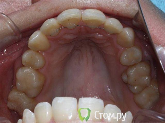
Александрстрад Опубликовано 8 ноября, 2011 Поделиться Опубликовано 8 ноября, 2011 Уважаемые доктора! Потерял и веру и надежду в возможность решения проблемы у своей жены. Одел на нее брекеты у знакомых ортодонтов в Москве, результаты, которых видел. В процессе лечения консультировался и ЦНИИСЕ у Арсениной и у других докторов, работал в крупнейшей медицинской компании, доступ к врачебной базе был очень большой. В процессе лечения все говорили что лечение идет нормально, а когда сняли брекеты ужаснулись все. Хронология лечения у ортодонта описана ниже, включая проблемы, которые мы получили после лечения.1. Показания к лечению брекет-системамиХруст при жевании в правом суставе.Замещение отсутствующего на нижней челюсти пятого зуба справа в течение 10 лет. В результате отсутствия 5-го зуба: наклон 4-го и 6-го по направлению друг к другу, резорбция (убыль) костной ткани на челюсти на месте отсутствующего зуба.Левый клык на верхней челюсти выходил из зубного ряда.Смешение центра верхней челюсти влево.Правый клык до момента начала лечения на верхней челюсти не вышел, находился в состоянии ретинированного, т.е. не вышел.2. Этапы леченияНачало лечения брекет системой - 2006 год.Снятие брекет системы 2009 год.Что было сделано:1. Левый клык на верхней челюсти был поставлен в зубной ряд.2. По отсутствующему 5-му зубу на нижней челюсти - доктор принял решение по замещению, путем передвижения зубов на нижней челюсти вправо,что и было проделано.3. Через 2 года ношения брекет-системы было принято решение по вытаскиванию левого ретинированного клыка.Был удален 3-ий зуб и в освободившееся пространство был вытянут клык.В результате данного объема работ и некорректной работы доктора,были завалены внутрь зубы на верхней челюсти - левая сторона, начиная от 1-го и далее, от резцов до жевательных.Также после сделанного панорамного снимка выяснилось, что произошло рассасывание корней 4-х фронтальных зубов на верхней челюсти более 65%.4. Также в процессе лечения был потерян 6-ой зуб на нижней челюсти слева. Проблемы сейчас1. Хруст в челюсти при жевании и зевании не прекратился, а появился и слева.2. Заваленная левая часть зубов на верхней челюсти не позволяет смещать нижнюю челюсть влево,тем самым перегружаются жевательные мышцы справа, в результате бывают головные боли и боли в мышце при жевании.3. Рассасывание 4-х верхних зубов.4. Расстояние справа между верхней и нижней челюстью на данные момент 3 мм. Сделали после снятия бректов исселдование у ортопеда, заключение ниже. Ее приговор - ТОТАЛЬНОЕ протезирование.Жене 36 лет, она даже слышать об этом не хочет. ПОМОГИТЕ РЕШИТЬ ПРОБЛЕМУ, НАДЕЖДЫ БОЛЬШЕ НЕТ. Заключение ОРТОПЕДАTreatment objectives∙ Transversal and sagittal discrepancy- make passive centic arch of upper jaw fit to active centric active lower jaw∙ First interference contact in RP on 24-34 and 37-27 with disocclusion for + 2 mm. Rp= 0=-2 mm, and till last contact =-4mm on incisal pin, so increase IP for =+3mm∙ Muscle problems∙ Change OPI on right side from 15 degrees to 20 degreees and change Cui right side to∙ Increse LFH +3 mm on incisal pin∙ Curve of Spee will be accentuated for 36∙ Steep condyle- decreased radius curve of Spee∙ Cui for 13 is not more than 55 degrees∙ Curve of Spee=Curve of wilson for 36 and 46∙ Rotation of mesial cusp of 6 down- change OPI for 36 – rotate 36 with mesial contact point OPI 6 = 35 degrees for DOA=12 degrees Ссылка на комментарий
Александрстрад Опубликовано 9 ноября, 2011 Автор Поделиться Опубликовано 9 ноября, 2011 Уважаемые доктора! Прокоментируйте - очень жду помощи от вас! Ссылка на комментарий
