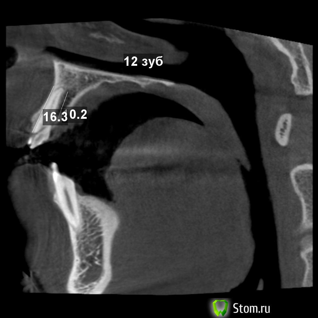
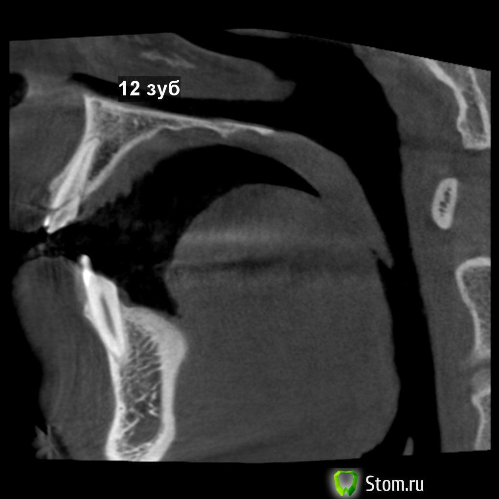
vitaliiPV Опубликовано 11 марта, 2012 Поделиться Опубликовано 11 марта, 2012 Здравствуйте уважаемые доктора. Поделитесь мыслью чтоб Вы сделали .Парню 20 лет , травме несколько дней. Подобных случаев у мене было мало, опыта в таком лечении тоже.Склоняюсь к удалению, хир. удлинение думаю нельзя из за коротких корней.Прислушаюсь ко всем комментариям.Помогите парню вернуть улыбку. Извините за качество фото снимал на телефон. После удаления отломка.12 зуб11 зуб Ссылка на комментарий
Afffinity Опубликовано 11 марта, 2012 Поделиться Опубликовано 11 марта, 2012 Похоже, что оба удалять Ссылка на комментарий
samsonov Опубликовано 11 марта, 2012 Поделиться Опубликовано 11 марта, 2012 Удалять,с временной косметикой... Ссылка на комментарий
Ст@ся Опубликовано 11 марта, 2012 Поделиться Опубликовано 11 марта, 2012 Удалять оба. Ссылка на комментарий
vitaliiPV Опубликовано 11 марта, 2012 Автор Поделиться Опубликовано 11 марта, 2012 Спасибо за ответы , что имеется в виду под временной косметикой ? Какие варианты протезирования ? У меня пока такие :1 Брекеты(скученость низ и тортоаномалия 21 ) , пластика кости (надо или нет, если да то какая и на каком етапе?), шурупы , коронки.2 Мост 13-22 3 Имедиат протезЧто скажет пациент (финансы) пока не знаю.Лично я склоняюсь к первому варианту. Ссылка на комментарий
Рекомендуемые сообщения
Для публикации сообщений создайте учётную запись или авторизуйтесь
Вы должны быть пользователем, чтобы оставить комментарий
Создать аккаунт
Зарегистрируйте новый аккаунт в нашем сообществе. Это очень просто!
Регистрация нового пользователяВойти
Уже есть аккаунт? Войти в систему.
Войти