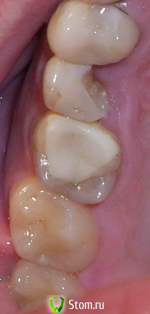
Constantin Опубликовано 30 марта, 2012 Поделиться Опубликовано 30 марта, 2012 Здравствуйте.Нужна консультация по следующему вопросу.Скололась часть пломбы на верхней 5-ке справа.В своё время у этого зуба откололась стенка, скол был под десну.Тогда зуб мне восстановили пломбой и стекловолоконным штифтом.В нынешней ситуации пломбу уже ставить не хотят и отправляют к ортопеду.Был на консультациях в разных клиниках и мнения ортопедов разделились.Первый советует что лучше уже ничего с этм зубом не делать так он дольше прослужит.Второй советует попоробовать поставить пломбу или удалить т.к. коронку ставить не на что,а вкладка в 5-ке плохо держится поэтому он этим заниматься не будет.Третий врач говорит что поскольку в одном канале штифт который вынуть не удасться можно безпроблем поставим вкладку во второй канал и установить коронку. Что посоветуете уважаемые доктора? Спасибо. Ссылка на комментарий
FBR Опубликовано 31 марта, 2012 Поделиться Опубликовано 31 марта, 2012 Удаление штифта. Восстановление культевой вкладкой. Металлокерамическая коронка. И обратите внимание на 16 зуб - его надо перелечивать, т.к. на медиальном корне- гранулема (воспаление). Ссылка на комментарий
Ст@ся Опубликовано 31 марта, 2012 Поделиться Опубликовано 31 марта, 2012 + к предыдущему мнению.Удаление пломбы, штифта, оценка объема оставшихся тканей.При необходимости - хирургическое удлинение с целью выведения поддесневого дефекта в наддесневой. Затем - перелечивание корневых каналов. Восстановление культевой вкладкой и покрытие коронкой.Если после первого этапа прогноз неблагоприятный - удаление зуба с последующей имплантацией. Ссылка на комментарий
FBR Опубликовано 31 марта, 2012 Поделиться Опубликовано 31 марта, 2012 (изменено) Удаление штифта. Восстановление культевой вкладкой. Металлокерамическая коронка. И обратите внимание на 16 зуб - его надо перелечивать, т.к. на медиальном корне- гранулема (воспаление).Пардон - на 46 зуб Изменено 31 марта, 2012 пользователем FBR Ссылка на комментарий
Constantin Опубликовано 31 марта, 2012 Автор Поделиться Опубликовано 31 марта, 2012 Скажите а удаление стекловолоконного штифта это что то из разряда "высшего пилотажа" в стоматологии или вполне рутинная процедура.Один из врачей у которого я был на приёме сказал что дело это не простое и удалить такой штифт он не сможет. Ссылка на комментарий
Constantin Опубликовано 1 апреля, 2012 Автор Поделиться Опубликовано 1 апреля, 2012 И ещё вопросик.В случае предложения врача установить вкладку без удаления штифта следует ли соглашаться на такое лечение. Ссылка на комментарий
dok1 Опубликовано 1 апреля, 2012 Поделиться Опубликовано 1 апреля, 2012 На пальцах: что бы что-то приклеить к зубу(пломбу, вкладку, коронку), нужен хороший доступ, обзор и изоляция от влаги(слюны, крови).Ну и соответствующая плотность(прочность) ткани самого зуба.В вашем случае дефект ниже уровня десны, а это:влага, плхой обзор и неизвесная глубина распространения размягчённых поражённых тканей зуба.Простейшая механика: что бы что-то на чём-то держалось нужно хорошее основание, которое можно "зашкурить", "обезжирить" и "загрунтовать".Делайте выводы.А извлечение стекловолоконного штифта - это такая мелочь... Ссылка на комментарий
Рекомендуемые сообщения
Для публикации сообщений создайте учётную запись или авторизуйтесь
Вы должны быть пользователем, чтобы оставить комментарий
Создать аккаунт
Зарегистрируйте новый аккаунт в нашем сообществе. Это очень просто!
Регистрация нового пользователяВойти
Уже есть аккаунт? Войти в систему.
Войти