Елена Анатольевна Опубликовано 6 апреля, 2012 Поделиться Опубликовано 6 апреля, 2012 (изменено) 1. 48 и 18 удалены. нужно лечить 47 и 17 (кариес со стороны 8 ок). возможно ли сверление не сверху? зубы не болят. если в 47 придется удалять нерв что лучше коронка или стекловолокнонный штифт (в пломбе)? и если коронка то какая лучше? (коронку вообще не хочется)((((-: 2. на шейках зубов стерлась эмаль (штук 8) целесообразно ли их закрывать каким то матералом без сверления в клинике шадящей стоматологии( 3600 за зуб) или просто фторировать и все? заранее благодарю за консультациюЕлена Анатольевна4.bmp Изменено 6 апреля, 2012 пользователем Елена Анатольевна Ссылка на комментарий
Magdalena Опубликовано 6 апреля, 2012 Поделиться Опубликовано 6 апреля, 2012 Стекловолоконный штифт с пломбой можно, но только под коронку. Смотря по толщине стенок после удаления всего кариеса как альтернативу коронке возможно рассмотреть вариант керамической вкладки, под нее зуб "вкруговую" не обтачивают. По поводу доступа сверху или не сверху...сомневаюсь что можно так руку с наконечником изогнуть... при доступе сверху - обзор лучше, чем он Вас собственно так смущает? По поводу оголения шеек - сначала лучше установить причину, почему опускается десна - посмотреть прикус, уровень гигиены. Ссылка на комментарий
Елена Анатольевна Опубликовано 6 апреля, 2012 Автор Поделиться Опубликовано 6 апреля, 2012 (изменено) Стекловолоконный штифт с пломбой можно, но только под коронку. Смотря по толщине стенок после удаления всего кариеса как альтернативу коронке возможно рассмотреть вариант керамической вкладки, под нее зуб "вкруговую" не обтачивают. По поводу доступа сверху или не сверху...сомневаюсь что можно так руку с наконечником изогнуть... при доступе сверху - обзор лучше, чем он Вас собственно так смущает? По поводу оголения шеек - сначала лучше установить причину, почему опускается десна - посмотреть прикус, уровень гигиены. что это за керамическая вкладка (внутрь зуба - сверху пломба или что то другое?)? а если мне обещают только штифт ((без коронки)- зуб может треснуть) не доверять?смущает тем что удалят почти 1/3 зуба...с прикусом и гигиеной все нормально, может быть я не верно выразилась стирается эмаль Изменено 6 апреля, 2012 пользователем Елена Анатольевна Ссылка на комментарий
Magdalena Опубликовано 7 апреля, 2012 Поделиться Опубликовано 7 апреля, 2012 Керамическая вкладка - это вместо пломбы, т.е. по форме она выглядит почти как пломба, эстетика даже выше. На дно полости ставят подкладку (по ситуации - либо для изоляции близко расположенного нерва - если зуб остается живой, либо для изоляции каналов зуба - если придется удалять нервы). В Вашей ситуации скорее всего придется немного сошлифовать бугры, чтоб их перекрыть вкладкой. Вкладка не дает усадки, не "просаживается" со временем - значит не будет нарушения краевого прилегания в области границы зуб-вкладка (как происходит с пломбой) - значит не будет вторичного кариеса и служит она гораздо дольше. Зуб на штифте с пломбой может расколоться из-за высокой нагрузки, так делать нежелательно. Очень часто одна из стенок скалывается под десну - и зуб удаляется, т.к. восстановить его уже невозможно. Лучше убрать 1\3 зуба, чем не дочистить кариес из-за плохого обзора и в ближайшем будущем вырастить пульпит. Я бы на Вашем месте не заморачивалась над этим точно Уточните про щадящие материалы для закрытия шеек. Мне на ум приходит только Icon, но это совсем другое, это для лечения кариеса в самой начальной стадии. Вас беспокоит чувствительность или внешний вид или что? Ссылка на комментарий
