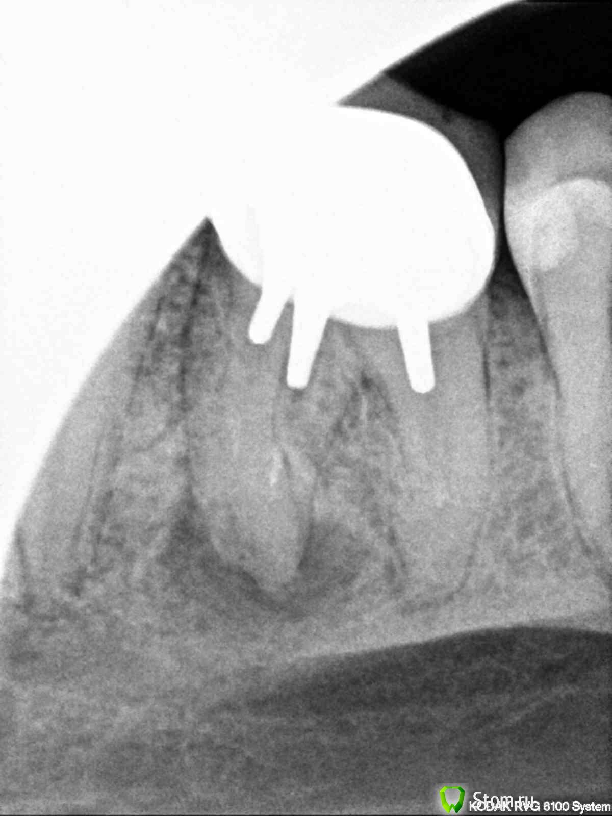
tuwaki Опубликовано 16 марта, 2012 Поделиться Опубликовано 16 марта, 2012 Здравствуйте.У меня на нижней шестерке стоит коронка. Из-за воспаления у корня зуб иногда при переохлаждении побаливает. Так уже продолжается около 5-7 лет.Сейчас доктор рекомендует мне его удалить и поставить имплант. На вопрос об альтернативе импланта было сказано, что можно попробовать сделать надрез, все зачистить и ЕСЛИ все пройдет хорошо - зуб сохранится.Помогите определиться: идти ли на такую операцию или сразу ставить имплант? Может есть еще вариант лечения? Ссылка на комментарий
pawa Опубликовано 16 марта, 2012 Поделиться Опубликовано 16 марта, 2012 нечего там сохранять.удаляйте. Ссылка на комментарий
kriokov Опубликовано 16 марта, 2012 Поделиться Опубликовано 16 марта, 2012 нечего там сохранять.удаляйте.+1 Ссылка на комментарий
Doc Опубликовано 16 марта, 2012 Поделиться Опубликовано 16 марта, 2012 Альтернативный вариант приведет только к еще большей потере кости, которая очень нужна для имплантации. Надежнее будет удалить и поставить имплантат. Ссылка на комментарий
tuwaki Опубликовано 19 марта, 2012 Автор Поделиться Опубликовано 19 марта, 2012 Спасибо! Ссылка на комментарий
Рекомендуемые сообщения
Для публикации сообщений создайте учётную запись или авторизуйтесь
Вы должны быть пользователем, чтобы оставить комментарий
Создать аккаунт
Зарегистрируйте новый аккаунт в нашем сообществе. Это очень просто!
Регистрация нового пользователяВойти
Уже есть аккаунт? Войти в систему.
Войти