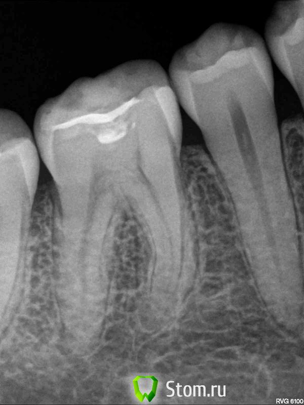
Anna_M Опубликовано 25 января, 2012 Поделиться Опубликовано 25 января, 2012 (изменено) Здравствуйте, уважаемые специалисты! Очень нуждаюсь в вашей помощи и подсказке. Болит 46 зуб. Предыстория: зуб был пролечен и запломбирован по поводу кариеса лет 15 назад. С тех пор не беспокоил. В 2005 году была установлена брекет-система с кольцами на 6-ках. Через год, в 2006, кольцо на 46 расцементировалось, стало болтаться, с этого момента зуб просто адски разболелся, стал сильно реагировать на многие раздражители: холодное, горячее, сладкое, когда кольцо шевелилось, тоже было больно. В общем, пошла лечить. Зуб запломбировали. Кольцо приклеили заново. Боль значительно уменьшилась, от всех ощущений осталась только реакция на холодное. Врач сказал, что зуб пролечен нормально и в этой остаточной реакции нет ничего страшного.С тех пор реакция на холодное так и не прошла. Она то появлялась, то исчезала, в большей или меньшей степени. В принципе, было терпимо. В 2010 г. с наступлением зимних холодов 46 зуб внезапно проснулся, стал очень сильно реагировать на холод, даже если просто выйти на улицу. После воздействия холода долго ныл, буквально часами. Плюс стал ныть и просто к ночи. Конечно же, я пошла к врачу. Сделав снимок, терапевт принял решение зуб не трогать, т.к. «зуб замечательный, пломба тоже». После этого я задала вопрос об этом зубе здесь на форуме. Мне подсказали, что, возможно, судя по снимку, во время того пломбирования в 2006 г. был вскрыт рог пульпы, и мне нужно искать хорошего эндодонтиста. В нашем городе найти его было очень непросто. Пока я занималась поисками, холода прошли, зуб успокоился, осталась малоприметная реакция на холод, но я настолько к ней привыкла, что уж и не обращала внимания. Тем временем была повторно установлена брекет-система, на этот раз лингвальная. Прошел год, снова наступили холода, и снова этот зуб активизировался. Стал ужасно реагировать на холод, долго-долго после этого ныть, периодически побаливал к ночи, из новых ощущений добавились кратковременные несильные «прострелы» (не знаю, как назвать их по-другому). К этому времени я нашла очень сильного эндодонтиста с хорошими рекомендациями и с микроскопом. Итак, в ноябре 2011 (буквально 2 мес. назад) я пошла к нему на прием. Он сделал свежий снимок, проанализировал, сравнил с предыдущим, сказал, что на двух снимках – свежем и годичной давности - есть небольшое расширение в периапексе, но, вероятно, это связано с ортодонтическим лечением, прошлым и нынешним. Никаких изменений в периодонте за год не произошло, динамики нет, из чего следует, что расширение – следствие ортодонтии. Осмотр в кресле выявил реакцию на холодный воздух. Перкуссия безболезненная. ЭОД и холодовой тест эндофростом не проводили. Справедливости ради надо отметить, что рядом стоящие 43, 44 и 45 тоже реагировали на холодный воздух, т.к. на них есть клиновидные дефекты, которые я планирую закрывать после ортодонтии с помощью периопластики. Но я могу четко отдифференцировать реакцию 43-45 на холодовой раздражитель, т.