Kostyets Опубликовано 8 апреля, 2012 Поделиться Опубликовано 8 апреля, 2012 Уважаемые доктора, дайте, пожалуйста, ваш прогноз по лечению.Спасибо. Ссылка на комментарий
Salma Опубликовано 8 апреля, 2012 Поделиться Опубликовано 8 апреля, 2012 Все зубы под коронками,а также зубы 35,36,37и 45 нуждаются в перелечивании и новом протезированииС каждым зубом надо разбираться по отдельности,какие то прогнозы давать невозможно Ссылка на комментарий
Kostyets Опубликовано 8 апреля, 2012 Автор Поделиться Опубликовано 8 апреля, 2012 Спасибо, Salma. Врач рекомендует два крайних справа на нижней челюсти удалить и имплант. Чего не хочется. Там нет других вариантов? Ссылка на комментарий
Afffinity Опубликовано 8 апреля, 2012 Поделиться Опубликовано 8 апреля, 2012 Спасибо, Salma. Врач рекомендует два крайних справа на нижней челюсти удалить и имплант. Чего не хочется. Там нет других вариантов?Для начала пробовать перелечить. А потом уже думать о других вариантах Ссылка на комментарий
dok1 Опубликовано 8 апреля, 2012 Поделиться Опубликовано 8 апреля, 2012 Все зубы с вмешательством в каналы имеют разной степени недоработки."два крайних справа на нижней челюсти удалить" - попробуйте бором на прочность ткани зуба - если плотные и над десной, то сохраняйте и протезируйте. Ссылка на комментарий
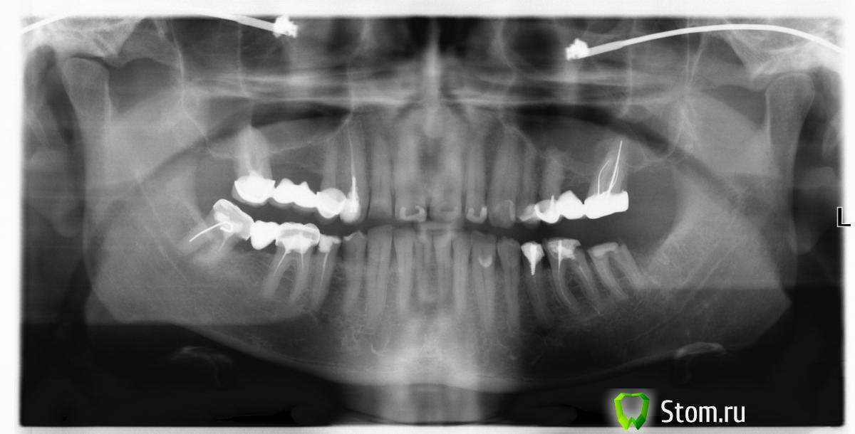
Kostyets Опубликовано 8 апреля, 2012 Автор Поделиться Опубликовано 8 апреля, 2012 Спасибо всем ответившим. Вот снимок крайней 7-ки. Картинка, конечно, не очень... Ссылка на комментарий
samsonov Опубликовано 11 апреля, 2012 Поделиться Опубликовано 11 апреля, 2012 Все зубы с вмешательством в каналы имеют разной степени недоработки."два крайних справа на нижней челюсти удалить" - попробуйте бором на прочность ткани зуба - если плотные и над десной, то сохраняйте и протезируйте.Вы кому советуете,пациенту,пробовать бором? Ссылка на комментарий
Kostyets Опубликовано 11 апреля, 2012 Автор Поделиться Опубликовано 11 апреля, 2012 да, тут я бессилен. Но по теме, есть шансы или нет? Ссылка на комментарий
samsonov Опубликовано 11 апреля, 2012 Поделиться Опубликовано 11 апреля, 2012 нижний седьмой слева я бы удалил. Ссылка на комментарий
Kostyets Опубликовано 11 апреля, 2012 Автор Поделиться Опубликовано 11 апреля, 2012 спасибо, будем удалять. Ссылка на комментарий
dok1 Опубликовано 11 апреля, 2012 Поделиться Опубликовано 11 апреля, 2012 Вы кому советуете,пациенту,пробовать бором? Конечно же в кресле у врача, коллега. Ссылка на комментарий
samsonov Опубликовано 11 апреля, 2012 Поделиться Опубликовано 11 апреля, 2012 Конечно же в кресле у врача, коллега.То есть,таки пациенту в кресле у врача? Ссылка на комментарий
Рекомендуемые сообщения
Для публикации сообщений создайте учётную запись или авторизуйтесь
Вы должны быть пользователем, чтобы оставить комментарий
Создать аккаунт
Зарегистрируйте новый аккаунт в нашем сообществе. Это очень просто!
Регистрация нового пользователяВойти
Уже есть аккаунт? Войти в систему.
Войти