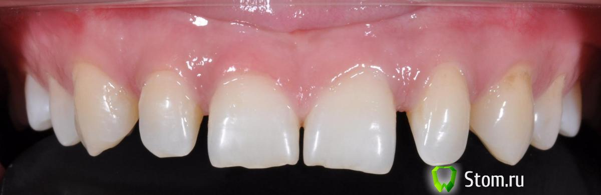
ROMATO Опубликовано 12 апреля, 2012 Поделиться Опубликовано 12 апреля, 2012 Здравствуйте, хочу показать свои первые нановиниры, ультраниры, ламиниры и т.д. 1 Ссылка на комментарий
Ст@ся Опубликовано 12 апреля, 2012 Поделиться Опубликовано 12 апреля, 2012 ПокАжите придесневую часть на макросьемке? Ссылка на комментарий
Bier Опубликовано 12 апреля, 2012 Поделиться Опубликовано 12 апреля, 2012 доктор, так вы самое интересное не показали ) Ссылка на комментарий
ROMATO Опубликовано 12 апреля, 2012 Автор Поделиться Опубликовано 12 апреля, 2012 Только на этапе примерки, извините. Почему то не отфотал после фиксации сразу. Девушка должна вот вот родить. Обещала появится после родов, выложу отдаленные ре-таты в хорошем качестве. 1 Ссылка на комментарий
Паращук Роман Опубликовано 12 апреля, 2012 Поделиться Опубликовано 12 апреля, 2012 Возможность ортодонтии обсуждался? На что производили фиксацию. С ув. Есть фото препа с шаблоном,интиресна толщина? Ссылка на комментарий
ROMATO Опубликовано 12 апреля, 2012 Автор Поделиться Опубликовано 12 апреля, 2012 Вопрос ортодонтии стоял принципиально, но девушка выходила срочно замуж, и нужна была красота для свадебных фото )) Препарирования не было. Фиксация на обычный филтек. Ссылка на комментарий
ROMATO Опубликовано 12 апреля, 2012 Автор Поделиться Опубликовано 12 апреля, 2012 фишка этих виниров в том что не нужно обрабатывать зубы. Они просто фиксируются на свою эмаль. Ссылка на комментарий
Shaid Опубликовано 12 апреля, 2012 Поделиться Опубликовано 12 апреля, 2012 Чувствую, сейчас Вас начнут критиковать... Ссылка на комментарий
Bobby Опубликовано 12 апреля, 2012 Поделиться Опубликовано 12 апреля, 2012 Здравствуйте, хочу показать свои первые нановиниры, ультраниры, ламиниры и т.д. Доктор, спасибо за презентацию. Я так понимаю это временные реставрации?Без иронии скажу - к свадьбе улыбку Вы хорошо облагородили. А Вы стык с зубом заполировывали или остались нависающие края? Ссылка на комментарий
Doc Опубликовано 12 апреля, 2012 Поделиться Опубликовано 12 апреля, 2012 Ну, это не совсем виниры, тем более не люминиры, ну а что такое ультраниры для меня и вовсе осталось загадкой. Подобные варианты работ я видел в приемлемом исполнении пока что только у одного техника и врача, но они находятся не в Питере. Отдаленных результатов таких работа я пока не видел, но есть надежда, что если трещина на 11-м не поползет дальше, то они простоят достаточно долго, чтобы девушка родила ребенка после свадьбы, выкормила его и явилась за нормальными винирами.А так, к свадьбе, конечно более чем достаточно! Ссылка на комментарий
Doc Опубликовано 12 апреля, 2012 Поделиться Опубликовано 12 апреля, 2012 А Вы стык с зубом заполировывали или остались нависающие края? такие работы в идеале полируются в два-три посещения. После каждого посещения снимается слепок Импрегумом (он дает сверхточное отражение стыка), потом техник отливает точную модель, пудрит ее золотой пудрой (кстати немцы нашу пудру за пудру не считают, у них для этого своя и только одна какая-то годится), сразу становятся видны все стыки и нависания, после чего доктор полирует эти места второй, а иногда и третий раз, если после второго опять недостаточно идеальное прилегание. Ссылка на комментарий
Паращук Роман Опубликовано 12 апреля, 2012 Поделиться Опубликовано 12 апреля, 2012 Ну тогда это точно не люминиры (значение нановиниров и ультраниров не знаю). Временно-постоянная керамическая накладка хорошо выполненая (не считая нависающих краев маргинально)! В декретном отпуске будет масса времени на ортодонтию.)) Ссылка на комментарий
ROMATO Опубликовано 12 апреля, 2012 Автор Поделиться Опубликовано 12 апреля, 2012 (изменено) Всем спасибо за участие. Скажу сразу, у меня стоят такие же виниры, второй год. Только позитивные эмоции. У девушки проблема с прикусом, поэтому изначально требуется ортодонтия,и канечно плюс первый триместр беременности, плюс свадьба, толкнула нас на выбор такого лечения. Боялся что это все поколется в течении недели. Но они пережили свадьбу,)) надеюсь переживут рождения малыша, и человек придет с отличным результатом. Такие виниры очень сложно фиксировать, они слишком тонкие, сломать можно в секунду, а сопоставить кусочки о о о чень сложно, Полировка заняла около 3-х часов. Если такую работу делать как постоянный вид работы, нужно иметь большой опыт и мануальные навыки. . Изменено 12 апреля, 2012 пользователем ROMATO Ссылка на комментарий
