Sib-oboima Опубликовано 19 марта, 2012 Поделиться Опубликовано 19 марта, 2012 Подскажите уважаемые коллеги, у меня возник спор с хирургом, На вопрос- " а не близко ли стоят импланты", мне ответил " нормально". Ваше мнение Ссылка на комментарий
pit Опубликовано 19 марта, 2012 Поделиться Опубликовано 19 марта, 2012 Подскажите уважаемые коллеги, у меня возник спор с хирургом, На вопрос- " а не близко ли стоят импланты", мне ответил " нормально". Ваше мнение По представленным снимкам - близко, но лучше на ОПТГ посмотреть. Скажите, а формирователи десны упиливали? Ссылка на комментарий
Sib-oboima Опубликовано 19 марта, 2012 Автор Поделиться Опубликовано 19 марта, 2012 формирователи упиливали, от дальнейшего протезирования этого пациента отказался, взялся другой, на моделях техник также пилил абатменты Ссылка на комментарий
merson Опубликовано 19 марта, 2012 Поделиться Опубликовано 19 марта, 2012 основываясь на личном опыте ,прошлых лет могу сказать что проблемы будут 100% вот только выраженность резорбции и ее скорость сложно прогнозировать .. Ссылка на комментарий
Bier Опубликовано 19 марта, 2012 Поделиться Опубликовано 19 марта, 2012 на мой взгляд это называется П. в идеале не менее 3х мм, ну на край 2мм Ссылка на комментарий
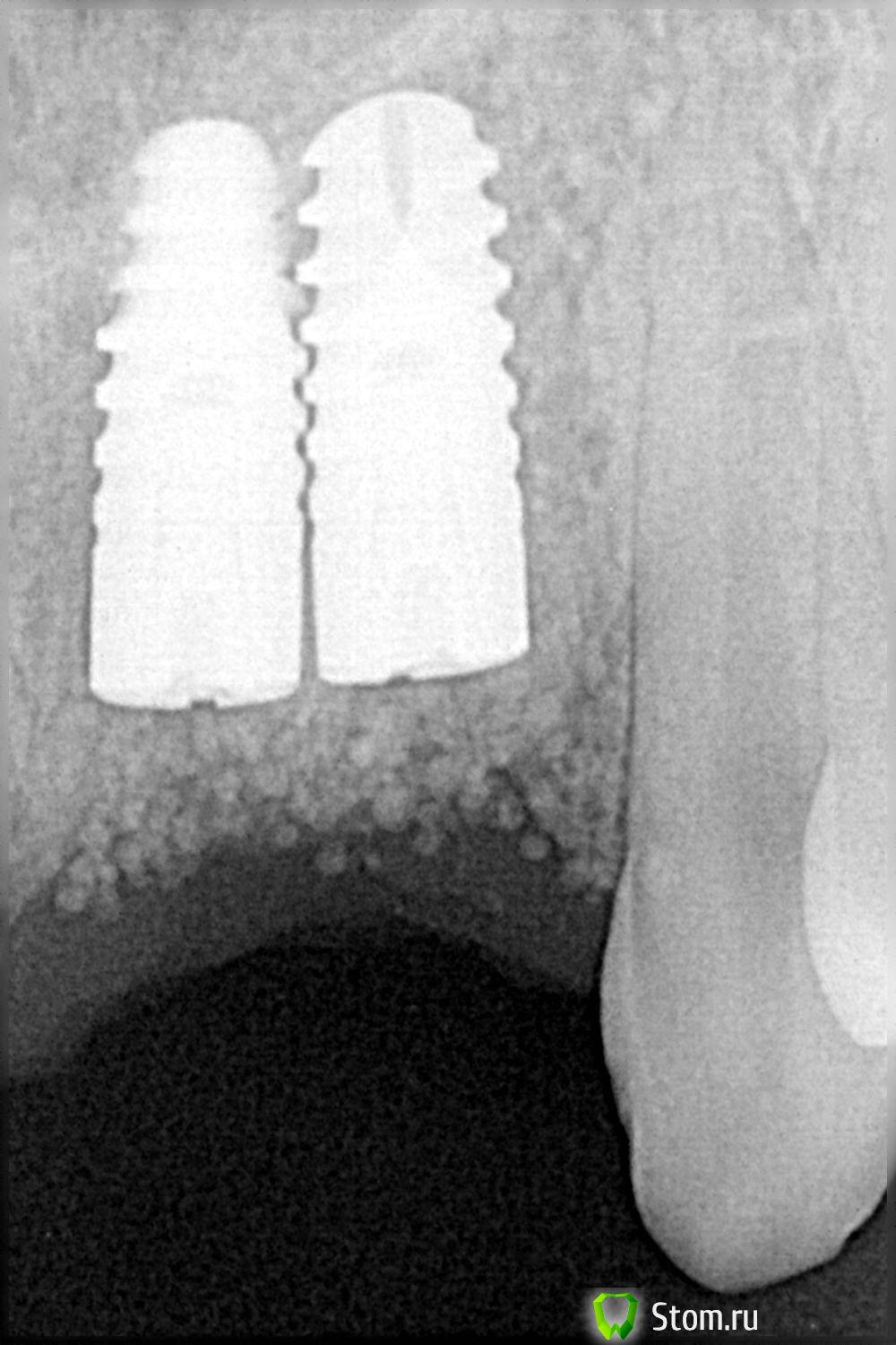
Sib-oboima Опубликовано 19 марта, 2012 Автор Поделиться Опубликовано 19 марта, 2012 (изменено) был как-то разговор насчет минимум 3мм, вот что получил , пациент мой знакомый. на мой вопрос а не близко ли к зубу, ответ -3мм ведь же Изменено 19 марта, 2012 пользователем Sib-oboima Ссылка на комментарий
Sib-oboima Опубликовано 19 марта, 2012 Автор Поделиться Опубликовано 19 марта, 2012 (изменено) каков прогноз, буду рад любому ответу, оставить как есть и делать коронку? или может снимку врут? Изменено 19 марта, 2012 пользователем Sib-oboima Ссылка на комментарий
Doc Опубликовано 19 марта, 2012 Поделиться Опубликовано 19 марта, 2012 Прогноз печальный. оставить и делать коронку - означает переделка в лучшем случае сразу после окончания гарантийного срока. В худшем - еще раньше.Снимки с вероятностью 90 процентов не врут.Формирователи рассчитаны на минимально допустимое расстояние между имплантатами при условии параллельной установки, а их пилили. Параллельность здесь более чем достаточная (даже дивергенция небольшая), значит снимки не врут. Ссылка на комментарий
Sib-oboima Опубликовано 19 марта, 2012 Автор Поделиться Опубликовано 19 марта, 2012 спасибо doc, я в печали Ссылка на комментарий
Doc Опубликовано 19 марта, 2012 Поделиться Опубликовано 19 марта, 2012 Это не совсем Ваша проблема, хотя и Ваша тоже. Если хирург не понимает таких вещей, то нужно либо менять хирурга, либо заставить его работать по шаблонам (что было бы не лишним при любом качестве хирурга). Ссылка на комментарий
merson Опубликовано 19 марта, 2012 Поделиться Опубликовано 19 марта, 2012 делайте временную конструкцию (то есть качественную протетику по стоимости временной с возможностью внесения изменений по мере необходимости ..)пациенту честно объясните ,может поймет- в любом случае какое то время конструкцией он будет пользоваться , у меня есть 5 летнее наблюдение за имплантами с 1 мм расстояния, в этом году сделали новую конструкции с учетом потери в десневой части ,поверхности имплантов не оголились ,считаю что повезло и наблюдаю дальше Ссылка на комментарий