Skip Опубликовано 9 ноября, 2011 Поделиться Опубликовано 9 ноября, 2011 А эти ТРГ на каком этапе делались (боковая и прямая)? По описанию МРТ я так и не понял, смещение диска вправляемое или нет, словосочетание "полная репозиция" для меня не совсем привычное? Решение ортопеда с тотальным протезированием тоже требует дополнительных комментариев от него, каковы этапы подготовки к такому протезированию, да вообще, необходимо выяснить, есть ли достаточный опыт ведения пациентов с дисфункцией ВНЧС? В любом случае, первый этап - лечение и стабилизация ВНЧС, но одним только балансом положения нижней челюсти результат врядли будет достигнут, необходимо работать с черепом и постурой, т.к. истинные проблемы с ВНЧС прибывают именно отсюда. Ссылка на комментарий
Премоляр Опубликовано 9 ноября, 2011 Поделиться Опубликовано 9 ноября, 2011 Непонятны причины такой резорбции корней резцов...Да,задача номер один-стабилизация ВНЧС. Я бы пока не думал о повторном ортодонт.лечении,учитывая степень резорбции корней. Ссылка на комментарий
Александрстрад Опубликовано 10 ноября, 2011 Автор Поделиться Опубликовано 10 ноября, 2011 Непонятны причины такой резорбции корней резцов...Да,задача номер один-стабилизация ВНЧС. Я бы пока не думал о повторном ортодонт.лечении,учитывая степень резорбции корней. По стабилизации - ортопед начала двигаться в этом направлении, для чего была проведена большая диагностика за 100 000 руб. в артикуляторе, сделаны слепки, снимки челюсти в госпитале МВД (описания делала сама начальник отделения, по отзывам одна из самых квалифицированных в Москве). После чего она вынесла решение по тотальному протезированию для нормализации положения суставов.Если будет возможность посмотреть презентацию с расчетами, которая была сделана и является финальным результатом диагности, готов отправить на почту. Был бы очень признателен.По тотальному протезированию - это катастрофа. Резорбция корней вызвана чрезмерной нагрузкой, в момент вытягивания правого ретинированного клыка. Когда его тянули резинки закрепляли за левую часть верхней челюсти, чтобы инициировать движение клыка, в результате и правую сторону челюсти "завалили" внутрь, а также получили огромную нагрузку на все фронтальные зубы, результатом чего и стала резорбция.Сначала доктор сам не поверил, что это произошло и может произойти в 33 года. Не рассматривался организм в целом при лечении и заболевания, а по факту у жены артрит/артроз. Ссылка на комментарий
Александрстрад Опубликовано 10 ноября, 2011 Автор Поделиться Опубликовано 10 ноября, 2011 А эти ТРГ на каком этапе делались (боковая и прямая)? По описанию МРТ я так и не понял, смещение диска вправляемое или нет, словосочетание "полная репозиция" для меня не совсем привычное? Решение ортопеда с тотальным протезированием тоже требует дополнительных комментариев от него, каковы этапы подготовки к такому протезированию, да вообще, необходимо выяснить, есть ли достаточный опыт ведения пациентов с дисфункцией ВНЧС? В любом случае, первый этап - лечение и стабилизация ВНЧС, но одним только балансом положения нижней челюсти результат врядли будет достигнут, необходимо работать с черепом и постурой, т.к. истинные проблемы с ВНЧС прибывают именно отсюда. 1. Снимок был сделан 2 недели назад.Дать комментарии по описанию снимков, к сожалению не могу. 2. По комментариям ортопедаВ рамках диагностики подготовлена презентация, где есть все снимки, слепки, графики.Если будет возможность ее просмотреть, буду благодарен.Готов отправить на электронную почту.Для жены данный вариант - это катастрофа. 3. По опыту врача.Врач был рекомендован по направлениям – ортопедия и гнотология, г-ном Чикуновым.Обучался врач и в России и в Австрии. Часть спорных работ отвозится в австрию.По стажу, примерно 5-7 лет практики.ФИО - Дзалаева Ф. К.