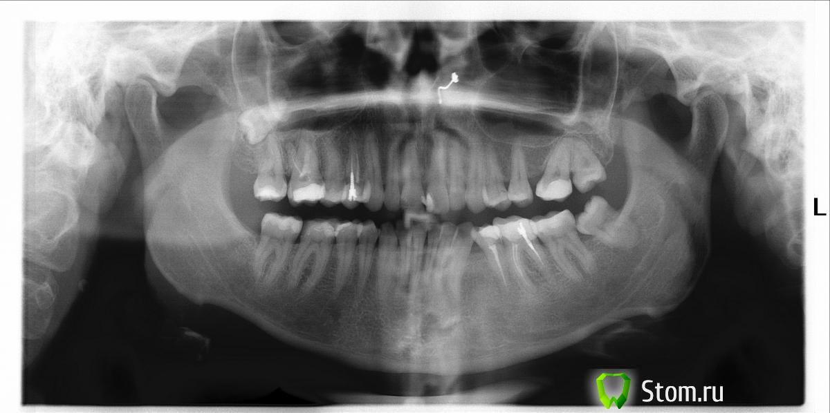
Наталия78 Опубликовано 29 января, 2012 Поделиться Опубликовано 29 января, 2012 (изменено) Здравствуйте, уважаемые стоматологи. Некоторое время назад заболела вся правая сторона челюсти. Сходила, сделала снимок. Доктор сказал: Скорее всего надо будет перелечивать каналы.... Не смогла себя заставить добровольно пойти на этот подвиг (последние несколько раз, когда лечила зубы, анестезия как-то не очень анестезировала). Несколько дней пила обезбаливающее, оно же противовосполительное. Все вроде прошло. Но проблему откладывать нельзя, все равно придется лечить. Буду очень благодарна, если вы на основании снимка сможете мне рассказать что с моими зубами, что надо будет делать и насколько все запущено.Заранее большое спасибо. Изменено 29 января, 2012 пользователем Наталия78 Ссылка на комментарий
L . O . M . Опубликовано 29 января, 2012 Поделиться Опубликовано 29 января, 2012 (изменено) Правый верх.8 - консультация хирурга , он вполне может расти и , например , "толкать" 7 зуб .6- есть воспалительный процесс . Перелечить каналы , восстановить вкладкой и коронкой .5-большая пломба . Возможен пульпит . ЭОД.14-Перелечить каналы , восстановить вкладкой и коронкой . Правый низ.7,6,5-Эод .6-очевиден вторичный кариес под пломбой , если после препарирования не "вскроется" нерв и останется достаточный объем тканей-восстановить коронковую часть зуба керамической вкладкой , если депульпация (удаление нерва) -восстановить вкладкой и коронкой . Ещё бывает гайморит , неврит . Консультации соответствующих специалистов. Простите , а что это за предмет над верхними центральными зубами ? Изменено 29 января, 2012 пользователем L . O . M . Ссылка на комментарий
Stomart Опубликовано 30 января, 2012 Поделиться Опубликовано 30 января, 2012 Простите , а что это за предмет над верхними центральными зубами ? Пирсинг в носу ) Ссылка на комментарий
ger_berra Опубликовано 30 января, 2012 Поделиться Опубликовано 30 января, 2012 Правый верх.8 - консультация хирурга , он вполне может расти и , например , "толкать" 7 зуб .6- есть воспалительный процесс . Перелечить каналы , восстановить вкладкой и коронкой .5-большая пломба . Возможен пульпит . ЭОД.14-Перелечить каналы , восстановить вкладкой и коронкой . Правый низ.7,6,5-Эод .6-очевиден вторичный кариес под пломбой , если после препарирования не "вскроется" нерв и останется достаточный объем тканей-восстановить коронковую часть зуба керамической вкладкой , если депульпация (удаление нерва) -восстановить вкладкой и коронкой . Ещё бывает гайморит , неврит . Консультации соответствующих специалистов. Простите , а что это за предмет над верхними центральными зубами ? + брекеты одеть.У Вас проблемы с прикусом. Ссылка на комментарий
Наталия78 Опубликовано 30 января, 2012 Автор Поделиться Опубликовано 30 января, 2012 Огромное спасибо всем, кто отреагировал на мою просьбу... Я, конечно, знала, что у меня не все хорошо, но чтоб настолько..... . И это только по правой стороне, а ведь есть еще и левая..... Но вот что оказалось полной неожиданностью, так это брекеты.... Возможно не очень корректный вопрос с моей стороны: если столько зубов мне надо именно переделать, это значит, что они изначально были сделаны не очень хорошо? И я очень извиняюсь: а что значит ЭОД? P.S. Предмет - пирсинг .... Ссылка на комментарий
shishok Опубликовано 30 января, 2012 Поделиться Опубликовано 30 января, 2012 ЭОД- электроодонтодиагностика(определение электровозбудимости пульпы-живой/неживой зуб) Ссылка на комментарий
Рекомендуемые сообщения
Для публикации сообщений создайте учётную запись или авторизуйтесь
Вы должны быть пользователем, чтобы оставить комментарий
Создать аккаунт
Зарегистрируйте новый аккаунт в нашем сообществе. Это очень просто!
Регистрация нового пользователяВойти
Уже есть аккаунт? Войти в систему.
Войти