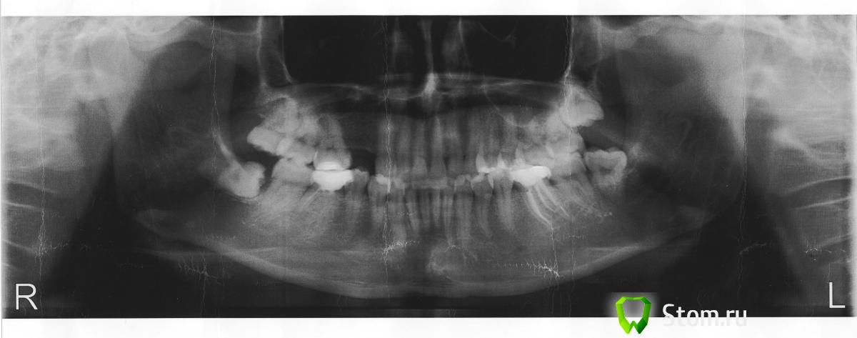
cerrone Опубликовано 13 марта, 2012 Поделиться Опубликовано 13 марта, 2012 Уважаемые, стоматологи!Помогите определиться можно ли установить импланты. У меня отсутствуют 2 верхних зуба, но прошло уже довольно много времени и, как мне объяснили, для установки имплантов костного материала недостаточно, как собственно и места, поскольку зубы уже разошлись и посоветовали обычное протезирование. В другой клинике, врач решил, что проблем по этой части никаких нет и был готов взяться за импланатацию. У третьего специалиста сомнения возникли, предложил синус-лифтинг, но честно признался, что опыт у него небольшой. Город у нас маленький, специалистов немного и то у всех разные мнения и возможности. Как быть, какие показания по снимку? Спасибо заранее. Ссылка на комментарий
Afffinity Опубликовано 13 марта, 2012 Поделиться Опубликовано 13 марта, 2012 Мое мнение вам подойдет мостовидный протез. С ним точно никаких заморочек не будет Ссылка на комментарий
Bier Опубликовано 14 марта, 2012 Поделиться Опубликовано 14 марта, 2012 ну там по коронке места ровно на 1 премоляр. Сиунслифтинг там не нужен. Но есть одна проблема - выдвинулся нижний зуб, с ним тоже нужно что-то делать. Ссылка на комментарий
Doc Опубликовано 16 марта, 2012 Поделиться Опубликовано 16 марта, 2012 Кости там более чем достаточно и грамотнее всего было бы делать имплантацию. Но если город маленький и специалистов нет, то может быть стоит задуматься о выборе между более или менее качественным мостом и не очень предсказуемой имплантацией при отсутствии надежных специалистов. Выбирать Вам по Вашим возможностям. Ссылка на комментарий
Dr. Surkin Опубликовано 17 марта, 2012 Поделиться Опубликовано 17 марта, 2012 ну там по коронке места ровно на 1 премоляр. Сиунслифтинг там не нужен. Но есть одна проблема - выдвинулся нижний зуб, с ним тоже нужно что-то делать. +1Костной ткани по высоте достаточно, так что синус-лифт не нужен, а вот про толщину кости по этому снимку ничего не скажешь. Если делать мост, то даю 95% вероятности, что вам удалят нервы из клыка и первого моляра.Если костной ткани по толщине будет все-таки достаточно для установки имплантата, то в современных условиях депульпировать и точить зубы под мост - варварство, да еще и по цене сопоставимое с имплантацией. Дополнительно - Вам необходимо удалить нижние зубы мудрости. Ссылка на комментарий
cerrone Опубликовано 18 марта, 2012 Автор Поделиться Опубликовано 18 марта, 2012 Спасибо большое всем ответившим. Один врач сказал, что расстояния для одной коронки много, а для двух уже мало и лучше делать мост.А зачем удалять нижние зубы мудрости и что обычно делают с выдвинувшимися нижними зубами, обтачивают? Ссылка на комментарий
Dr. Surkin Опубликовано 18 марта, 2012 Поделиться Опубликовано 18 марта, 2012 Спасибо большое всем ответившим. Один врач сказал, что расстояния для одной коронки много, а для двух уже мало и лучше делать мост.А зачем удалять нижние зубы мудрости и что обычно делают с выдвинувшимися нижними зубами, обтачивают? Нижние 8-ки удалить для оздоровления полости рта. По поводу выдвинувшегося нижнего 5-го справа . Есть два варианта:1) Попробовать ортодонтически внедрить зуб2) Подточить зуб по высоте, что в зависимости от степени стачивания может повлечь за собой: удаление нерва +/- вмешательство на десне для увеличения клинической коронки зуба +/- последующее изготовление искусственной коронки Ссылка на комментарий
Рекомендуемые сообщения
Для публикации сообщений создайте учётную запись или авторизуйтесь
Вы должны быть пользователем, чтобы оставить комментарий
Создать аккаунт
Зарегистрируйте новый аккаунт в нашем сообществе. Это очень просто!
Регистрация нового пользователяВойти
Уже есть аккаунт? Войти в систему.
Войти