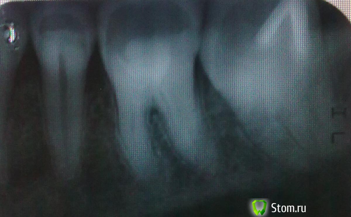
MISHINA_78 Опубликовано 8 декабря, 2011 Поделиться Опубликовано 8 декабря, 2011 Здравствуйте! Вопросы наболели такие: 1)Периодонтитные эти шестерки или нет? Если, конечно, видно по снимкам.2)Если все-таки периодонтитные, удалять их или попробовать вылечить? Внешне оба зуба с большой старой пломбой, зуб вокруг пломбы - буроватого такого цвета, десна у правого припухшая, как будто воспаленная. Но НЕ БОЛЯТ. Проблема втом, что неэстетично и если периодонтит, то - инфекция.К своему стоматологу иду через неделю. Спасибо. Ссылка на комментарий
shishok Опубликовано 9 декабря, 2011 Поделиться Опубликовано 9 декабря, 2011 Снимки очень плохого качества,ничего невозможно рассмотреть(то,что интересует Вас) .Вашему доктору они тоже не помогут в работе. Ссылка на комментарий
DokDent Опубликовано 10 декабря, 2011 Поделиться Опубликовано 10 декабря, 2011 Здравствуйте! Вопросы наболели такие: 1)Периодонтитные эти шестерки или нет? Если, конечно, видно по снимкам.2)Если все-таки периодонтитные, удалять их или попробовать вылечить? Внешне оба зуба с большой старой пломбой, зуб вокруг пломбы - буроватого такого цвета, десна у правого припухшая, как будто воспаленная. Но НЕ БОЛЯТ. Проблема втом, что неэстетично и если периодонтит, то - инфекция.К своему стоматологу иду через неделю. Спасибо. Здравствуйте.периодонтитные,однозначно.лечились в детстве?Перелечить. Ссылка на комментарий
MISHINA_78 Опубликовано 10 декабря, 2011 Автор Поделиться Опубликовано 10 декабря, 2011 Спасибо за ответы. Лечились не то чтобы совсем в детстве, но точно больше 10-15 лет назад. Насчет "перелечить" как раз и засомневалась после консультации в муниципальной областной клинике. Врач высшей категории с опытом сказала, что такие старые (давно пролеченные зубы) трогать не стоит. Мол, очень трудно будет пробраться к каналам, а во-вторых, он может развалиться весь, а в третьих там такааая!!!! может сидеть инфекция, что лучше не вскрывать зуб. Не болит и ладно. Отговорила, короче. А права ли она была... Ссылка на комментарий
ger_berra Опубликовано 11 декабря, 2011 Поделиться Опубликовано 11 декабря, 2011 (изменено) Резорциновые зубы поддаются перелечиванию.Вам нужен доктор,который специализируется на лечении каналов,желательно с микроскопом.После покрыть зубы коронками. Изменено 11 декабря, 2011 пользователем ger_berra Ссылка на комментарий
DokDent Опубликовано 11 декабря, 2011 Поделиться Опубликовано 11 декабря, 2011 Спасибо за ответы. Лечились не то чтобы совсем в детстве, но точно больше 10-15 лет назад. Насчет "перелечить" как раз и засомневалась после консультации в муниципальной областной клинике. Врач высшей категории с опытом сказала, что такие старые (давно пролеченные зубы) трогать не стоит. Мол, очень трудно будет пробраться к каналам, а во-вторых, он может развалиться весь, а в третьих там такааая!!!! может сидеть инфекция, что лучше не вскрывать зуб. Не болит и ладно. Отговорила, короче. А права ли она была...Ну высшая категория не всегда решающий показатель.Вам ger_berra правильно сказала что делать.Следует убрать старые пломбы,изменённые ткани зуба,а там видно будет,что от него останется. Ссылка на комментарий
Рекомендуемые сообщения
Для публикации сообщений создайте учётную запись или авторизуйтесь
Вы должны быть пользователем, чтобы оставить комментарий
Создать аккаунт
Зарегистрируйте новый аккаунт в нашем сообществе. Это очень просто!
Регистрация нового пользователяВойти
Уже есть аккаунт? Войти в систему.
Войти