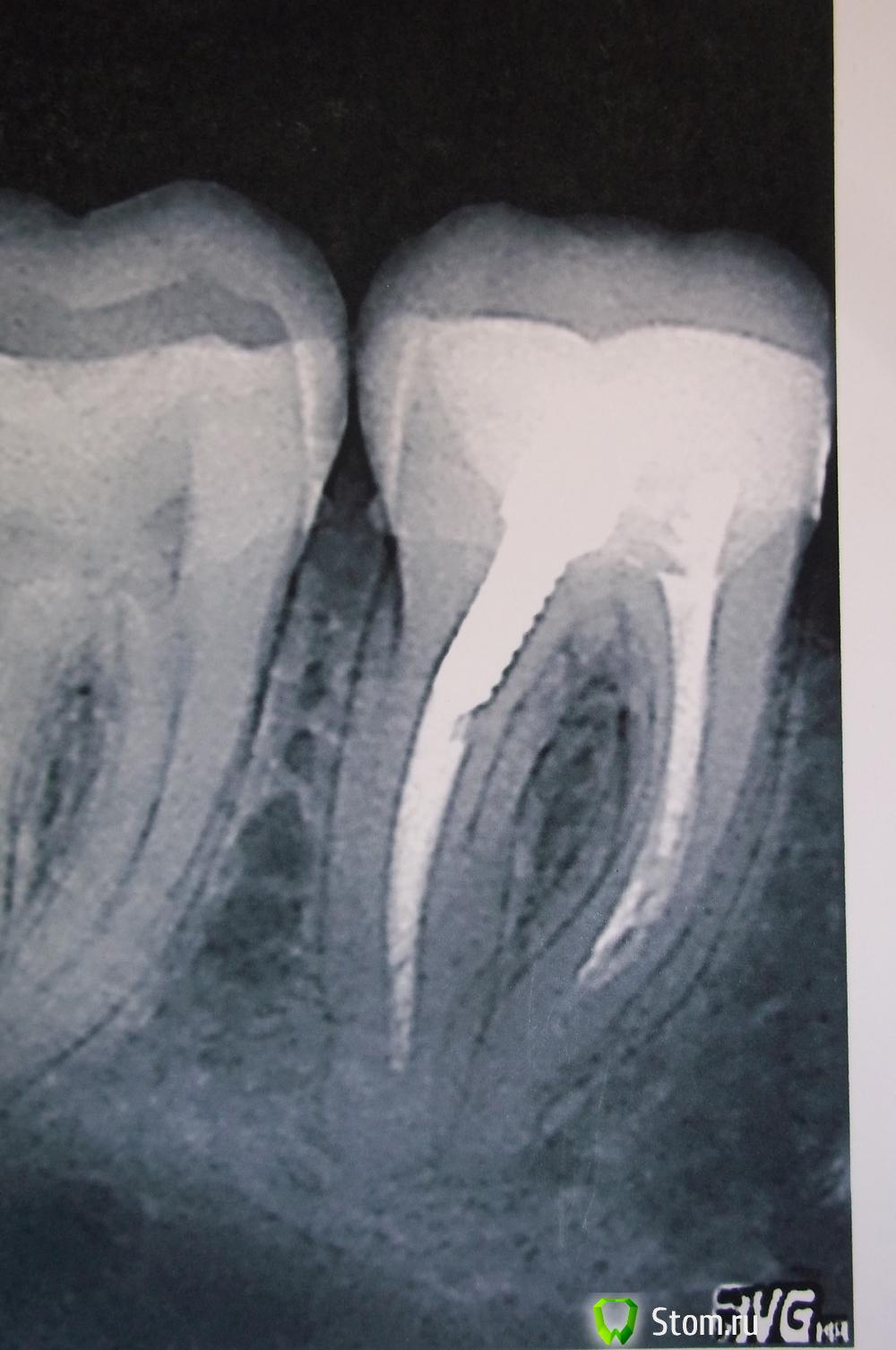
Satym Опубликовано 7 декабря, 2011 Поделиться Опубликовано 7 декабря, 2011 Здравствуйте. Подскажите, пожалуйста, мне. После лечения (нижней 6-ки) зуб заболел где-то через пол года. Врач снимок не делал, сказал, что не надо. Но, выяснилось, что канал не забит до конца. Это видно по снимку 1.jpg. Распломбировали этот не забитый канал, потом час, наверное, а может и больше в ручную иголкой "просверливали" этот канал, чтобы была возможность забить до конца. Положили какое-то лекарство. На следующий день распухла десна. Через неделю (точно не помню) пришла на повторный прием, положили лекарство с кальцием. Прошло полтора месяца, зуб болит, опухоль не спала. Врач сказал, что это лекарство не меняют. Надо ждать когда зуб заживет через несколько месяцев. На рисунке 2.jpg состояние зуба сейчас. Спасибо, Мария Ссылка на комментарий
annda Опубликовано 7 декабря, 2011 Поделиться Опубликовано 7 декабря, 2011 Снимок обрезан6но и на нём видно,что тоже не шибко до конца каналы распломбированы. Ссылка на комментарий
Scrabble Опубликовано 7 декабря, 2011 Поделиться Опубликовано 7 декабря, 2011 Надо вынуть ВСЁ из ВСЕХ каналов, посмотреть на предмет трещины-если нет её, перелечить, если есть-удалить. Ссылка на комментарий
Рекомендуемые сообщения
Для публикации сообщений создайте учётную запись или авторизуйтесь
Вы должны быть пользователем, чтобы оставить комментарий
Создать аккаунт
Зарегистрируйте новый аккаунт в нашем сообществе. Это очень просто!
Регистрация нового пользователяВойти
Уже есть аккаунт? Войти в систему.
Войти