sus Опубликовано 7 марта, 2012 Поделиться Опубликовано 7 марта, 2012 Здравствуйте!Вопрос по ситуации на снимке. Слышала несколько мнений, сейчас выбираю из двух.1) Ортодонт считает, что нужно удалить семерку, т.к. это проще и безопаснее, а восьмерку вытянуть брекет-системой, и ее удастся поставить как надо.2) Мой хирург считает, что стоит удалять восьмерку. Есть риск перфорирования синуса, но он обещает это починить http://medscape.ru/public/style_emoticons/default/smile.gif По предыдущему пункту считает, что велик шанс, что восьмерку не получится поставить вертикально. Как вы думаете, можно ли извлечь восьмерку безопасно в этой ситуации? Ее корни, случаем, не "встроены" у меня в дно синуса?Можно ли поставить третий моляр на место втрого? Не помешает ли костная ткань между ними?Возраст -- 27, зубы "заклинило" в этом положении уже лет 5 точно (по снимкам). Спасибо заранее. Ссылка на комментарий
Force Опубликовано 8 марта, 2012 Поделиться Опубликовано 8 марта, 2012 Есть великая вероятность что семерка не пойдет. А хирург не прав. И по меньшей мере, неэтично с пациентом обсуждать план доктора, направившего к нему. Если есть сомнения, есть телефон. Зачем вам мозг выносить? Ссылка на комментарий
sus Опубликовано 8 марта, 2012 Автор Поделиться Опубликовано 8 марта, 2012 Force, спасибо большое за ответ!Разумеется, в варианте хирурга мы все равно планируем вытягивать семерку системой, возможно, не сразу, а посмотрев, не пойдет ли сама. В варианте ортодонта также планировалось после удаления семерки подрждать, отходив с инвизалайн, а потом тянуть восьмерку. Я непонятно написала, дело в том, что я сама пошла сначала к чл хирургу за удалением других восьмерок, и он высказал свое мнение, посоветоав обратиться к дженерал дентисту и к ортодонту. Потом была у дантиста, потом у ортодонта. Плюс инфа от нескольких российских дантистов и ортодонта. И до чего же разнятся мнения У ВСЕХ! Речь идет о больших деньгах, счет га тысячи $, понятно, каждый тянет меня в свою сторону. В РФ, например, мне сказали, что мне инвизалайн точно не подойдет, а тут предлагают его ставить после подпиливания. Ссылка на комментарий
Force Опубликовано 9 марта, 2012 Поделиться Опубликовано 9 марта, 2012 Выкладывайте фотки как написано в шапке раздела ПАЦИЕНТАМ. Подумаем, подходит или нет вам инвизилайн и почему Ссылка на комментарий
sus Опубликовано 10 марта, 2012 Автор Поделиться Опубликовано 10 марта, 2012 Спасибо))Правда, пока для меня важнее решить первый вопрос. Конечно, я бы предпочла удаление семерки, но я не хочу заполучить восьмерку, давящую на шестерку под углом, либо расстояние между ними в миллиметр, чтобы там гадость всякая копилась. Вот и спрашиваю, может, есть у кого опыт помещения 8 на место 7. У них же вроде фиксированные рвзграниченные позиции, поэтому их невозможно, допустим, раздвигать, чтобы добавить пространства впереди (так мне говорили).А вот есть же трансплантация зубов, может, оба извлечь, и тут же вставить семерку обратно?))Ортодонт говорит, Инвизилайн мне прям-таки показан из-за прогрессирующей рецессии десен, будь она неладна. Вроде как металлическими усугублю. Кстати, в РФ мне по этому поводу все говорили, что срочно надо править брекетами скученность и углы, а здесь (штаты) все как один утверждают, что это от ночного сжатия челюстей (в котором уличают здесь вообще всех подряд), а про брекеты говорят: "ну, если хотите, чтобы улыбка еще лучше была, ну, ставьте, почему бы и нет, но вообще и так хорошо" . Ссылка на комментарий