к. она резкая и очень кратковременная, в отличие от реакции 46, которая не так резка, но гораздо более длительна. Чтобы узнать, вскрыт рог пульпы, или нет, доктор решил снять пломбу и рассмотреть все под микроскопом. Сделал два укола анестетика по бокам зуба длинной иглой под углом куда-то глубоко в кость. Сказал, что это хороший метод анестезии, при котором не онемеет пол-лица, а обезболится только зуб… Анестезия совсем не подействовала. Врач сверлил, дул воздухом и поливал водой, как говорится, «наживую». Было очень больно По моему лицу он понял, что больно, доколол еще… Не подействовало. Доктор сказал, что анестетик не дошел до нерва из-за того самого расширения в периодонте. Продолжили так. В итоге, посмотрев под микроскопом, доктор сказал, что никакого намека на вскрытую пульпу тут нет, и закрыл все пломбой. После процедуры сказал, что боль, которую я чувствовала во время лечения, - хороший признак, это значит, зуб живой. С этого момента реакция на холод усилилась. Зуб реагирует уже даже просто на воду комнатной температуры и долго после этого ноет, а если выйти на мороз, то вообще труба. Добавилась неприятная реакция на горячее. Порой эта нудная боль настолько выматывает, что хочется немедленно записаться на прием и депульпировать, наконец, этот многострадальный зуб. Волнует один момент. У меня брекеты инкогнито, которые нельзя переклеивать в силу конструктивных особенностей. Еще во время предыдущего визита доктор сказал ассистенту: «Видишь, тут инкогнито, кламп никак не надеть» и работал, обложив зуб ватками. Если придется делать эндо, то как же быть с коффердамом? И, кроме того, ведь эндодонтист уже осматривал зуб, свой вердикт по нему вынес: пульпита нет, рог не вскрыт, зуб живой, в эндодонтии необходимости нет… В общем, у меня несколько вопросов к вам, дорогие специалисты: 1) что все-таки с 46 зубом: пульпит, или не пульпит? 2) если пульпит, можно ли отложить эндо до снятия брекетов (оно произойдет месяцев через 6-8, ориентировочно). Боль я смогу потерпеть. Мне не впервой, в общем-то. Брекеты приучили к разного рода зубной боли . Главное, чтобы была понятна причина и ясна цель, в этом случае с болью можно смириться. 3) если не пульпит, как избавиться от всех болезненных симптомов и в чем их причина? 4) тот снимок, который сделал врач два месяца назад перед вскрытием пломбы, мне не отдали на руки, поэтому я сегодня сделала в другой клинике свежий прицельный. С этого ракурса стал виден 47 зуб. На нем сверху, на жевательной поверхности, виднеется темное пятнышко, не кариес ли это? И не он ли является причиной всех моих мучений? Может такое быть, что боль от кариеса на 47 иррадиирует в 46 и путает диагностическую картину? Буквально три дня назад с 47-го зуба спилили ортодонтическую накусочную пломбу, которая весь год покрывала всю жевательную поверхность этого зуба и была налеплена поверх обычной терапевтической пломбы, сделанной тоже лет 15 назад. Может ли быть такое, что под этой ортодонтической накладкой развился кариес, который никто не заметил из-за того, что это место было полностью ею закрыто и кариес не визуализировался при осмотре? Прикрепляю снимки: 1. годичной давности 2. свежий сегодняшний 3. на всякий случай прикреплю ОПТГ для полноты картины (орто не слишком свежее, конечно, июль 2011, но хоть что-то). Изменено 25 января, 2012 пользователем Anna_M Ссылка на комментарий
Scrabble Опубликовано 25 января, 2012 Поделиться Опубликовано 25 января, 2012 (изменено) Судя по описанию-пульпит, и давний. Боли на горячее говорят о том, что коронковая пульпа мертва. Мезиальный рог пульпы высоко расположен, пломба очень близко. Если сообщения нет-это не показатель, микробы через тонкую стенку дентина проникают. А 46 или 47-это надо во рту смотреть, и с холодовой пробой. Изменено 25 января, 2012 пользователем Scrabble Ссылка на комментарий
