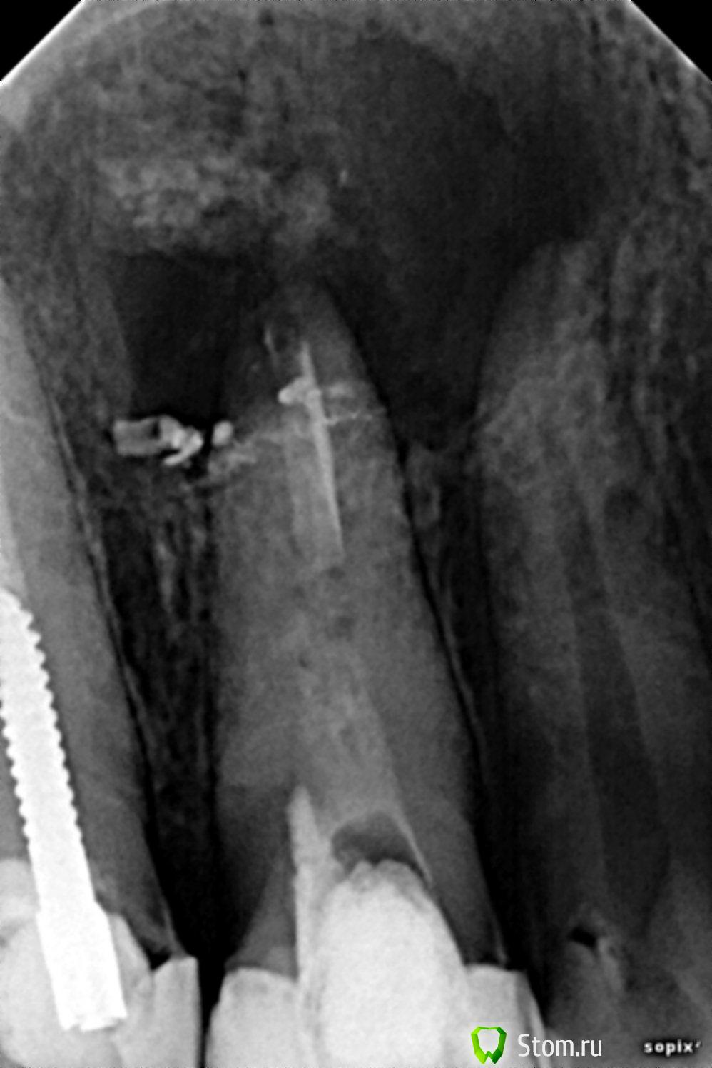
aleksisAG Опубликовано 7 апреля, 2012 Поделиться Опубликовано 7 апреля, 2012 Пациент 30 лет,женщина,6 месяцев 21 под "каласептом",свищь Ссылка на комментарий
samsonov Опубликовано 7 апреля, 2012 Поделиться Опубликовано 7 апреля, 2012 Чем помочь? Ссылка на комментарий
viruzzz Опубликовано 7 апреля, 2012 Поделиться Опубликовано 7 апреля, 2012 а почему в разжеле "хирургическая стоматология"?есть микрофлора, устойчивая к калосепту. Канал до конца пройден? что за остатки пломбировочного материала (ифицированного уже долгое время) в апикальной части? Ссылка на комментарий
red_butler Опубликовано 9 апреля, 2012 Поделиться Опубликовано 9 апреля, 2012 Проведите ЭОД на 2.2 - по снимкам он в дефекте. Далее КТ. Затем скорее всего постоянное эндо 2.2 2.1 и цистэктомия. Ссылка на комментарий
aleksisAG Опубликовано 15 апреля, 2012 Автор Поделиться Опубликовано 15 апреля, 2012 пациентка обратилась после эндо-,6 мес.на каласепте,если провести депофорез с последующей пломбировкой,сделать КТ,цистэктомию.Есть ли смысл 2.1 2.2 сохранять,кто работал с изиграфт,работает ли он вообще Ссылка на комментарий
Bier Опубликовано 15 апреля, 2012 Поделиться Опубликовано 15 апреля, 2012 какой еще депофорез? вы еще предложите пепел от кожи летучей мыши, сожженной на 7ые лунные сутки... С изиграфтом я работал, бестолковый препарат. Ссылка на комментарий
Sashkatzar Опубликовано 16 апреля, 2012 Поделиться Опубликовано 16 апреля, 2012 22 на витальность,постоянное эндо и РВК Ссылка на комментарий
aleksisAG Опубликовано 16 апреля, 2012 Автор Поделиться Опубликовано 16 апреля, 2012 какой еще депофорез? вы еще предложите пепел от кожи летучей мыши, сожженной на 7ые лунные сутки... С изиграфтом я работал, бестолковый препарат.а каким костным материалом Вы работаете Ссылка на комментарий
Bier Опубликовано 24 апреля, 2012 Поделиться Опубликовано 24 апреля, 2012 био-осс + био-гайд. Еще иногда пользуюсь материалами фирмы остео-биол. Ссылка на комментарий
Рекомендуемые сообщения
Для публикации сообщений создайте учётную запись или авторизуйтесь
Вы должны быть пользователем, чтобы оставить комментарий
Создать аккаунт
Зарегистрируйте новый аккаунт в нашем сообществе. Это очень просто!
Регистрация нового пользователяВойти
Уже есть аккаунт? Войти в систему.
Войти