Hermit Опубликовано 28 октября, 2007 Поделиться Опубликовано 28 октября, 2007 После устновки коронок стали болеть многие зубы, которые врач посчитал возможным неперелечивать. В частности, верхняя пятерка. Нашел другого врача, который взялся за его лечение. Он считает, что следует после вскрытия канала обработать его и положить в него на три-четыре дня каласепт, а затем пломбировать гуттаперчивыми штифтами - после этого зуб будет уже готов для установки в него вкладки. Но достаточно ли такого короткого срока для излечения зуба и не рисковано ли так быстро ставить в него вкладку? Насколько состоятельны соседние 4 и 6 зубы? Что с ними следует сделать? Ссылка на комментарий
NataLee Опубликовано 28 октября, 2007 Поделиться Опубликовано 28 октября, 2007 После устновки коронок стали болеть многие зубы, которые врач посчитал возможным неперелечивать. В частности, верхняя пятерка. Нашел другого врача, который взялся за его лечение. Он считает, что следует после вскрытия канала обработать его и положить в него на три-четыре дня каласепт, а затем пломбировать гуттаперчивыми штифтами - после этого зуб будет уже готов для установки в него вкладки. Но достаточно ли такого короткого срока для излечения зуба и не рисковано ли так быстро ставить в него вкладку? Насколько состоятельны соседние 4 и 6 зубы? Что с ними следует сделать? Четвёрка только меня смущает... 5 и 6 можно попробовать перелечить. Если получится пройти каналы, то Каласепт я бы поставила на 1-2 недели. Хотя лично мне (но это именно лично мне ) больше нравятся пасты типа Витапекс. Их тоже имеет смысл ставить на 1-2 недели. Дольше держать их бесполезно, всё равно динамика (положительная или отрицательная) на снимках будет видна не ранее, чем через 6 месяцев. Поэтому каналы можно пломбировать и ставить вкладки, но всё это без гарантии. Ссылка на комментарий
Hermit Опубликовано 28 октября, 2007 Автор Поделиться Опубликовано 28 октября, 2007 А чем смущает четверка? Ее депульпировали в районной поликлинике 2 года назад. Видимо плохо. Там же поставили затем криво штифт. Перед протезироваением старый штифт вытащили и поставивили новый. От старого штифта на зубе остался след - толи перфорация, толи внутренняя полость. Когда поставили коронки, зуб стал побаливать при нажатии на него сбоку со стороны языка, причем эта боль аналогична той, что держалась месяц-два после депульпации. Т.е. с образованием на стенке, видимым на снимке, она, возможно, не связана. Можно ли такой зуб перелечить и как? Ссылка на комментарий
NataLee Опубликовано 28 октября, 2007 Поделиться Опубликовано 28 октября, 2007 А чем смущает четверка? Ее депульпировали в районной поликлинике 2 года назад. Видимо плохо. Там же поставили затем криво штифт. Перед протезироваением старый штифт вытащили и поставивили новый. От старого штифта на зубе остался след - толи перфорация, толи внутренняя полость. Когда поставили коронки, зуб стал побаливать при нажатии на него сбоку со стороны языка, причем эта боль аналогична той, что держалась месяц-два после депульпации. Т.е. с образованием на стенке, видимым на снимке, она, возможно, не связана. Можно ли такой зуб перелечить и как? Меня вот и смушает эта деструкция костной ткани по дистальной стенке корня. Если это перфорация, такой зуб однозначно нельзя брать под протезирование. И сама возможность перелечивания под большим вопросом. Придут коллеги, пусть посмотрят, может, будет ещё какое-то мнение... И ортопедов не худо бы послушать Ссылка на комментарий
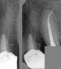
Hermit Опубликовано 28 октября, 2007 Автор Поделиться Опубликовано 28 октября, 2007 (изменено) Меня вот и смушает эта деструкция костной ткани по дистальной стенке корня. Если это перфорация, такой зуб однозначно нельзя брать под протезирование. И сама возможность перелечивания под большим вопросом. Придут коллеги, пусть посмотрят, может, будет ещё какое-то мнение... И ортопедов не худо бы послушать А как проверить, что это такое, ведь оно под десной? Надо вскрывать канал зуба и смотреть, на это "изнутри"? Помещаю еще три снимка четвертого зуба, сделанные перед протезированием. Изменено 28 октября, 2007 пользователем Hermit Ссылка на комментарий
Bier Опубликовано 28 октября, 2007 Поделиться Опубликовано 28 октября, 2007 Хермит, зачем вы обрезаете снимки? может мы еще что интересное разглядим? на мой взгляд, там была перфорация, которая никуда и не делась. Зуб весьма сомнительный для протезирования на мой взгляд. Ссылка на комментарий
NataLee Опубликовано 28 октября, 2007 Поделиться Опубликовано 28 октября, 2007 Хермит, зачем вы обрезаете снимки? может мы еще что интересное разглядим? на мой взгляд, там была перфорация, которая никуда и не делась. Зуб весьма сомнительный для протезирования на мой взгляд. Перфорация, однозначно Закрыта каким-то материалом. Может быть, имеет смысл перелечить и сделать хирургическое удлинение коронковой части (обнажить место этой перфорации)? Где ортопеды? Ссылка на комментарий
Hermit Опубликовано 28 октября, 2007 Автор Поделиться Опубликовано 28 октября, 2007 Перфорация, однозначно Закрыта каким-то материалом. Может быть, имеет смысл перелечить и сделать хирургическое удлинение коронковой части (обнажить место этой перфорации)? Где ортопеды? Сознательно материалом там никто ничего не закрывал. Это точно. Видимо, это остатки от чего-то. Удлинение вряд ли возможно, зуб и так сточили глубоко под десну. Ссылка на комментарий