Anna_M Опубликовано 26 января, 2012 Автор Поделиться Опубликовано 26 января, 2012 Судя по описанию-пульпит, и давний. Боли на горячее говорят о том, что коронковая пульпа мертва. Мезиальный рог пульпы высоко расположен, пломба очень близко. Если сообщения нет-это не показатель, микробы через тонкую стенку дентина проникают. А 46 или 47-это надо во рту смотреть, и с холодовой пробой.Татьяна, большое спасибо за ответ. Ссылка на комментарий
Anna_M Опубликовано 31 января, 2012 Автор Поделиться Опубликовано 31 января, 2012 (изменено) Сегодня все-таки депульпировали Закрыли метапастой под временную пломбу на 10 дней. В пульповой камере дентикль, каналы склерозированные. Проводниковая анестезия не подействовала, т.к. док не попал в нужный нерв по причине моей аномальной анатомии ветви нижней челюсти. Сделали инфильтрационную, но когда стали вскрывать пломбу, стало ясно, что тоже не действует. Кололи внутрипульпарно. Три раза. Так до конца и не обезболили, местами чуть из кресла не выпрыгивала. Когда включили аплок, было особенно больно. Док объяснил тем, что на дне канала остались кусочки пульпы, которым, ессно, было больно от проходящего через них тока. Контрольный снимок с файлами не делали, м.б., в следующее посещение сделают? Коффер надели с трудом, оторвали два брекета, но все равно из-под коффера подтекало в полость рта, я помигала доку, мол, "течет". Он залил щели ликвидамом. Доктор работал с микроскопом, нашел и обработал три канала. Оставшиеся кусочки пульпы, которые не удалось вытащить из-за того, что каналы слишком узкие, будем растворять получасовой экспозицией хлорки во время второго посещения. 1.Скажите, пожалуйста, может ли после депульпирования зуба и закрытия каналов гидроокисью сохраняться реакция на холод с той же интенсивностью и продолжительностью, как и до лечения?2.Стоит ли мне до следующего приема сделать снимок зуба на текущий момент (с гидроокисью в каналах)?3.Растворится ли оставшаяся органика в каналах за полчаса? Изменено 31 января, 2012 пользователем Anna_M Ссылка на комментарий
kasoleil Опубликовано 31 января, 2012 Поделиться Опубликовано 31 января, 2012 Сегодня все-таки депульпировали Закрыли метапастой под временную пломбу на 10 дней. В пульповой камере дентикль, каналы склерозированные. Проводниковая анестезия не подействовала, т.к. док не попал в нужный нерв по причине моей аномальной анатомии ветви нижней челюсти. Сделали инфильтрационную, но когда стали вскрывать пломбу, стало ясно, что тоже не действует. Кололи внутрипульпарно. Три раза. Так до конца и не обезболили, местами чуть из кресла не выпрыгивала. Когда включили аплок, было особенно больно. Док объяснил тем, что на дне канала остались кусочки пульпы, которым, ессно, было больно от проходящего через них тока. Контрольный снимок с файлами не делали, м.б., в следующее посещение сделают? Коффер надели с трудом, оторвали два брекета, но все равно из-под коффера подтекало в полость рта, я помигала доку, мол, "течет". Он залил щели ликвидамом. Доктор работал с микроскопом, нашел и обработал три канала. Оставшиеся кусочки пульпы, которые не удалось вытащить из-за того, что каналы слишком узкие, будем растворять получасовой экспозицией хлорки во время второго посещения. 1.Скажите, пожалуйста, может ли после депульпирования зуба и закрытия каналов гидроокисью сохраняться реакция на холод с той же интенсивностью и продолжительностью, как и до лечения?2.Стоит ли мне до следующего приема сделать снимок зуба на текущий момент (с гидроокисью в каналах)?3.Растворится ли оставшаяся органика в каналах за полчаса? сколько терминов, названий и подробностей...вы доктора на диктофон что ли записывали?)1. при наличии дентиклей и склерозированных каналах это вполне возможно2. снимки нужно делать по назначению врача3. у врача есть способы это проверить, не волнуйтесь так Ссылка на комментарий
