F.e.r.u.m Опубликовано 15 февраля, 2012 Поделиться Опубликовано 15 февраля, 2012 Здравствуйте.Недавно лечил 2 зуба (6 и 7 внизу слева).В 6 была большая дырка (все откладывал по занятости), в 7 сняли старую пломбу, т.к. в зубном промежутке ниже пломбы (не под ней) стал развиваться кариес и там застревала пища. Зубы при этом не болели! Сначала в оба зуба положили кальциевые прокладки на неделю и закрыли временными пломбами (довольно мягкий белый материал к концу срока заметно стерся - серьезные впадины). Болей опять таки не было. После этого поставили постоянные фотополимерные пломбы. Было ощущение распирания зуба изнутри - прошло на след. день, но появилась довольно сильная ноющая боль (даже пил обезболивающее), которая длиться уже 3 дня. При этом при жевании пиши, даже очень мягкой (размоченный хлеб), появляется "стреляющая" боль. Особенно в 7 зубе. После таких "прострелов" ноющая боль усиливается на несколько часов. Без еды зубы смыкаются как и раньше, ничего не мешает. На вид пломбы аккуратные (не просто плоские - фигурные). При этом имеется повышенная стираемость эмали - со слов доктора, особенно видна на некоторых зубах. Сегодня был у доктора рассказал, все что описано выше. Получил ответ, что ноющая боль не из-за зуба, а в первое время боли при накусывании у фотополимерных пломб - довольно частое явление. Длится боли могут и месяц. Сказала, что у меня повышенная чувствительность к фотополимеру (не верится). Сказала, что пока вмешиваться не стоит, нужно подождать и пронаблюдать за характером боли и ее изменениями, а вообще она должна сама пройти. Делали снимок хорошо - видно эти 2 зуба, по словам врача все нормально (как по мне тоже). При этом болит больше 7, хотя пломба там не глубокая (по сравнению с 6) - 1...2 мм, но по площади почти на весь зуб. т.к. снимок остался у врача приложить пока не могу, как только заберу снимок - выложу. Собственно вопрос. Действительно ли фотополимерные пломбы частенько болят после установки?О чем в данном случае может говорить появившаяся боль?Ваши рекомендации? Ссылка на комментарий
ger_berra Опубликовано 15 февраля, 2012 Поделиться Опубликовано 15 февраля, 2012 По прикусу ещё раз надо проверить.Если не поможет,то значит есть погрешности при постановке пломбы и надо её заменить с максимальным с соблюдением технологического процесса. Ссылка на комментарий
Rania Опубликовано 16 февраля, 2012 Поделиться Опубликовано 16 февраля, 2012 ну да, бывает такое. Зуб ведь живой орган. Лучше подождать и смотреть динамику. Если улучшений нет, пломбу заменить. Снимки бы посмотреть. Ссылка на комментарий
DokDent Опубликовано 16 февраля, 2012 Поделиться Опубликовано 16 февраля, 2012 Длительные самопроизвольные боли настораживают. Ссылка на комментарий
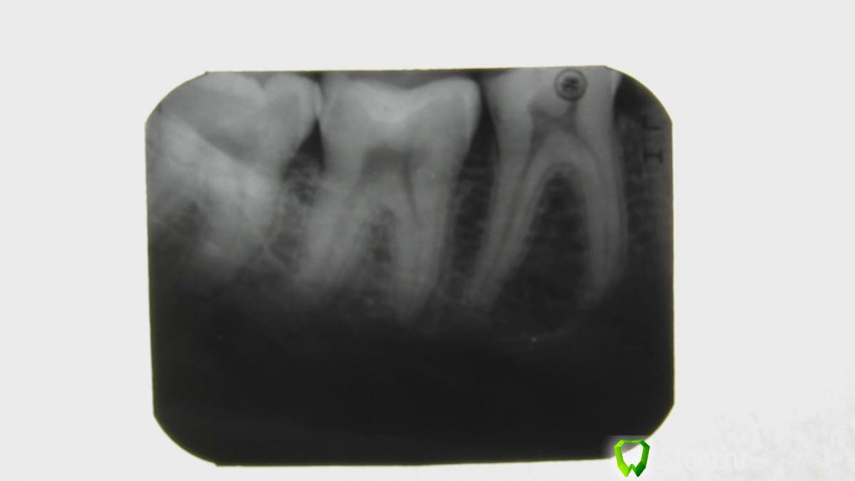
F.e.r.u.m Опубликовано 18 февраля, 2012 Автор Поделиться Опубликовано 18 февраля, 2012 Спасибо всем за ответы.К вечеру следующего дня, после старт-поста ноющая боль уменьшилась, а наутро и вовсе ушла. Однако боль при накусывании осталась такая же сильная, только утихает быстрее. Выкладываю рентген снимок Ссылка на комментарий
DokDent Опубликовано 18 февраля, 2012 Поделиться Опубликовано 18 февраля, 2012 Спасибо всем за ответы.К вечеру следующего дня, после старт-поста ноющая боль уменьшилась, а наутро и вовсе ушла. Однако боль при накусывании осталась такая же сильная, только утихает быстрее. Выкладываю рентген снимок По снимку больше болит 6-ка(самопроизвольные,длительные и стреляющие боли при накусывании-пломба находится близко от нерва). Ссылка на комментарий
F.e.r.u.m Опубликовано 18 февраля, 2012 Автор Поделиться Опубликовано 18 февраля, 2012 По снимку больше болит 6-ка(самопроизвольные,длительные и стреляющие боли при накусывании-пломба находится близко от нерва). мой врач тоже этому удивляется, но только-что специально еще раз пробовал накусывать (кусочек печенья на каждый зуб отдельно), 7 (дальний зуб, прилегающий к последнему) стреляет намного сильнее, чем 6. Ссылка на комментарий
DokDent Опубликовано 18 февраля, 2012 Поделиться Опубликовано 18 февраля, 2012 мой врач тоже этому удивляется, но только-что специально еще раз пробовал накусывать (кусочек печенья на каждый зуб отдельно), 7 (дальний зуб, прилегающий к последнему) стреляет намного сильнее, чем 6. Чувствительность при накусывании на 7-й возможна сама по себе,а вот это- "...но появилась довольно сильная ноющая боль (даже пил обезболивающее), которая длиться уже 3 дня.." посерьёзней. Ссылка на комментарий
Salma Опубликовано 18 февраля, 2012 Поделиться Опубликовано 18 февраля, 2012 судя по этому снимку пломба очень оченьблизко к нерву 6 зуба, думаю причина в нем Ссылка на комментарий
Рекомендуемые сообщения
Для публикации сообщений создайте учётную запись или авторизуйтесь
Вы должны быть пользователем, чтобы оставить комментарий
Создать аккаунт
Зарегистрируйте новый аккаунт в нашем сообществе. Это очень просто!
Регистрация нового пользователяВойти
Уже есть аккаунт? Войти в систему.
Войти