sus Опубликовано 13 марта, 2012 Автор Поделиться Опубликовано 13 марта, 2012 (изменено) Была сегодня у хирурга, обсудили подробнее. Оказывается, он в принципе не верит, что восьмерку удастся вытянуть даже брекетами, говорит, не пойдет она. И так как он не может делать то, что считает неправильным, то, если я решу удалять семерку, это придется делать у другого хирурга. Успокоил меня тем, что удаление будет с фронтальной стороны десны, и рот почти не надо будет открывать - я-то боялась, как он так глубоко доберется? Посоветовал сходить еще к нескольким ортодонтам, записалась. Кстати, вы случайно не знаете, статус супер-элит-префферд доктор на сайте Инвизалайн присваевается в связи с количеством заказанных систем? Мой первый ортодонт как раз таков. Спасибо! Изменено 13 марта, 2012 пользователем sus Ссылка на комментарий
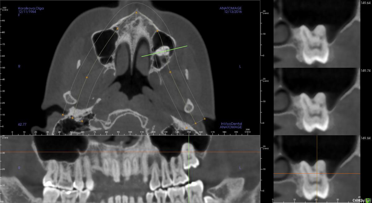
sus Опубликовано 13 декабря, 2016 Автор Поделиться Опубликовано 13 декабря, 2016 (изменено) И снова здравствуйте! И опять срочный вопрос! Итак, пришло время решать насчет семерки. За это время она сама так и не спустилась, так что все предположили ankylosis и отсутствие возможности вытянуть ее, даже сломав "мостики" и потянув брекетами. Только что сделали томограмму, вот такие результаты. Хирург говорит, что для него опция номер один - это полное удаление, но есть шанс перфорации синуса и необходимости повторной операции, если "подлатывание" в процессе удаления не поможет (он хотел что-то положить туда, забыла, коллаген, что ли). Второй вариант -коронэктомия. Мне по прочтении ряда статей казалось, что это как раз самый популярный и безопасный способ решения в такой ситуации. Но хирург уверяет, что оставшиеся корни вполне могут инфицироваться, а через них - и синус, и он бы предпочел делать так только в ситуации невозможности удалить зуб целиком (если он слишком крепко "прирос"). Но можно и сделать так, если я хочу, поскольку это более консервативно. Итак, что мне выбрать? Или при таких рисках вообще не трогать его: сейчас единственная причина удаления - это торчащий над слизистой кусочек коронки, и, соответственно, риск инфицирования через карманы вокруг. По томограмме, наверное, видно, что сам зуб пока вроде здоров (а торчит он так уже лет двадцать). И бонусом академический вопрос, неужели зуб мог так прирасти за четыре года (если тогда хирург, подергав его после "вскрыаания", утверждал, что у зуба нормальная мобильность). Мне казалось, что прорастание должно происходить на более ранних стадиях развития. Хирургия запланирована на пятницу, поэтому очень хотела бы все понять как можно раньше. Спасибо вам большое за внимание! Изменено 13 декабря, 2016 пользователем sus Ссылка на комментарий
red_butler Опубликовано 13 декабря, 2016 Поделиться Опубликовано 13 декабря, 2016 Данный раздел требует больше объективных данных. http://forum.stom.ru/topic/4655-patcientam/ Ссылка на комментарий
sus Опубликовано 13 декабря, 2016 Автор Поделиться Опубликовано 13 декабря, 2016 Извините. Возможно, мне нужно перенести этот вопрос в отдельную тему, в раздел "Хирургия"? Мне просто показалось, что лучше написать в свою старую тему о том же зубе, чтобы не повторять предысторию о том, как он был блокирован восьмеркой. Я тогда перемещу сейчас. Ссылка на комментарий
sus Опубликовано 13 декабря, 2016 Автор Поделиться Опубликовано 13 декабря, 2016 Переписала вот сюда: http://forum.stom.ru/topic/34238-ankiloz-moliara-udaliat-tcelikom-ili-delat-koro/ Ссылка на комментарий
Рекомендуемые сообщения
Для публикации сообщений создайте учётную запись или авторизуйтесь
Вы должны быть пользователем, чтобы оставить комментарий
Создать аккаунт
Зарегистрируйте новый аккаунт в нашем сообществе. Это очень просто!
Регистрация нового пользователяВойти
Уже есть аккаунт? Войти в систему.
Войти