Doc Опубликовано 19 марта, 2012 Поделиться Опубликовано 19 марта, 2012 делайте временную конструкцию (то есть качественную протетику по стоимости временной с возможностью внесения изменений по мере необходимости ..)пациенту честно объясните ,может поймет- в любом случае какое то время конструкцией он будет пользоваться , у меня есть 5 летнее наблюдение за имплантами с 1 мм расстояния, в этом году сделали новую конструкции с учетом потери в десневой части ,поверхности имплантов не оголились ,считаю что повезло и наблюдаю дальше Как вариант это пойдет, конечно, но здесь даже 1 мм нет, здесь резьба аж за резьбу заходит. Трофики никакой, соответственно, не осталось. Что будет с костью в этой ситуации? Так что тезис о плотной работе с хирургом остается в любом варианте... Ссылка на комментарий
Doc Опубликовано 19 марта, 2012 Поделиться Опубликовано 19 марта, 2012 Если оставите имплантаты и будете следить, то для статистики было бы очень интересно потом взглянуть на ситуацию через полгода-год. Выложите, пожалуйста, снимочек, если не забудете. Ссылка на комментарий
Sib-oboima Опубликовано 19 марта, 2012 Автор Поделиться Опубликовано 19 марта, 2012 еще можно здесь же спрошу, формирователи десны должны находиться выше уровня десны, или должны быть утоплены в ней,( занимаюсь протезированием на имплантах со всем не давно) от хирурга приходят пациенты, все формрователи глубоко, на просьбу "замените формирователи на более длиные" ответ " так это же хорошо что в десне". Может я что-то не догоняю, объясните мне Ссылка на комментарий
Sib-oboima Опубликовано 19 марта, 2012 Автор Поделиться Опубликовано 19 марта, 2012 снимок не забуду, буду следить Ссылка на комментарий
Bier Опубликовано 19 марта, 2012 Поделиться Опубликовано 19 марта, 2012 имхо должны быть выше или на уровне. Ссылка на комментарий
Doc Опубликовано 19 марта, 2012 Поделиться Опубликовано 19 марта, 2012 еще можно здесь же спрошу, формирователи десны должны находиться выше уровня десны, или должны быть утоплены в ней,( занимаюсь протезированием на имплантах со всем не давно) от хирурга приходят пациенты, все формрователи глубоко, на просьбу "замените формирователи на более длиные" ответ " так это же хорошо что в десне". Может я что-то не догоняю, объясните мне Видимо хирурги у Вас очень оригинальные! Если под десной, то это называется заглушка!!! Объясните им, что формирователь от слова формировать!!! Он формирует десневую манжетку для последующего протезирования. Формирователь под десной это примерно как имплантат над десной, а именно либо бред, либо некомпетентность. 2 Ссылка на комментарий
Большой Зеленый Опубликовано 19 марта, 2012 Поделиться Опубликовано 19 марта, 2012 , а именно либо бред, либо некомпетентность.Скорее второе.. 1 Ссылка на комментарий