Doc Опубликовано 28 октября, 2007 Поделиться Опубликовано 28 октября, 2007 Перфорация, однозначно Закрыта каким-то материалом. Может быть, имеет смысл перелечить и сделать хирургическое удлинение коронковой части (обнажить место этой перфорации)? Где ортопеды? Ортопеды остыпались после тяжелой недели. Перфорация там серьезная. Под нагрузку зуб крайне ненадежен. Под одиночку с подпиской об отсутствии гарантии можно взять, но это будут эксперименты на живых людях. Лучше не рисковать, мне кажется. Хотя видал я такие перфорации, которые стояли и три и пять лет. Но больше вряд ли. Ссылка на комментарий
Hermit Опубликовано 28 октября, 2007 Автор Поделиться Опубликовано 28 октября, 2007 Ортопеды остыпались после тяжелой недели. Перфорация там серьезная. Под нагрузку зуб крайне ненадежен. Под одиночку с подпиской об отсутствии гарантии можно взять, но это будут эксперименты на живых людях. Лучше не рисковать, мне кажется. Хотя видал я такие перфорации, которые стояли и три и пять лет. Но больше вряд ли. А что с этим зубом может произойти? С того бока корня, где имеется подозрение на перфорацию, ничего не беспокоит. Есть болевые ощущения у верхушки корня, да и то при нажатии на зуб со стороны. Ссылка на комментарий
Doc Опубликовано 28 октября, 2007 Поделиться Опубликовано 28 октября, 2007 А что с этим зубом может произойти? С того бока корня, где имеется подозрение на перфорацию, ничего не беспокоит. Есть болевые ощущения у верхушки корня, да и то при нажатии на зуб со стороны. В этом месте уже есть разрежение костной ткани, которое постепенно распространится и захватит соседний зуб тоже. В любой момент может все это воспалиться, а главное - потеря костной ткани будет идти постоянно и неотвратимо. После потери костной ткани уже будет затруднена имплантация например. В общем, хорошего мало. Ссылка на комментарий
Hermit Опубликовано 28 октября, 2007 Автор Поделиться Опубликовано 28 октября, 2007 В этом месте уже есть разрежение костной ткани, которое постепенно распространится и захватит соседний зуб тоже. В любой момент может все это воспалиться, а главное - потеря костной ткани будет идти постоянно и неотвратимо. После потери костной ткани уже будет затруднена имплантация например. В общем, хорошего мало. Понял. Спасибо за разъяснения. Действительно, хорошего мало. Ссылка на комментарий
Hermit Опубликовано 1 ноября, 2007 Автор Поделиться Опубликовано 1 ноября, 2007 Четвёрка только меня смущает... 5 и 6 можно попробовать перелечить. Если получится пройти каналы, то Каласепт я бы поставила на 1-2 недели. Хотя лично мне (но это именно лично мне ) больше нравятся пасты типа Витапекс. Их тоже имеет смысл ставить на 1-2 недели. Дольше держать их бесполезно, всё равно динамика (положительная или отрицательная) на снимках будет видна не ранее, чем через 6 месяцев. Поэтому каналы можно пломбировать и ставить вкладки, но всё это без гарантии. Петерку переличил. Не знаю, хорошо ли. Врач сказала, что каласепт достаточно поставить на 4 дня, т.к. он быстро теряет свои антисептические свойства. За апекс что-то выходит. Возможно гуттаперчивый штифт. Скажите пожалуйста, это опасно или нет? При снятии снимка с пятерки в кадр попала и четверка. Поскольку неятно, что такм у нее сбоку, то привожу здесь снимок пятерки вместе с еще парой снимков четверки. Может по поводу них что-то еще прояснится. Ссылка на комментарий
Максич Опубликовано 2 ноября, 2007 Поделиться Опубликовано 2 ноября, 2007 Петерку переличил. Не знаю, хорошо ли. Врач сказала, что каласепт достаточно поставить на 4 дня, т.к. он быстро теряет свои антисептические свойства. За апекс что-то выходит. Возможно гуттаперчивый штифт. Скажите пожалуйста, это опасно или нет? При снятии снимка с пятерки в кадр попала и четверка. Поскольку неятно, что такм у нее сбоку, то привожу здесь снимок пятерки вместе с еще парой снимков четверки. Может по поводу них что-то еще прояснится. [/quote Что вывели за апекс штифт, не есть очень хорошо. Опасно или нет? время покажет Ссылка на комментарий
Hermit Опубликовано 5 ноября, 2007 Автор Поделиться Опубликовано 5 ноября, 2007 Что вывели за апекс штифт, не есть очень хорошо. Опасно или нет? время покажет А можно, если зуб будет продолжать болеть, перелечить зуб, притом, так, чтобы вынуть штифт из-за апекса? Ссылка на комментарий
Снежана Опубликовано 7 ноября, 2007 Поделиться Опубликовано 7 ноября, 2007 А можно, если зуб будет продолжать болеть, перелечить зуб, притом, так, чтобы вынуть штифт из-за апекса? Не думаю, что его нужно перелечивать, при распломбировании канала есть риск протолкнуть штифт еще дальше за верхушку. Если зуб будет упорно продолжать болеть лучше обратиться к хирургам и сделать резекцию. Ссылка на комментарий
Рекомендуемые сообщения
Для публикации сообщений создайте учётную запись или авторизуйтесь
Вы должны быть пользователем, чтобы оставить комментарий
Создать аккаунт
Зарегистрируйте новый аккаунт в нашем сообществе. Это очень просто!
Регистрация нового пользователяВойти
Уже есть аккаунт? Войти в систему.
Войти