Doc Опубликовано 12 апреля, 2012 Поделиться Опубликовано 12 апреля, 2012 Всем спасибо за участие. Скажу сразу, у меня стоят такие же виниры, второй год. Только позитивные эмоции. У девушки проблема с прикусом, поэтому изначально требуется ортодонтия,и канечно плюс первый триместр беременности, плюс свадьба, толкнула нас на выбор такого лечения. Боялся что это все поколется в течении недели. Но они пережили свадьбу,)) надеюсь переживут рождения малыша, и человек придет с отличным результатом. Такие виниры очень сложно фиксировать, они слишком тонкие, сломать можно в секунду, а сопоставить кусочки о о о чень сложно, Полировка заняла около 3-х часов. Если такую работу делать как постоянный вид работы, нужно иметь большой опыт и мануальные навыки. . Чего ради они поколятся-то?! Если в прикусе не наврано, если в бондинге не напутано, то сидеть будет насмерть. Полировка тут не по времени считается, а по результату. Поэтому вопрос не в том, чтобы полировать три часа или пять часов, а в том, что глазами во рту Вы никогда не увидите тех краев, которые увидит техник на модели после пудры. А так да, нужен огромный опыт как у техника, так и у врача. Ссылка на комментарий
ROMATO Опубликовано 12 апреля, 2012 Автор Поделиться Опубликовано 12 апреля, 2012 Конечно Doc вы правы. Я боялся оклюзионных сколов, хотя вроде все и проверил, Так как такие виниры очень тонкие и с неровными краями то полировка занимает много времени, ну и отсутствие опыта сказывается. Ссылка на комментарий
Bobby Опубликовано 14 апреля, 2012 Поделиться Опубликовано 14 апреля, 2012 ROMATO, вы несколько раз написали, что боитесь сколов таких виниров. Вы должны знать, что такие виниры во много раз прочнее всех вместе взятых металлокерамических и циркониевых коронок. Ссылка на комментарий
Bobby Опубликовано 14 апреля, 2012 Поделиться Опубликовано 14 апреля, 2012 такие работы в идеале полируются в два-три посещения. После каждого посещения снимается слепок Импрегумом (он дает сверхточное отражение стыка), потом техник отливает точную модель, пудрит ее золотой пудрой (кстати немцы нашу пудру за пудру не считают, у них для этого своя и только одна какая-то годится), сразу становятся видны все стыки и нависания, после чего доктор полирует эти места второй, а иногда и третий раз, если после второго опять недостаточно идеальное прилегание. Эмиль, как Вы относитесь к постулату, что керамику нельзя выполировывать в ноль? Например, на золоте и композите это допустимо. Ссылка на комментарий
Doc Опубликовано 14 апреля, 2012 Поделиться Опубликовано 14 апреля, 2012 Эмиль, как Вы относитесь к постулату, что керамику нельзя выполировывать в ноль? Например, на золоте и композите это допустимо. Ну, немецкие техники (впрочем и многие другие) часто вообще не глазуруют керамику, а полируют ее вручную. Так как я с ними частенько работаю, то и отношусь нормально. Правда иногда пациенты начинают капризничать, хотят зеркального блеска. Что касается данного конкретного случая, то тут важно не допустить уступов и нависающих краев в месте стыка частичного винира с зубом, только для этого работают с порошком. Поверхность может быть какая угодно не глазурованная, но место перехода должно быть заполировано в ноль. Ссылка на комментарий
Bobby Опубликовано 14 апреля, 2012 Поделиться Опубликовано 14 апреля, 2012 Ну, немецкие техники (впрочем и многие другие) часто вообще не глазуруют керамику, а полируют ее вручную. Так как я с ними частенько работаю, то и отношусь нормально. Правда иногда пациенты начинают капризничать, хотят зеркального блеска. Что касается данного конкретного случая, то тут важно не допустить уступов и нависающих краев в месте стыка частичного винира с зубом, только для этого работают с порошком. Поверхность может быть какая угодно не глазурованная, но место перехода должно быть заполировано в ноль. Эмиль, про полировку в плане блеска и так всё понятно. Также понятно, что не должно быть нависающих краёв. Я имел ввиду то, что край керамической реставрации не должен переходить в ноль. Это приведёт к нарушению состоятельности шва в отдалённый период. Ссылка на комментарий
