kurt Опубликовано 14 марта, 2012 Поделиться Опубликовано 14 марта, 2012 добрый день! 18 дней назад врач заменил старую плобу ("вымылась" прилично) на новую на 6-м зубе снизу и зуб начал болезненно реагировать, когда поводишь ногтем по нему в одном месте и при надкусывании пищи... болевые ощущения стали значительно меньше со временем, но когда поскребешь ногтем по проблемному месту зуба, то боль ощущается хорошо. на горячее, холодное не реагирует и сам по себе не болит! норма ли такое длительное болезненное реагирование или нужет точно снимок или без снимка уже с большей вероятности можно констатировать, что надо перелечивать?ниже на рисунке привел область зуба, где при физическом контакте отдает болью. спасибо! Ссылка на комментарий
Magdalena Опубликовано 14 марта, 2012 Поделиться Опубликовано 14 марта, 2012 Добрый вечер! Желательно снимок. Возможно, когда пришлифовывали пломбу по прикусу (чтоб не мешала), сточили рядом эмаль. Обратитесь к Вашему доктору для осмотра. Ссылка на комментарий
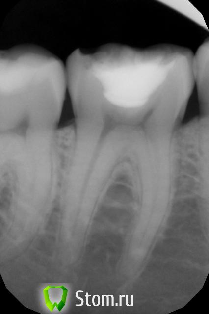
kurt Опубликовано 14 марта, 2012 Автор Поделиться Опубликовано 14 марта, 2012 снимок: Ссылка на комментарий
Magdalena Опубликовано 15 марта, 2012 Поделиться Опубликовано 15 марта, 2012 На мой взгляд, пломба стоит достаточно герметично. Как правило, такая "поверхностная" чувствительность может быть связана с избыточным сошлифованием эмали, как я и писала. Иногда причина может быть в погрешностях протокола постановки пломбы, лучше обратиться к лечащему врачу. Ссылка на комментарий
kurt Опубликовано 15 марта, 2012 Автор Поделиться Опубликовано 15 марта, 2012 спасибо большое, ув. Magdalena! если причной боли избыточное сошлифование эмали, то болезненное реагирование со временем пройдет или какие вообще действия можно предпринять? Ссылка на комментарий
Magdalena Опубликовано 16 марта, 2012 Поделиться Опубликовано 16 марта, 2012 спасибо большое, ув. Magdalena! если причной боли избыточное сошлифование эмали, то болезненное реагирование со временем пройдет или какие вообще действия можно предпринять?Самостоятельно вряд ли пройдет. Сейчас чувствительность не уменьшилась? Есть два варианта - покрытие оголенного участка эмали специальной жидкостью, которая снимает чувствительность (эмаль-герметизирующий ликвид), но может и не помочь. Другой вариант - перекрыть оголенный участок пломбировочным материалом, возможно предварительно придется этот участок чуть-чуть рассверлить, чтобы было куда зацепить пломбу. Ссылка на комментарий
kurt Опубликовано 16 марта, 2012 Автор Поделиться Опубликовано 16 марта, 2012 со временем чувствительность стала значительно меньше. но на сегодня небольшая боль все же присутствует, если "поштать нижней челюстью" - при соприкосновении зуба с верхним и реагирование на еду, но не всегда и бывает, что только в начале жевания болевые ощущения, а потом боли нету. Ссылка на комментарий
Рекомендуемые сообщения
Для публикации сообщений создайте учётную запись или авторизуйтесь
Вы должны быть пользователем, чтобы оставить комментарий
Создать аккаунт
Зарегистрируйте новый аккаунт в нашем сообществе. Это очень просто!
Регистрация нового пользователяВойти
Уже есть аккаунт? Войти в систему.
Войти