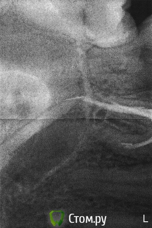
rudwolf Опубликовано 9 ноября, 2011 Поделиться Опубликовано 9 ноября, 2011 (изменено) Здравствуйте! Помогите мне, пожалуйста! Ситуация: Месяц назад врач вскрыла мне верхнюю левую шестерку и с удивлением сказала: "Надо же, зуб-то совсем мертвый, даже мышьяк класть не надо". Никакой боли я никогда в этом зубе не чувствовала, просто немного ныл, и то редко. Мышьяк делать не стали. Врач просверлила мне каналы, поставила невкусную временную пломбу и отпустила с миром на сколько хочу.Я вернулась через неделю, и врач поставила мне постоянную пломбу. При этом чадила там какой-то пахучей штукой, шел дымок, будто я дракончик. Проблема: прошел уже месяц после постоянного пломбирования, а зуб немного ноет. Я читала, что это бывает. Но - постоянный привкус пломбы, как после временной, хотя ведь ставили постоянную.Мне стало интересно и я сделала рентген в другой поликлинике. Огромный, добрый и неунывающий дантист той поликлиники, посмотрев на снимок, радостно сказал мне, что в каналах у меня - два обломка инструмента, и что если не воспалится, жить мне с ними до конца, а если воспалится, драть зуб однозначно вместе со всеми обломками. Также он сказал, что вкус у меня оттого, что никакая это пломба не световая, а вовсе по-прежнему временная. В это световая, по крайней мере фонарь мне в пасть толкали при пломбировке каналов, я точно помню. Еще он предположил что это световая, но треснула.И еще он совсем-совсем не верил, что этот зуб впервые леченный. "Перелеченный он, - говорит, - и все тут". Я не смогла убедить, хотя знаю точно, потому что это моя первая потеря на зубном фронте мой первый депульпированный зуб, с таким не ошибусь. Вопрос: что это на самом деле? И что мне делать? Зуб на гарантии, денег мало; дискомфорт есть, но минимальный, больше всего надоел вкус пломбы - на прикусывании очень слышно. Снимки прилагаю, извините что посередине сгиб, это я от чувств. Слегка расстроена была. Заранее всем огромное спасибо! Изменено 9 ноября, 2011 пользователем rudwolf Ссылка на комментарий
rudwolf Опубликовано 10 ноября, 2011 Автор Поделиться Опубликовано 10 ноября, 2011 (изменено) Много просмотров, ни одного ответа. Начинать паниковать? или проблема у меня надуманная и я успокоюсь? Изменено 10 ноября, 2011 пользователем rudwolf Ссылка на комментарий
Мартовский Опубликовано 10 ноября, 2011 Поделиться Опубликовано 10 ноября, 2011 Много просмотров, ни одного ответа. Начинать паниковать? или проблема у меня надуманная и я успокоюсь? Ну лично мне на этих сканах с распечаток очень плохо видно. Разве нельзя было в цифре выложить? Но сдаётся, что огромный добрый дантист был прав. Ссылка на комментарий
rudwolf Опубликовано 11 ноября, 2011 Автор Поделиться Опубликовано 11 ноября, 2011 Да мне не дали в цифре, дали только это. Ок, спасибо! Ссылка на комментарий
Рекомендуемые сообщения
Для публикации сообщений создайте учётную запись или авторизуйтесь
Вы должны быть пользователем, чтобы оставить комментарий
Создать аккаунт
Зарегистрируйте новый аккаунт в нашем сообществе. Это очень просто!
Регистрация нового пользователяВойти
Уже есть аккаунт? Войти в систему.
Войти