BonuSS Опубликовано 8 апреля, 2012 Поделиться Опубликовано 8 апреля, 2012 В среду на этой неделе мне удалили шестёрку, слегка болело в тот же день и на следующий уже не беспокоило, образовался сгусток, полностью закрывший лунку, к концу второго дня ранка покрылась фибрином. Делал ванночки со стоматофитом по нескольку раз в день, после еды. Сегодня заметил, что сгусток частично вымыт/расчеплён, как это может повлиять на заживление и следует ли принимать меры? Ссылка на комментарий
pawa Опубликовано 8 апреля, 2012 Поделиться Опубликовано 8 апреля, 2012 Всё у вас хорошо. Ссылка на комментарий
Bier Опубликовано 8 апреля, 2012 Поделиться Опубликовано 8 апреля, 2012 лучше ничего не делать! Ссылка на комментарий
BonuSS Опубликовано 8 апреля, 2012 Автор Поделиться Опубликовано 8 апреля, 2012 Такое чувство, в течении дня всё только усугубилось, или я всётаки зря паникую?)http://s019.radikal.ru/i602/1204/41/39c14a8a51ea.jpg Ссылка на комментарий
Bier Опубликовано 8 апреля, 2012 Поделиться Опубликовано 8 апреля, 2012 у вас не болит? Ссылка на комментарий
BonuSS Опубликовано 8 апреля, 2012 Автор Поделиться Опубликовано 8 апреля, 2012 (изменено) Нет, не болит, иногда так словно дёргает нмного. Стоит ли завтра показаться врачу в городской стоматологии? Изменено 8 апреля, 2012 пользователем BonuSS Ссылка на комментарий
Dr. Surkin Опубликовано 8 апреля, 2012 Поделиться Опубликовано 8 апреля, 2012 Нет, не болит, иногда так словно дёргает нмного. Стоит ли завтра показаться врачу в городской стоматологии? Все заживет.Обеспечьте максимальный покой области удаления.При большом желании - делайте ванночки (набрать в рот и подержать) хлоргексидином.Если не болит, то к врачу идти, только если поблагодарить за хорошее удаление. Ссылка на комментарий
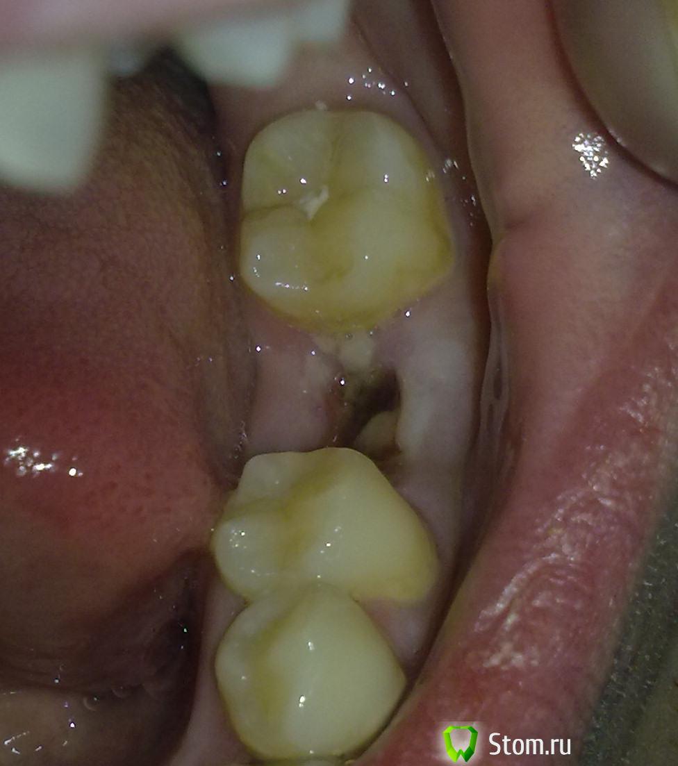
BonuSS Опубликовано 9 апреля, 2012 Автор Поделиться Опубликовано 9 апреля, 2012 (изменено) Спасибо всем! Вот только не понимаю как можно покой обеспечить и при том поддержать гигиену в области удаления? Пища то попадает и ванночками не удаляется.http://s019.radikal.ru/i601/1204/b0/30b490edc341.jpg Изменено 9 апреля, 2012 пользователем BonuSS Ссылка на комментарий
Bier Опубликовано 9 апреля, 2012 Поделиться Опубликовано 9 апреля, 2012 оставьте в покое свою лунку. Ссылка на комментарий
Рекомендуемые сообщения
Для публикации сообщений создайте учётную запись или авторизуйтесь
Вы должны быть пользователем, чтобы оставить комментарий
Создать аккаунт
Зарегистрируйте новый аккаунт в нашем сообществе. Это очень просто!
Регистрация нового пользователяВойти
Уже есть аккаунт? Войти в систему.
Войти