Anna_M Опубликовано 31 января, 2012 Автор Поделиться Опубликовано 31 января, 2012 сколько терминов, названий и подробностей...вы доктора на диктофон что ли записывали?)Я просто очень давно читаю этот форум и для меня стоматологические термины не всегда означают "белый шум", поэтому мне легко их запомнить. (Шепотом *я даже знаю, что такое биологическая ширина, и что будет, если ее нарушить ) 1. при наличии дентиклей и склерозированных каналах это вполне возможноСпасибо, Вы меня успокоили 2. снимки нужно делать по назначению врачаНо врач не назначил, а до сегодняшнего дня с протоколом эндо я была знакома только по кейсам докторов с этого форума.Так вот лучшие из них как раз делали РГ-контроль с файлами в каналах. Если правильный протокол допускает и отсутствие таких снимков, что ж, я рада, нашим легче 3. у врача есть способы это проверить, не волнуйтесь такЯ все равно волнуюсь - это же мое первое эндо А Вы не волнуетесь, когда делаете что-то впервые? Или с Вами делают? Ссылка на комментарий
Anna_M Опубликовано 1 февраля, 2012 Автор Поделиться Опубликовано 1 февраля, 2012 Скажите еще, пожалуйста, можно ли надеяться, что во второе посещение будет уже не так больно, как в первое? Или оставшиеся кусочки живой пульпы будут так же болеть при мех. обработке и реагировать на апекслокатор? Может, мне заранее перед приемом какой-нибудь кетанов выпить? Ссылка на комментарий
ger_berra Опубликовано 1 февраля, 2012 Поделиться Опубликовано 1 февраля, 2012 (изменено) Скажите еще, пожалуйста, можно ли надеяться, что во второе посещение будет уже не так больно, как в первое? Или оставшиеся кусочки живой пульпы будут так же болеть при мех. обработке и реагировать на апекслокатор? Может, мне заранее перед приемом какой-нибудь кетанов выпить?Если будет реагировать,то это не кусочки пульпы,а связки зуба(периодонт) и не так сильно.Просто кратковременный укольчик.Но с полноценной анестезией Вы можете ничего не почувствовать.Кетанов и прочие обезболивающие не пейте. Изменено 1 февраля, 2012 пользователем ger_berra Ссылка на комментарий
Anna_M Опубликовано 1 февраля, 2012 Автор Поделиться Опубликовано 1 февраля, 2012 Если будет реагировать,то это не кусочки пульпы,а связки зуба(периодонт) и не так сильно.Просто кратковременный укольчик.Но с полноценной анестезией Вы можете ничего не почувствовать.Кетанов и прочие обезболивающие не пейте.Екатерина, большое спасибо за ответ! Обезболивающие пить не буду Ссылка на комментарий
kasoleil Опубликовано 1 февраля, 2012 Поделиться Опубликовано 1 февраля, 2012 (Шепотом *я даже знаю, что такое биологическая ширина, и что будет, если ее нарушить )ужас какой... Но врач не назначил, а до сегодняшнего дня с протоколом эндо я была знакома только по кейсам докторов с этого форума.Так вот лучшие из них как раз делали РГ-контроль с файлами в каналах. Если правильный протокол допускает и отсутствие таких снимков, что ж, я рада, нашим легче Это зависит от многих факторов. Извлечение дентиклей и прохождение склерозированных каналов - само по себе занятие непростое. А "протокол" - слово довольно общее, он может меняться в зависимости от ситуации Я все равно волнуюсь - это же мое первое эндо А Вы не волнуетесь, когда делаете что-то впервые? Или с Вами делают?Я не волнуюсь, я переживаю когда лечение занимает много времени, а пациент не понимает, ЧТО я делаю....и, хотя все объясняю и рассказываю, так и хочет сбежать туда, где дешево и быстро. Когда знаю, как сделать лучше, качественнее и долговечнее, составляю план лечения, а человеку нужна "фантастика в стоматологии", "удалить и забыть", "замазать, чтоб пища не попадала" и т.д....... вы на правильном пути, не накручивайте себя)) Ссылка на комментарий
