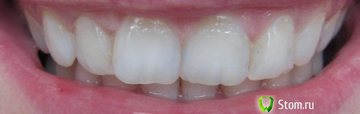
Матильда :) Опубликовано 1 апреля, 2012 Поделиться Опубликовано 1 апреля, 2012 Добрый день Вопрос к стоматологам: хотела бы исправить край фронтальных зубов (только единички). Они понемногу стачиваются, неравномерно, и улыбку это портит. На словах сложно объяснить, поэтому сделала в фотошопе На первом фото то что есть, на втором нужный результат (примерно так). Скажите пожалуйста, как это сделать с минимальным вредом для зубов? К сожалению не нашла врача который бы смог сделать, неужели настолько сложная работа? Ссылка на комментарий
Матильда :) Опубликовано 1 апреля, 2012 Автор Поделиться Опубликовано 1 апреля, 2012 И ещё вопрос: хотела зубы отбелить, врачи не разрешили (говорят слабая эмаль). Что можно сделать чтобы убрать желтизну, может чистку какую-нибудь? Ссылка на комментарий
Dr. Stom Опубликовано 1 апреля, 2012 Поделиться Опубликовано 1 апреля, 2012 Добрый вечер! У Вас даже не стираемость а сколы небольшие (как мне кажеться по этим фото), надо найти причину. Если что то и делать стоящее то виниры керамические от 2 до 2 включительно...хотите отбелить отбеливайте,только найдите адекватного доктора который расскажет что, как и почему. Из Вашей улыбки можно сделать просто конфетку при грамотном подходе Ссылка на комментарий
Матильда :) Опубликовано 1 апреля, 2012 Автор Поделиться Опубликовано 1 апреля, 2012 Спасибо. Я изначально за винирами и пришла, врач отказался ставить, потому что свои здоровые можно испортить и виниры недолговечны. Но и реставрировать эти сколы отказался, потому что тоже вредно )) В итоге оставил меня вообще ни с чем )) Ссылка на комментарий
Dr. Stom Опубликовано 1 апреля, 2012 Поделиться Опубликовано 1 апреля, 2012 поищите другого доктора Ссылка на комментарий
dok1 Опубликовано 1 апреля, 2012 Поделиться Опубликовано 1 апреля, 2012 Проконсультируйтесь на другом уровне.Возможно проблема в суставе, прикусе, траектории движения нижней челюсти.Пока не устранитеистинную причину, реставрация бессмысленна.Любая.Но это только предположение. Ссылка на комментарий
DmitrySH Опубликовано 2 апреля, 2012 Поделиться Опубликовано 2 апреля, 2012 Матильда, Вам попался хороший доктор, не нужно ничего делать Вот полностью поддержу. Матильда, у вас симпатичная улыбка, ничего не нужно делать. Ну разве что от налета чуть почистить зубы. А то что вы нафотошопили, я извиняюсь, не красиво и не естественно. Ссылка на комментарий
Doc Опубликовано 23 апреля, 2012 Поделиться Опубликовано 23 апреля, 2012 1. То, что Вы нафотошопили - гораздо хуже того, что у Вас есть.2. Сколы просто так не бывают. Нужно выяснить причину. Возможно у Вас проблемы с прикусом. Винирами это не лечится, нужно лечить прикус сначала. 3. Виниры это очень долговечная вещь, если сделаны грамотно и в нормальном прикусе. Вывод: сначала разбирайтесь с прикусом, потом по результатам будет приниматься решение. Ссылка на комментарий
Рекомендуемые сообщения
Для публикации сообщений создайте учётную запись или авторизуйтесь
Вы должны быть пользователем, чтобы оставить комментарий
Создать аккаунт
Зарегистрируйте новый аккаунт в нашем сообществе. Это очень просто!
Регистрация нового пользователяВойти
Уже есть аккаунт? Войти в систему.
Войти