ПалСаныч Опубликовано 19 марта, 2012 Поделиться Опубликовано 19 марта, 2012 Топикстартеру: согласен полностью с предыдущими ораторами. По поводу вопроса о глубине расположения формирователей на 100%, а по расположению имплантатов на 99,9%. Ибо по первости, а точнее когда первый раз ставил 3 имплантата подряд накосячил почти так же)) причем формирователи тоже подпиливал. ортопед на меня конечно посмотрел с укоризной и просил больше так не делать))) но вот прошло больше 5 лет и пациентка нарисовалась опять у меня на приеме. Естественно первым делом я загнал ее на ортопантомограф. И был приятно удивлен, что десна даже между близкостоящими имплантами была чуть ниже уровня шейки, что, как я понимаю является физиологической нормой. Так что, дружище, не отчаивайся, принимать решение конечно тебе, но может стоить запротезировать как говорят коллеги хотя бы на очень качественных времянках? 1 Ссылка на комментарий
Aldo Rain Опубликовано 19 марта, 2012 Поделиться Опубликовано 19 марта, 2012 Видел похожий случай тот же анкилос, имплантаты стоят резьба в резьбу с 2006 года, никаких признаков резорбции, стоят как оловянные солдатики, десна спокойная Ссылка на комментарий
Bier Опубликовано 19 марта, 2012 Поделиться Опубликовано 19 марта, 2012 ну может резьба в резьбу даже лучше, чем с минимальным расстоянием ) типа как 1 винт восьмеркой ))) 1 Ссылка на комментарий
Doc Опубликовано 19 марта, 2012 Поделиться Опубликовано 19 марта, 2012 ну может резьба в резьбу даже лучше, чем с минимальным расстоянием ) типа как 1 винт восьмеркой ))) Хм, а может это новое слово в имплантации? "Двухкорневой дизайн для премоляров". Нобель бы купил, думаю! Ссылка на комментарий
pit Опубликовано 19 марта, 2012 Поделиться Опубликовано 19 марта, 2012 <p>еще можно здесь же спрошу, формирователи десны должны находиться выше уровня десны, или должны быть утоплены в ней,( занимаюсь протезированием на имплантах со всем не давно) от хирурга приходят пациенты, все формрователи глубоко, на просьбу "замените формирователи на более длиные" ответ " так это же хорошо что в десне". Может я что-то не догоняю, объясните мне</p><p>У анкилоса ФДМ должны находиться примерно так:</p><p> </p><div>http://s019.radikal.ru/i624/1203/01/9a36f525861e.jpg</div><div> </div><div>Тогда получается вот так</div><div> </div><div>http://s019.radikal.ru/i603/1203/bd/5c279d7d1acf.jpg</div><div> </div><div>http://i069.radikal.ru/1203/e2/b84036159987.jpg</div><div> </div> 1 Ссылка на комментарий
Sahan Опубликовано 19 марта, 2012 Поделиться Опубликовано 19 марта, 2012 Видел похожий случай тот же анкилос, имплантаты стоят резьба в резьбу с 2006 года, никаких признаков резорбции, стоят как оловянные солдатики, десна спокойнаяОчевидно там ширина кости более чем достаточная и трофика не нарушена плюс переключение платформ снимает напряжение с десны. Вот кость и стабильна. Кстати у Байкона есть по этому поводу наблюдения и нет проблем. Ссылка на комментарий
Doc Опубликовано 19 марта, 2012 Поделиться Опубликовано 19 марта, 2012 Очевидно там ширина кости более чем достаточная и трофика не нарушена плюс переключение платформ снимает напряжение с десны. Вот кость и стабильна. Готов поспорить, что в обсуждаемом случае нет настолько хорошей ширины. Но согласен, что можно рискнуть и походить с времянками полгода-год. Ссылка на комментарий
Рекомендуемые сообщения
Для публикации сообщений создайте учётную запись или авторизуйтесь
Вы должны быть пользователем, чтобы оставить комментарий
Создать аккаунт
Зарегистрируйте новый аккаунт в нашем сообществе. Это очень просто!
Регистрация нового пользователяВойти
Уже есть аккаунт? Войти в систему.
Войти