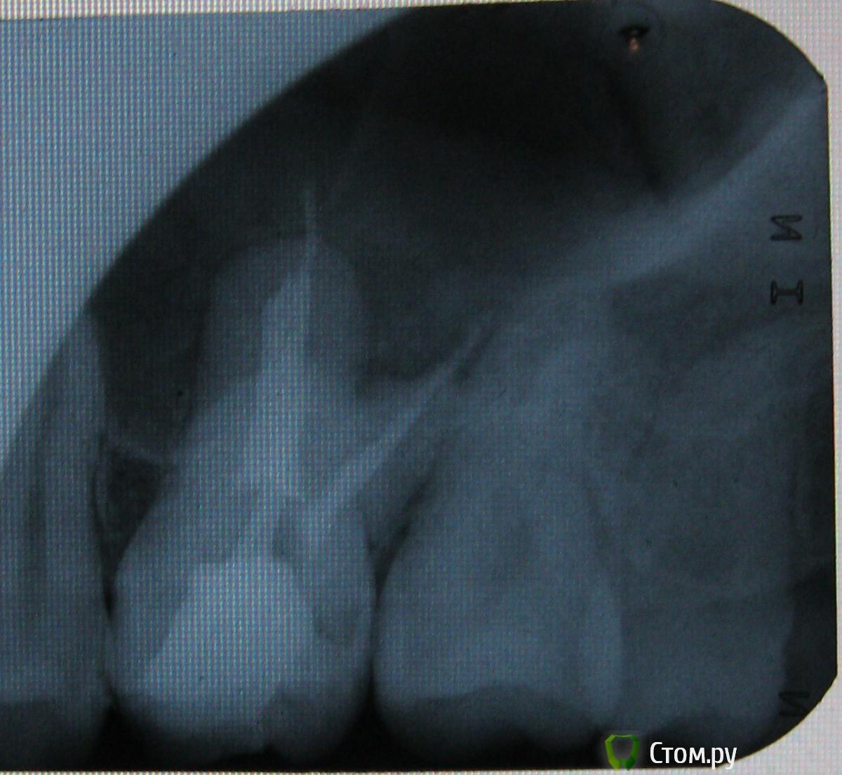
b69 Опубликовано 7 ноября, 2011 Поделиться Опубликовано 7 ноября, 2011 Обнаружили пульпит в зубе, врач поставил Депульпин. После этого, через несколько дней, сделал снимок. Вопрос, что за область, отличающегося оттенка, над средним зубом на снимке? Ссылка на комментарий
Stomart Опубликовано 7 ноября, 2011 Поделиться Опубликовано 7 ноября, 2011 (изменено) Это третий корень Изменено 7 ноября, 2011 пользователем Stomart Ссылка на комментарий
Igor3252 Опубликовано 8 ноября, 2011 Поделиться Опубликовано 8 ноября, 2011 плюс 100500 Ссылка на комментарий
b69 Опубликовано 8 ноября, 2011 Автор Поделиться Опубликовано 8 ноября, 2011 Спасибо, сам бы не догадался) Ссылка на комментарий
b69 Опубликовано 11 ноября, 2011 Автор Поделиться Опубликовано 11 ноября, 2011 (изменено) Вот запломбировали каналы, врач сказал что они "не очень". Что вы можете сказать про них по снимку?И ещё вопрос, почему даже если уже начался пульпит зуб может не болеть? Изменено 11 ноября, 2011 пользователем b69 Ссылка на комментарий
Рекомендуемые сообщения
Для публикации сообщений создайте учётную запись или авторизуйтесь
Вы должны быть пользователем, чтобы оставить комментарий
Создать аккаунт
Зарегистрируйте новый аккаунт в нашем сообществе. Это очень просто!
Регистрация нового пользователяВойти
Уже есть аккаунт? Войти в систему.
Войти