sunnyyy Опубликовано 9 февраля, 2012 Поделиться Опубликовано 9 февраля, 2012 В январе залечила (перелечила) передний зуб. Были пролечены каналы и поставлен штифт. После лечения зуб болел,но я посчитала в пределах нормы, т.к пульпит. Прошла неделя,стало полегче,но все равно болит если по нему даже ногтем постучать, он ощущается на морозе, при двежении губ, перепаде давления. Сейчас прошел уже месяц.Сделала снимок. Один стоматолог говорит, что штифт вышел за грани канала и дает боль,нужна только резекция, иначе начнуться образовываться гранулемы и кисты. Другой говорит, что "боли скорее всего не из-за выведенного материала (он инертный и болей не вызывает обычно)"...может и удасться решить проблему консервативно.Подскажите в чем проблема? Очень бы хотелось чтоб проблему можно было решить консервативно.Врач у которого лечила-в отпуске и + я в другом городе Ссылка на комментарий
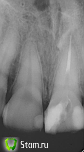
Afffinity Опубликовано 9 февраля, 2012 Поделиться Опубликовано 9 февраля, 2012 Гуттаперчевый штифт прилично выведен за верхушку, оттого и боли. Для начала попробовать достать его через канал, если не получиться то РВК вам в помощь Ссылка на комментарий
sunnyyy Опубликовано 9 февраля, 2012 Автор Поделиться Опубликовано 9 февраля, 2012 Спасибо! Ссылка на комментарий
sunnyyy Опубликовано 9 февраля, 2012 Автор Поделиться Опубликовано 9 февраля, 2012 На сколько реально удалить штифт? и стоит ли идти к том же стоматологу,чтобы он исправлял свою работу или искать другого? И по времени "тянуть" посещение можно еще пару недель? Просто чтобы поасть к тому же стоматологу,нужно ехать в другой город,а пока нет возможности выехать Ссылка на комментарий
sunnyyy Опубликовано 14 августа, 2012 Автор Поделиться Опубликовано 14 августа, 2012 Добрый день! Продолжение истории.... Штифт был удален, полностью "намыт" канал. вторая пломба не неперелечивалась.На 2 недели был поставлен каласепт, через сутки боль ушла, я выдохнула, но за 2 дня до приема началитсь неприятные ощущения в зубе. с середины зуба боль при постукивании по нему (даже ногтем), особенно после сна заметны ощущения. но все равно канал был запломбирован. По снимкам, материал уже не выходит за верхушку.Пришла к врачу,через несколько месяцев, говорю, болит, она гооврит даже не знаю чем вам помочь. Пошла к другому врачу (к которому ушла после этой ситуации). Сделали несколько контрольных снимком, врач говорит, что залечено идеально, даже не придраться. сейчас хожу на лазер. Оущения уходят, но не полностью.В чем может быть проблема?Уже пугает 3-е перелечивание этого зуба. Если перелечивать, то нужно будет снимать обе пломбы? Ссылка на комментарий
Magdalena Опубликовано 14 августа, 2012 Поделиться Опубликовано 14 августа, 2012 Покажите снимок после перелечивания. Ссылка на комментарий
sunnyyy Опубликовано 16 августа, 2012 Автор Поделиться Опубликовано 16 августа, 2012 http://s006.radikal.ru/i215/1208/ad/969aa29b4faat.jpg Ссылка на комментарий
sunnyyy Опубликовано 19 августа, 2012 Автор Поделиться Опубликовано 19 августа, 2012 Подскажите, пжл, уважаемые врачи, что делать? Есть еще ортопанорама Ссылка на комментарий
Рекомендуемые сообщения
Для публикации сообщений создайте учётную запись или авторизуйтесь
Вы должны быть пользователем, чтобы оставить комментарий
Создать аккаунт
Зарегистрируйте новый аккаунт в нашем сообществе. Это очень просто!
Регистрация нового пользователяВойти
Уже есть аккаунт? Войти в систему.
Войти