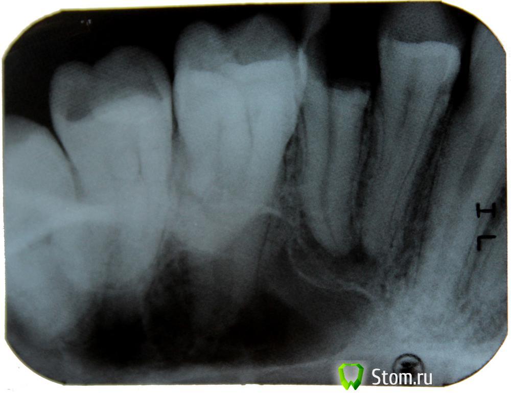
DsLog Опубликовано 31 января, 2012 Поделиться Опубликовано 31 января, 2012 Добрый день! Разрушены 2 зуба (5) верхней челюсти, врач клиники в которую обратился сказал что нужны снимки, принёс снимки, сказали что нужно удалять эти 2 зуба...удалять сказали в городской поликлиннике т.к. корень искревлён и они не смогут сами его удалить,.... после удаления предложили вариант: мост из металлокерамики со стачиванием двух соседних зубов и удалением из них нерва. Действую по принципу доверяй - но проверяй. Если зубы никак восстановить нельзя, то думаю что буду ставить импланты. Ссылка на комментарий
Sib-oboima Опубликовано 31 января, 2012 Поделиться Опубликовано 31 января, 2012 опыта у меня конечно еще не много. но по-моему можно их пролечить+вкладка+коронка Ссылка на комментарий
ger_berra Опубликовано 31 января, 2012 Поделиться Опубликовано 31 января, 2012 Удалять оба.На их место импланты.Не соглашайтесь на умышленное умертвление живых зубов!1-ый корень сгнил изнутри ниже уровня десны и вершины межальвеолярной перегородки.2-й высоты оставшихся твёрдых тканей недостаточно для изготовления ВКВ.Если только хирургическое удлинение.И то это будет компромисный вариант. Ссылка на комментарий
DmitrySH Опубликовано 31 января, 2012 Поделиться Опубликовано 31 января, 2012 По данным снимкам не брался бы судить удалять или нет. Если удалять, то На их место импланты.Не соглашайтесь на умышленное умертвление живых зубов!.А еще можно с ортодонтом проконсультироваться. Если оба зуба удаляются, то я бы предложил рассмотреть вариант ортодонтического закрытия свободного места. Ссылка на комментарий
DsLog Опубликовано 31 января, 2012 Автор Поделиться Опубликовано 31 января, 2012 http://www.impl***ant-nn.ru/q-q-23000.html - оцените, стоит ли доверятьhttp://www.imp***lant-nn.ru/za-1-den-23000.html - оцените, стоит ли доверять Ссылка на комментарий
DsLog Опубликовано 31 января, 2012 Автор Поделиться Опубликовано 31 января, 2012 http://www.impl***an.../q-q-23000.html - оцените, стоит ли доверятьhttp://www.imp***lan...-den-23000.html - оцените, стоит ли доверять нужно убрать звездочки Ссылка на комментарий
Рекомендуемые сообщения
Для публикации сообщений создайте учётную запись или авторизуйтесь
Вы должны быть пользователем, чтобы оставить комментарий
Создать аккаунт
Зарегистрируйте новый аккаунт в нашем сообществе. Это очень просто!
Регистрация нового пользователяВойти
Уже есть аккаунт? Войти в систему.
Войти