maryakma Опубликовано 23 марта, 2012 Поделиться Опубликовано 23 марта, 2012 Уважаемые специалисты, прошу вашей консультации по поводу дальнейшего лечения. При чистке каналов, кусочек инструмента отломился и застрял в канале. Попробовали его «выбить» каким-то специальным сверлом с ультразвуком. Часть удалось извлечь, но в итоге часть канала была разрушена (или раздроблена, что-то в этом роде). Потом несколько раз закладывали в канал лекарство, которое наращивает костную ткань (прорут, если не ошибаюсь). Но на фоне постоянного приема варфарина (снижение свертываемости крови), костная ткань не нарастает. Плюс ко всему одна из стенок зуба отломилась. Сейчас предлагают вариант сделать мост (опто-волоконный ? ), удалив один канал у этого зуба и у соседнего, плюс использовать соседний здоровый зуб, также предварительно рассверлив и запломбировав каналы в нем. Меня естественно все эти операционные вмешательства пугают как класс =( Подскажите пожалуйста как по вашему мнению, есть ли альтернативные варианты восстановления зуба? Понимаю, что по рентгену сложно учесть все факторы. Но может у кого-то были подобные случаи с положительным исходом. Заранее спасибо. Ссылка на комментарий
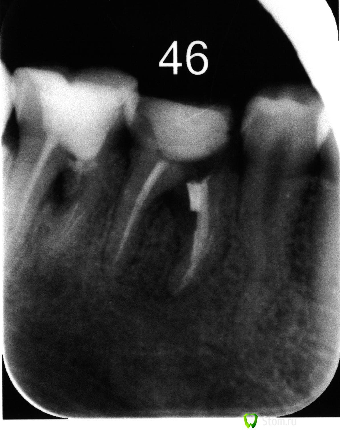
shishok Опубликовано 23 марта, 2012 Поделиться Опубликовано 23 марта, 2012 У Вас и в седьмом похоже то же самое Ссылка на комментарий
Salma Опубликовано 23 марта, 2012 Поделиться Опубликовано 23 марта, 2012 Боюсь,что и 46 и 47 зубы подлежат удалению Ссылка на комментарий
Magdalena Опубликовано 25 марта, 2012 Поделиться Опубликовано 25 марта, 2012 (изменено) Уважаемые специалисты, прошу вашей консультации по поводу дальнейшего лечения. При чистке каналов, кусочек инструмента отломился и застрял в канале. Попробовали его «выбить» каким-то специальным сверлом с ультразвуком. Часть удалось извлечь, но в итоге часть канала была разрушена (или раздроблена, что-то в этом роде). Потом несколько раз закладывали в канал лекарство, которое наращивает костную ткань (прорут, если не ошибаюсь). Но на фоне постоянного приема варфарина (снижение свертываемости крови), костная ткань не нарастает. Плюс ко всему одна из стенок зуба отломилась. Сейчас предлагают вариант сделать мост (опто-волоконный ? ), удалив один канал у этого зуба и у соседнего, плюс использовать соседний здоровый зуб, также предварительно рассверлив и запломбировав каналы в нем. Меня естественно все эти операционные вмешательства пугают как класс =( Подскажите пожалуйста как по вашему мнению, есть ли альтернативные варианты восстановления зуба? Понимаю, что по рентгену сложно учесть все факторы. Но может у кого-то были подобные случаи с положительным исходом. Заранее спасибо. "Удалить один канал у этого зуба и соседнего", это насколько я поняла с Ваших слов, нужно будет отсечь по одному корню у этих зубов. Прогноз у такого мостовидного протеза будет крайне сомнителен, да еще и здоровый зуб депульпировать и покрывать коронкой. Оптимальным решением, на мой взгляд будет удаление 46, 47 и установка на их место имплантатов, заодно и 45 зуб живым оставите. Проконсультируйтесь у имплантолога, информируйте, что принимаете варфарин. Изменено 25 марта, 2012 пользователем Magdalena Ссылка на комментарий
FBR Опубликовано 25 марта, 2012 Поделиться Опубликовано 25 марта, 2012 "Удалить один канал у этого зуба и соседнего", это насколько я поняла с Ваших слов, нужно будет отсечь по одному корню у этих зубов. Прогноз у такого мостовидного протеза будет крайне сомнителен, да еще и здоровый зуб депульпировать и покрывать коронкой. Оптимальным решением, на мой взгляд будет удаление 46, 47 и установка на их место имплантатов, заодно и 45 зуб живым оставите. Проконсультируйтесь у имплантолога, информируйте, что принимаете варфарин.+100 и врача поменяйте Ссылка на комментарий
maryakma Опубликовано 28 марта, 2012 Автор Поделиться Опубликовано 28 марта, 2012 спасибо всем огромное за помощь. видимо, как не прискорбно, придется расставаться с зубами =( подскажите еще, пожалуйста, если сейчас 7-ка не беспокоит, запломбирована, то насколько опасно затягивать с ее удалением? то есть можно ли какое-то время понаблюдать за изменениями и если их не будет, то не торопить с удалением? Или нужно удалять срочно, иначе будут еще более сложные последствия? Понимаю, что не видя самого зуба, сложно что-либо решать. И можно ли, допустим, запломбировать канал в 6-ке и сам зуб и также понаблюдать за изменениями. Или же с ней тоже лучше не рисковать?Понимаю, что это все хватание за соломинку и оттягивание момента, но так не хочется лишаться зубов, еще и нижних=((( Ссылка на комментарий
Magdalena Опубликовано 28 марта, 2012 Поделиться Опубликовано 28 марта, 2012 Во-первых, иметь такие зубы во рту - значит иметь очаги хронической инфекции в организме, что очень не хорошо. Во-вторых, чем раньше эти зубы удалите, тем больше кости останется (при воспалении кость "растворяется" ), а значит лучше будут условия для последующей имплантации. Ссылка на комментарий
shishok Опубликовано 28 марта, 2012 Поделиться Опубликовано 28 марта, 2012 Дело не в пломбировке канала,а в том,что "продырявлена"насквозь стенка канала в обоих зубах.Это вызвало воспаление костной ткани.Улучшения не будет,а костная ткань будет со временем убывать. Ссылка на комментарий
Рекомендуемые сообщения
Для публикации сообщений создайте учётную запись или авторизуйтесь
Вы должны быть пользователем, чтобы оставить комментарий
Создать аккаунт
Зарегистрируйте новый аккаунт в нашем сообществе. Это очень просто!
Регистрация нового пользователяВойти
Уже есть аккаунт? Войти в систему.
Войти