По опыту работы с суставами – к сожалению, нет информации. Но есть вводная о том, что много работ корректировалось и исправлялось, после ортодонтического лечения, включая суставные. Если есть возможность рекомендовать доктора, который смог бы помочь в челюстной проблеме, был бы очень благодарен.Все возможные "ниточки" на врачей использовал. 4. Еще 3 вопроса – Сняли ретрейнер с нижней челюсти.На нижней челюсти был прикреплен фиксирующий ретрейнер, в течение 1,5 лет. После снятия брекетов, жена жаловалась на постоянный дискомфорт от его ношения (дикция), а также в ожидании того, что нижние зубы, которые передвинули вправо, чтобы заместить дефект отсутствующего 5-го зуба, как выяснилось потом, что этого делать не нужно было, из наклоненнего состояния вернутся частично в исходное состояние. Насколько было правильно решение, доктор, который снимал ретрейнер, сказал, что 1,5 года достаточно, я же читал, что период ношения ретрейнера в два раза больше периода ношения брекетов.Вопрос – необходимо наклеить заново ретрейнер, чтобы не прибавилось дополнительных проблем? И насколько есть вероятность того, что наклоненные зубы, хоть немного поднимутся вправо? - Замещение отсутствующего 6-го зуба на нижней челюсти.На нижней челюсти слева, потеряли зуб 1,5 года назад (киста, с воспалением). Насколько сейчас целесообразно заниматься имплантацией? Переживаю, что кость в челюсти будет «уходить» и потребуется костная пластика.А также на приеме у остеопата получил информацию, что 6-ой зуб, выполняет функцию «программного» для мозга, т.е. мозг дает правильную команду на смыкание челюстей при наличии 6-го зуба.Остеопат рекомендовал по возможности максимально оперативно установить имплант. - Перепрограммирование мышцТакже были на консультации у д-ра Ронкина, который рассказывал про возможность перепрограммирование челюстных мышц, за счет электороимпульсов, через датчики, прикрепленные на лице.Насколько это может помочь в нашей ситуации? Ссылка на комментарий
Премоляр Опубликовано 10 ноября, 2011 Поделиться Опубликовано 10 ноября, 2011 Господи,какая "каша" из терминов и специалистов у вас...Кто что только не предлагает...Один снял ретейнер,другой приклеит,третий опять лечить будет,четвертый еще 100т возьмет за "диагностику в артикуляторе"... Я считаю что резорбция не связана с перегрузкой из-за опоры,т.к. резорбция наблюдается и на резцах нижней.челюсти. Ретейнер нельзя снимать ПОКА,ибо с такой резорбцией он выполняет роль шины и удерживает зубы. По отдельности без ретейнера могут появиться проблемы(подвижность,тремы и т.д...).Начальным этапом надо "оживить и восстановить" ВНЧС,а не планировать импланты,брекеты и т.д...П.С. Вам необходимо найти грамотного специалиста(гнатолога+ортодонта+ортопеда),а не бегать от одного "профессора" к другому...Это только больше запутает вас...П.П.С. Написал в личку про доктора в Мск Ссылка на комментарий
Александрстрад Опубликовано 10 ноября, 2011 Автор Поделиться Опубликовано 10 ноября, 2011 Господи,какая "каша" из терминов и специалистов у вас...Кто что только не предлагает...Один снял ретейнер,другой приклеит,третий опять лечить будет,четвертый еще 100т возьмет за "диагностику в артикуляторе"... Я считаю что резорбция не связана с перегрузкой из-за опоры,т.к. резорбция наблюдается и на резцах нижней.челюсти. Ретейнер нельзя снимать ПОКА,ибо с такой резорбцией он выполняет роль шины и удерживает зубы. По отдельности без ретейнера могут появиться проблемы(подвижность,тремы и т.д...).Начальным этапом надо "оживить и восстановить" ВНЧС,а не планировать импланты,брекеты и т.д...П.С. Вам необходимо найти грамотного специалиста(гнатолога+ортодонта+ортопеда),а не бегать от одного "профессора" к другому...Это только больше запутает вас...П.П.С. Написал в личку про доктора в Мск По ретрейнеру понял. Сколько по времени его носить? Жене нужно будет обозначить срок.