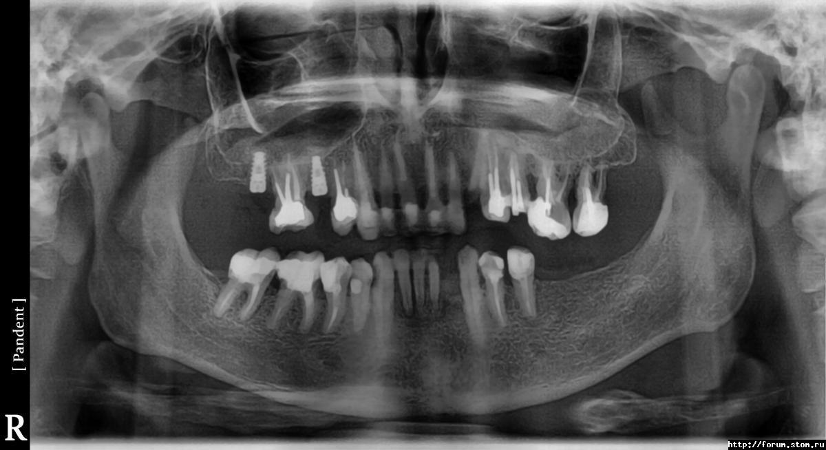
alexy78rus Опубликовано 7 ноября, 2011 Поделиться Опубликовано 7 ноября, 2011 Как, на Ваш взгляд, правильно или нет установленно два импланта? У этого врача предстоит устанавливать еще 5-7штук. По ощущениям - острая боль после проподания наркоза в течении 10часов. Далее небольшой отек и поднывания 7дней.Сегодня пойду снимать швы. Ссылка на комментарий
Большой Зеленый Опубликовано 7 ноября, 2011 Поделиться Опубликовано 7 ноября, 2011 Все хорошо Ссылка на комментарий
Рекомендуемые сообщения
Для публикации сообщений создайте учётную запись или авторизуйтесь
Вы должны быть пользователем, чтобы оставить комментарий
Создать аккаунт
Зарегистрируйте новый аккаунт в нашем сообществе. Это очень просто!
Регистрация нового пользователяВойти
Уже есть аккаунт? Войти в систему.
Войти