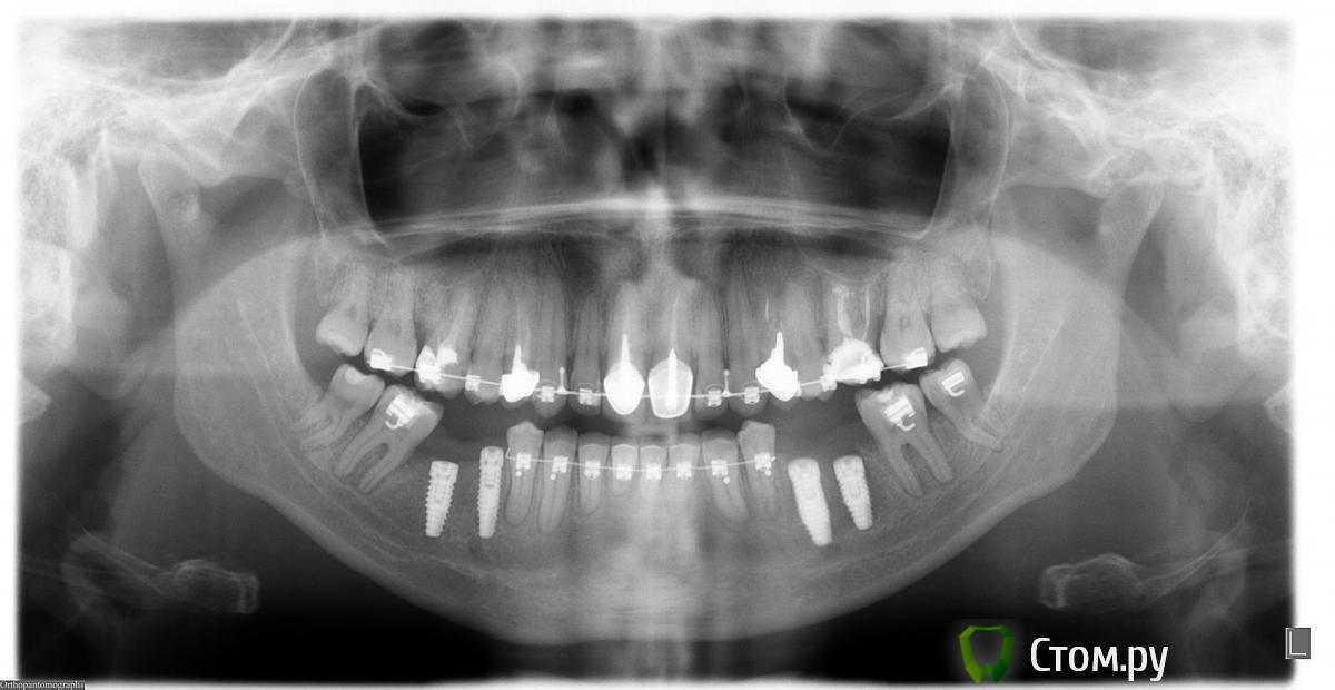
tatu Опубликовано 17 ноября, 2011 Поделиться Опубликовано 17 ноября, 2011 всем доброго дня! у меня такая ситуация - на верхней челюсти стоит металлокерамика. хочу заменить коронки на более эстетичные. рассматриваю диоксид циркония или керамику? можно ли удалить металлические вкладки? Ссылка на комментарий
Bier Опубликовано 17 ноября, 2011 Поделиться Опубликовано 17 ноября, 2011 думаю, что эти вполне реально Ссылка на комментарий
tatu Опубликовано 17 ноября, 2011 Автор Поделиться Опубликовано 17 ноября, 2011 думаю, что эти вполне реальноя консультировалась у нескольких стомалотологов - и была высказана мысль, что выпилить вкладку не повредив корня нереально Ссылка на комментарий
Bier Опубликовано 17 ноября, 2011 Поделиться Опубликовано 17 ноября, 2011 ну из 4рок думаю не получится вкладки достать, а из 11,21 - штифты можно вынуть. Ссылка на комментарий
tatu Опубликовано 17 ноября, 2011 Автор Поделиться Опубликовано 17 ноября, 2011 ну из 4рок думаю не получится вкладки достать, а из 11,21 - штифты можно вынуть.тогда , если можно, у меня к вам 3 вопроса:1. если одном из передних вкладка (11 или 21)- её тоже реально вынуть?2. какие ставить коронки на четверки, если металлическая вкладка останется? сейчас поднялась десна и виден край металла. хочу без металловую коронку, вопрос только какую.3. должны ли все 4 коронки быть сделаны из одного материала, в целях сохранения эстетики? Ссылка на комментарий
Doc Опубликовано 17 ноября, 2011 Поделиться Опубликовано 17 ноября, 2011 всем доброго дня! у меня такая ситуация - на верхней челюсти стоит металлокерамика. хочу заменить коронки на более эстетичные. рассматриваю диоксид циркония или керамику? можно ли удалить металлические вкладки? Скорее всего можно, но с известным риском. Удаление любых вкладок может закончиться удалением зубов. Вероятность разная, но она есть всегда, поэтому действовать нужно осторожно и только врач может ПРИМЕРНО оценить риск перед вмешательством. Вы должны будете подписать дополнительное соглашение о том, что извещены о подобном риске. В принципе, коронки на основе диоксида циркония прекрасно скроют эти вкладки и если у Вас нет какой-то жуткой аллергии на этот металл, то возможно в каких-то зубах его лучше оставить, чем лезть рисковать. Ссылка на комментарий
Doc Опубликовано 17 ноября, 2011 Поделиться Опубликовано 17 ноября, 2011 тогда , если можно, у меня к вам 3 вопроса:1. если одном из передних вкладка (11 или 21)- её тоже реально вынуть?2. какие ставить коронки на четверки, если металлическая вкладка останется? сейчас поднялась десна и виден край металла. хочу без металловую коронку, вопрос только какую.3. должны ли все 4 коронки быть сделаны из одного материала, в целях сохранения эстетики? 1. Да2. Любые, дело не в материале, а в руках врача и техника. Коронки на основе диоксида циркония могут скрыть металлическую вкладку и не дать видимой полоски края металла (если доктор с техником настолько плохи, что допустят ее появление).3. Желательно, но не обязательно. Ссылка на комментарий
tatu Опубликовано 18 ноября, 2011 Автор Поделиться Опубликовано 18 ноября, 2011 1. Да2. Любые, дело не в материале, а в руках врача и техника. Коронки на основе диоксида циркония могут скрыть металлическую вкладку и не дать видимой полоски края металла (если доктор с техником настолько плохи, что допустят ее появление).3. Желательно, но не обязательно.Уважаемый DOc, а имеет ли смысл менять штифт на переднем зубе на вкладку? для меня вопрос как подружить по цвету 2 передних зуба? ведь диоксид циркония на металле будет отличаться по цвету от циркония на штифте, правильно? Ссылка на комментарий
Bier Опубликовано 18 ноября, 2011 Поделиться Опубликовано 18 ноября, 2011 не будет ничего отличаться, но штифт надо вынимать. Ссылка на комментарий
Рекомендуемые сообщения
Для публикации сообщений создайте учётную запись или авторизуйтесь
Вы должны быть пользователем, чтобы оставить комментарий
Создать аккаунт
Зарегистрируйте новый аккаунт в нашем сообществе. Это очень просто!
Регистрация нового пользователяВойти
Уже есть аккаунт? Войти в систему.
Войти