Поверьте это не взбалошность или блаж, это еще и большие психологические проблемы после целых 4-х лет ношения брекетов и их последствия, поэтому я и пытюсь лавировать между решением проблемы по факту и психо состоянием жены. Ищу золотую середину. Бегать по врачам мы начали, после того, когда получили проблемы, о которых не предупредили до лечения, что они гипотетически могут быть в рамках лечения брекетами. Поверьте стать пациентом, который мигрирует от доктора к доктору, у которых разные мнения по одной и той же проблеме,удовольствия нам не доставляет. Это вынужденная мера. По контактам - на вас можно сослаться или достаточно прийти, как "уличный" пациент? Ссылка на комментарий
Премоляр Опубликовано 10 ноября, 2011 Поделиться Опубликовано 10 ноября, 2011 Я не хотел вас обидеть...Просто очень много информации,которую вам сложно "переварить"...Это не ваша вина.По контактам-ссылайтесь на меня. Ссылка на комментарий
Александрстрад Опубликовано 10 ноября, 2011 Автор Поделиться Опубликовано 10 ноября, 2011 Я не хотел вас обидеть...Просто очень много информации,которую вам сложно "переварить"...Это не ваша вина.По контактам-ссылайтесь на меня. Рекомендованный вами доктор сможет помочь нам с суставной проблемой?Есть необходимость предоставить вам полную презенатцию по диагностике, возможно сможете дать экспертную оценку? Ссылка на комментарий
Александрстрад Опубликовано 10 ноября, 2011 Автор Поделиться Опубликовано 10 ноября, 2011 Я не хотел вас обидеть...Просто очень много информации,которую вам сложно "переварить"...Это не ваша вина.По контактам-ссылайтесь на меня. По времени ношения ретрейнера на нижней челюсти сможете уточнить? Ссылка на комментарий
Премоляр Опубликовано 10 ноября, 2011 Поделиться Опубликовано 10 ноября, 2011 (изменено) Рекомендованный вами доктор сможет помочь нам с суставной проблемой?Есть необходимость предоставить вам полную презенатцию по диагностике, возможно сможете дать экспертную оценку?1-постарается помочь(нет доктора,кот.скажет вам Я СМОГУ 100%)2-нет,ибо ЧЕРЕЗ ИНТЕРНЕТ никаких "зкспертных" оценок БЫТЬ НЕ МОЖЕТ.П.С. И последнее, все вопросы кот.вы хотите задать мне лично-пишите В ЛИЧКУ. Если есть вопросы касаемо доктора-НАПИШИТЕ ЕМУ В ЛИЧКУ. Если есть сомнения по поводу компетентности предложенного мною доктора-ИЩИТЕ ДРУГОГО. В теме пишем только конкретно по вашему случаю. Я высказал свое мнение. Я по интернету диагнозы не ставлю и не лечу. Изменено 10 ноября, 2011 пользователем Премоляр Ссылка на комментарий
Премоляр Опубликовано 10 ноября, 2011 Поделиться Опубликовано 10 ноября, 2011 По времени ношения ретрейнера на нижней челюсти сможете уточнить?Не снимать до начала предстоящего лечения(протезирования...) Ссылка на комментарий
Александрстрад Опубликовано 10 ноября, 2011 Автор Поделиться Опубликовано 10 ноября, 2011 1-постарается помочь(нет доктора,кот.скажет вам Я СМОГУ 100%)2-нет,ибо ЧЕРЕЗ ИНТЕРНЕТ никаких "зкспертных" оценок БЫТЬ НЕ МОЖЕТ.П.С. И последнее, все вопросы кот.вы хотите задать мне лично-пишите В ЛИЧКУ. Если есть вопросы касаемо доктора-НАПИШИТЕ ЕМУ В ЛИЧКУ. Если есть сомнения по поводу компетентности предложенного мною доктора-ИЩИТЕ ДРУГОГО. В теме пишем только конкретно по вашему случаю. Я высказал свое мнение. Я по интернету диагнозы не ставлю и не лечу. По всем пунктам понял. Спасибо.Прошу прощения за превышение формата коммуникации в рамках личного формата. Ссылка на комментарий
Рекомендуемые сообщения
Для публикации сообщений создайте учётную запись или авторизуйтесь
Вы должны быть пользователем, чтобы оставить комментарий
Создать аккаунт
Зарегистрируйте новый аккаунт в нашем сообществе. Это очень просто!
Регистрация нового пользователяВойти
Уже есть аккаунт? Войти в систему.
Войти