Anna_M Опубликовано 1 февраля, 2012 Автор Поделиться Опубликовано 1 февраля, 2012 ужас какой... вы на правильном пути, не накручивайте себя))Спасибо! Ссылка на комментарий
Anna_M Опубликовано 11 февраля, 2012 Автор Поделиться Опубликовано 11 февраля, 2012 И снова здравствуйте, уважаемые специалисты. Сегодня запломбировали термафилом... Ссылка на комментарий
ger_berra Опубликовано 11 февраля, 2012 Поделиться Опубликовано 11 февраля, 2012 Как ощущения?По снимкам гуд! Ссылка на комментарий
Anna_M Опубликовано 11 февраля, 2012 Автор Поделиться Опубликовано 11 февраля, 2012 Как ощущения? Спасибо, все хорошо! По снимкам гуд! Екатерина, Вы меня очень сильно обрадовали тем, что на снимках Вам все нравится! Спасибо! Ссылка на комментарий
ger_berra Опубликовано 11 февраля, 2012 Поделиться Опубликовано 11 февраля, 2012 Ссылка на комментарий
Anna_M Опубликовано 30 апреля, 2012 Автор Поделиться Опубликовано 30 апреля, 2012 Адская, просто адская боль от горячего в области 46, 47 То ли в 6-ке 4-й канал все-таки есть, то ли термафил подвел, то ли 7-ка просится на эндо Ссылка на комментарий
Scrabble Опубликовано 30 апреля, 2012 Поделиться Опубликовано 30 апреля, 2012 17 зуб по орто странно выглядит. Что на нём фиксировано? Нет признаков расцементировки? Сама попробуй сделать пробу с горячей водой-возьми ватный шарик(небольшой, чтобы соседние зубы не задевал), смачивай его в очень горячей воде и прикладывай последовательно к шейкам 17, 46, 47. Почему 48 оставили ортодонты-тоже непонятно. Карман дистально от 47 есть? Ссылка на комментарий
annda Опубликовано 2 мая, 2012 Поделиться Опубликовано 2 мая, 2012 Вот-вот,про 8КИ был мой первый вопрос(кроме левой нижней) Ссылка на комментарий
Anna_M Опубликовано 3 мая, 2012 Автор Поделиться Опубликовано 3 мая, 2012 17 зуб по орто странно выглядит. Что на нём фиксировано? Нет признаков расцементировки? Сама попробуй сделать пробу с горячей водой-возьми ватный шарик(небольшой, чтобы соседние зубы не задевал), смачивай его в очень горячей воде и прикладывай последовательно к шейкам 17, 46, 47. Почему 48 оставили ортодонты-тоже непонятно. Карман дистально от 47 есть?Татьяна, большое спасибо за ответ! Скажите, пожалуйста, какие подозрения вызвала у Вас семерка? На нем фиксирован брекет с накусочной площадкой на бугре и вестибулярная кнопка. Расцементировки нет, все спокойно вроде бы с этим зубом. Температурную пробу сделала. Реагирует на горячее, однозначно, 46, причем, только в том месте, которое на фото отмечено стрелкой (медиально-щечный бугор?), не сразу даже смогла определить вообще, какой зуб дает такую ужасную боль. 47 и 17 - все спокойно. 