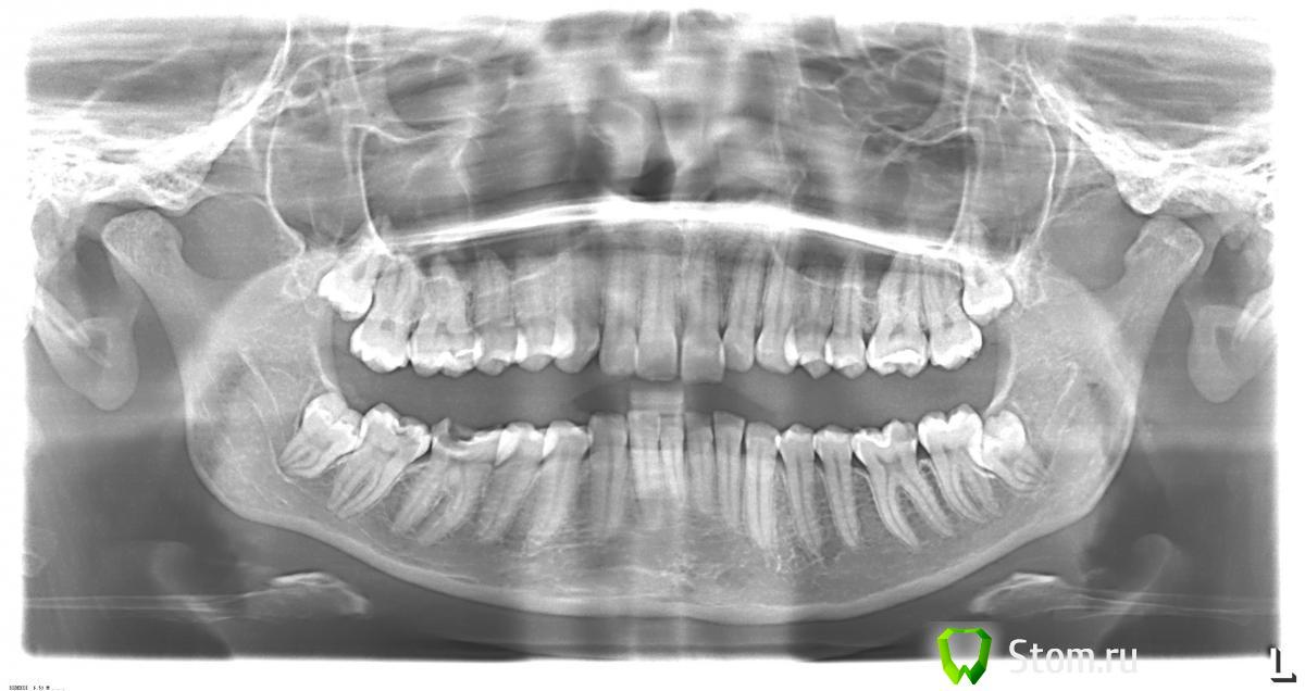
Night Опубликовано 2 марта, 2012 Поделиться Опубликовано 2 марта, 2012 Здравствуйте! посоветуйте, пожалуйста, что можно сделать в моем случае.и определиться с планом лечения. Возможно ли в моем случае лечение без хирургического вмешательства, только ортодонтией? Что вообще можно сделать без хирургического вмешательства, к какому результату можно прийти? Реально ли вообще передние зубы "поставить на место"? Очень хочется послушать мнения специалистов.http://s43.radikal.ru/i101/1203/4d/dea697e5a4f7t.jpg Ссылка на комментарий
Force Опубликовано 4 марта, 2012 Поделиться Опубликовано 4 марта, 2012 Вас профиль волнует? Ссылка на комментарий
Night Опубликовано 5 марта, 2012 Автор Поделиться Опубликовано 5 марта, 2012 Нет, профиль меня не беспокоит, только передние зубы. Ссылка на комментарий
Force Опубликовано 5 марта, 2012 Поделиться Опубликовано 5 марта, 2012 Хирургия конечно вариант выбора, но можно и без нее обойтись. Ссылка на комментарий
Рекомендуемые сообщения
Для публикации сообщений создайте учётную запись или авторизуйтесь
Вы должны быть пользователем, чтобы оставить комментарий
Создать аккаунт
Зарегистрируйте новый аккаунт в нашем сообществе. Это очень просто!
Регистрация нового пользователяВойти
Уже есть аккаунт? Войти в систему.
Войти