуб был открыт. Ссылка на комментарий
Рекомендуемые сообщения
Для публикации сообщений создайте учётную запись или авторизуйтесь
Вы должны быть пользователем, чтобы оставить комментарий
Создать аккаунт
Зарегистрируйте новый аккаунт в нашем сообществе. Это очень просто!
Регистрация нового пользователяВойти
Уже есть аккаунт? Войти в систему.
Войти