Doc Опубликовано 14 апреля, 2012 Поделиться Опубликовано 14 апреля, 2012 Эмиль, про полировку в плане блеска и так всё понятно. Также понятно, что не должно быть нависающих краёв. Я имел ввиду то, что край керамической реставрации не должен переходить в ноль. Это приведёт к нарушению состоятельности шва в отдалённый период. Толщина края такого винира обычно не более 0.2, тоньше уже просто некуда, поэтому не думаю, что разница такая уж катастрофичская, если после полировки он станет 0.1 и меньше (плюс хороший техник использует естественные складки эмали для ограничения перехода частичного винира в зуб. Так что выступающих частей быть не должно). По крайней мере четких исследований на эту тему с отдаленными результатами более пяти-десяти лет я не видел. Зато видел рекомендации по полировке у немцев, итальянцев и Манье (он один стоит Швейцарии с Голливудом). Если у Вас есть какая-нибудь интересная информация на эту тему, то дайте ссылочку, пожалуйста, с удовольствием ознакомлюсь. Каждый год кто-то что-то новое пишет, за всеми не успеваешь. Остается только фильтровать кто что реально исследовал, а кто тупо написал как он считает правильным и все. Ссылка на комментарий
ROMATO Опубликовано 16 апреля, 2012 Автор Поделиться Опубликовано 16 апреля, 2012 Лично мне виниры такие делал Willi Geller, как мастер класс. Так вот, доктор который их фиксировал снял излишки скальпелем и полировка часа полтора. И усе сказал: "гуд смаил" и до сих пор проблем нет. Bobby да конечно, они очень прочные, и исследования на прочность этих виниров это подтверждает. Ссылка на комментарий
Doc Опубликовано 16 апреля, 2012 Поделиться Опубликовано 16 апреля, 2012 Лично мне виниры такие делал Willi Geller, как мастер класс. Так вот, доктор который их фиксировал снял излишки скальпелем и полировка часа полтора. И усе сказал: "гуд смаил" и до сих пор проблем нет. Какой негодяй! Всего полтора часа полировал и все! Дык а какие с ними могут быть проблемы? Если грамотно сделано, то лет десять минимум стоять будут, потом десна уползет. Если не очень сильно уползет, то еще лет десять простоят. Я вот пока, тьфу-тьфу-тьфу, не дожил до переделки виниров ни у одного своего пациента. Парочка отклеилась у одной девушки через несколько месяцев, что-то наврал в бондинге наверное (либо в жару клеил, бонд сдох), приклеил обратно и все. Итого за всю практику переклеил две штуки заново и все.Видимо пока мало делал. Буду стараться больше. А может и не буду стараться. Как пойдет. Ссылка на комментарий
Bobby Опубликовано 17 апреля, 2012 Поделиться Опубликовано 17 апреля, 2012 Лично мне виниры такие делал Willi Geller, как мастер класс. Так вот, доктор который их фиксировал снял излишки скальпелем и полировка часа полтора. И усе сказал: "гуд смаил" и до сих пор проблем нет. Bobby да конечно, они очень прочные, и исследования на прочность этих виниров это подтверждает. В сетябре в Питере будет интересное мероприятие, будет выступать ученик Вилли Геллера. Скоро анонс появится ) Ссылка на комментарий
ROMATO Опубликовано 17 апреля, 2012 Автор Поделиться Опубликовано 17 апреля, 2012 (изменено) Какой негодяй! Всего полтора часа полировал и все! Дык а какие с ними могут быть проблемы? Если грамотно сделано, то лет десять минимум стоять будут, потом десна уползет. Если не очень сильно уползет, то еще лет десять простоят. Я вот пока, тьфу-тьфу-тьфу, не дожил до переделки виниров ни у одного своего пациента. Парочка отклеилась у одной девушки через несколько месяцев, что-то наврал в бондинге наверное (либо в жару клеил, бонд сдох), приклеил обратно и все. Итого за всю практику переклеил две штуки заново и все.Видимо пока мало делал. Буду стараться больше. А может и не буду стараться. Как пойдет.Не пойму Вашу иронию Doc? Причем тут негодяй?! Я имел в виду что он не пользуется методом полировки рекомендованный Вами. И почему должна десна уползать? Изменено 17 апреля, 2012 пользователем ROMATO Ссылка на комментарий
ROMATO Опубликовано 17 апреля, 2012 Автор Поделиться Опубликовано 17 апреля, 2012 В сетябре в Питере будет интересное мероприятие, будет выступать ученик Вилли Геллера. Скоро анонс появится )С удовольствием схожу. Ссылка на комментарий
Рекомендуемые сообщения
Для публикации сообщений создайте учётную запись или авторизуйтесь
Вы должны быть пользователем, чтобы оставить комментарий
Создать аккаунт
Зарегистрируйте новый аккаунт в нашем сообществе. Это очень просто!
Регистрация нового пользователяВойти
Уже есть аккаунт? Войти в систему.
Войти