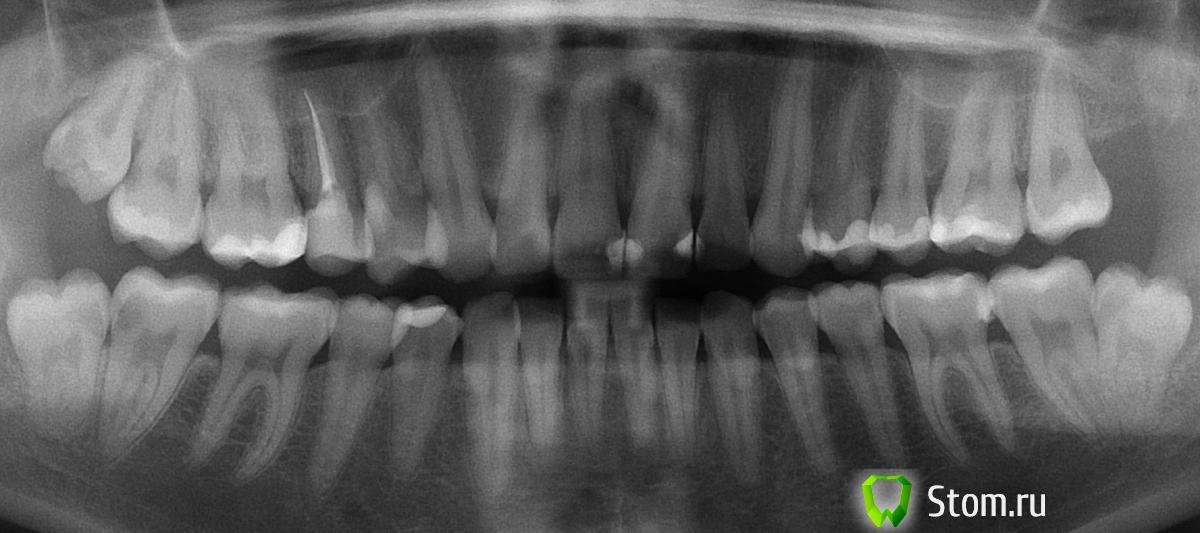
Елена Анатольевна Опубликовано 8 апреля, 2012 Автор Поделиться Опубликовано 8 апреля, 2012 Керамическая вкладка - это вместо пломбы, т.е. по форме она выглядит почти как пломба, эстетика даже выше. На дно полости ставят подкладку (по ситуации - либо для изоляции близко расположенного нерва - если зуб остается живой, либо для изоляции каналов зуба - если придется удалять нервы). В Вашей ситуации скорее всего придется немного сошлифовать бугры, чтоб их перекрыть вкладкой. Вкладка не дает усадки, не "просаживается" со временем - значит не будет нарушения краевого прилегания в области границы зуб-вкладка (как происходит с пломбой) - значит не будет вторичного кариеса и служит она гораздо дольше.Зуб на штифте с пломбой может расколоться из-за высокой нагрузки, так делать нежелательно. Очень часто одна из стенок скалывается под десну - и зуб удаляется, т.к. восстановить его уже невозможно.Лучше убрать 1\3 зуба, чем не дочистить кариес из-за плохого обзора и в ближайшем будущем вырастить пульпит. Я бы на Вашем месте не заморачивалась над этим точно Уточните про щадящие материалы для закрытия шеек. Мне на ум приходит только Icon, но это совсем другое, это для лечения кариеса в самой начальной стадии. Вас беспокоит чувствительность или внешний вид или что? чувствительность беспокоит иногда, а так ничего не беспокоит только лиш то что можно остаться совсем без эмали... один зуб мне лечили 10.12.10 при жевании он побаливает и если твердое что то ешь, ходила сто раз к врачу пломбу переделывали 5 раз результат тот же (закончли переделвать в июне 11), сделали вывод что пломба слишком близко к нерву и нужно либо удалять его либо ходить так.... хожу.... так может быть керамическая вкладка годится и в этом случае? Ссылка на комментарий
samsonov Опубликовано 8 апреля, 2012 Поделиться Опубликовано 8 апреля, 2012 (изменено) Чистааа,для удобства Изменено 8 апреля, 2012 пользователем samsonov Ссылка на комментарий
Magdalena Опубликовано 8 апреля, 2012 Поделиться Опубликовано 8 апреля, 2012 чувствительность беспокоит иногда, а так ничего не беспокоит только лиш то что можно остаться совсем без эмали... один зуб мне лечили 10.12.10 при жевании он побаливает и если твердое что то ешь, ходила сто раз к врачу пломбу переделывали 5 раз результат тот же (закончли переделвать в июне 11), сделали вывод что пломба слишком близко к нерву и нужно либо удалять его либо ходить так.... хожу.... так может быть керамическая вкладка годится и в этом случае?Под оголением шеек можно подразумевать разные заболевания - клиновидный дефект, эрозия эмали, пришеечный кариес. Может приложите фото, чтобы разобраться? В любом случае беспричинно ни одно из перечисленных не появляется. И что там насчет щадящего лечения "без сверления"? По поводу зуба, где больно накусывать - приложите снимок, так, конечно, постпломбировочные боли вкладка сама по себе не снимет, надо искать причину Ссылка на комментарий
Рекомендуемые сообщения
Для публикации сообщений создайте учётную запись или авторизуйтесь
Вы должны быть пользователем, чтобы оставить комментарий
Создать аккаунт
Зарегистрируйте новый аккаунт в нашем сообществе. Это очень просто!
Регистрация нового пользователяВойти
Уже есть аккаунт? Войти в систему.
Войти