46 в других точках (сбоку, сверху, с обратной стороны) - тоже. Таки пропущен, наверное, какой-нибудь МБ2. Почему не удалили 48... пути ортодонтовы неисповедимы Кармана между 48 и 47 нет, вроде. На всякий случай сделала сегодня снимки, может быть, на них что-то будет видно. На 17 - коричневое пятно, которое я обнаружила сама, когда делала фото. Терапевт на этот счет сказал, что это кариес в стадии хронического пятна и его пока трогать не нужно. На снимке 47 видна какая-то подозрительная полость на жевательной поверхности, но доктор сказал, что это просто трещина в пломбе и разбираться с ней будем после снятия брекетов. Мне кажется, что там не только не пломбе трещина, но и на эмали между щечными буграми Прикрепляю снимки и фото всех "фигурантов" )) 46:http://uploads.ru/t/u/R/r/uRrVh.jpg 47:http://uploads.ru/t/I/w/V/IwVDY.jpg 17-47-46:http://uploads.ru/t/Z/u/Y/ZuYD3.jpg 17:http://uploads.ru/t/7/a/y/7aycH.jpg 46-47:http://uploads.ru/t/f/i/Q/fiQzC.jpg Ссылка на комментарий
Anna_M Опубликовано 3 мая, 2012 Автор Поделиться Опубликовано 3 мая, 2012 Вот-вот,про 8КИ был мой первый вопрос(кроме левой нижней)Анна, мой ортодонт сторонник сохранения 8-к, если они не дистопированы, здоровы и т.п. Ортодонт такой ортодонт Хотя я знаю, что по теории С. Сато восьмерки - это вообще абсолютное зло и корень всех моих ортодонтических и гнатологических бед... Но ведь сколько ортодонтов, столько теорий и планов лечения... Ссылка на комментарий
annda Опубликовано 3 мая, 2012 Поделиться Опубликовано 3 мая, 2012 Да-да,48 вообще идеален.Носить такую ситему,чтобы потом получить рецидив.Дело ваше. Ссылка на комментарий
Anna_M Опубликовано 3 мая, 2012 Автор Поделиться Опубликовано 3 мая, 2012 Да-да,48 вообще идеален. Насчет 48 я согласна, что он совершенно не в тему. Я сама несколько раз спрашивала у ортодонта перед началом лечения, мол, может этот зуб надо удалить? Но доктор сказал, что это всегда успеется и нет смысла торопиться с удалением, может когда-нибудь потом, после снятия брекетов... В общем, непонятки... Ссылка на комментарий
Anna_M Опубликовано 4 мая, 2012 Автор Поделиться Опубликовано 4 мая, 2012 Впрочем, с 48 вопрос уже почти решен и без одобрения ортодонта. Даже почти договорилась с одним хорошим доктором ). Мне бы сначала с более насущными проблемами разобраться, например с болью этой, вообще уже есть невозможно, даже едва теплую пищу. И боль при накусывании появилась в этой области. Подскажите, пожалуйста, что нужно делать? Реэндо 46? А с трещиной на 47 и правда можно повременить до снятия брекетов (около4-6 мес. еще носить по самым оптимистичным прогнозам, а возможно, и дольше). Кстати, в той же злополучной области 46-47 есть еще реакция на сладкое (не такая адская, как от горячего, но достаточно неприятная), причина в трещине на 47, или какая-то другая? Хелп! Ссылка на комментарий
Scrabble Опубликовано 4 мая, 2012 Поделиться Опубликовано 4 мая, 2012 На сладкое зуб с кариесом реагирует. А причиной болей от горячего может быть пропущенная анатомия в 46. Хотя с реэндо я бы повременила до удаления 48( а вдруг всё-таки причина этих злополучных болей именно взаимотношение дистальной поверхности корня 47 и бугров 48) Ссылка на комментарий
Anna_M Опубликовано 8 мая, 2012 Автор Поделиться Опубликовано 8 мая, 2012 На сладкое зуб с кариесом реагирует. Татьяна, Вы имеете в виду 47? А причиной болей от горячего может быть пропущенная анатомия в 46. Хотя с реэндо я бы повременила до удаления 48( а вдруг всё-таки причина этих злополучных болей именно взаимотношение дистальной поверхности корня 47 и бугров 48)Ок, спасибо за ответ Ссылка на комментарий
Рекомендуемые сообщения
Для публикации сообщений создайте учётную запись или авторизуйтесь
Вы должны быть пользователем, чтобы оставить комментарий
Создать аккаунт
Зарегистрируйте новый аккаунт в нашем сообществе. Это очень просто!
Регистрация нового пользователяВойти
Уже есть аккаунт? Войти в систему.
Войти