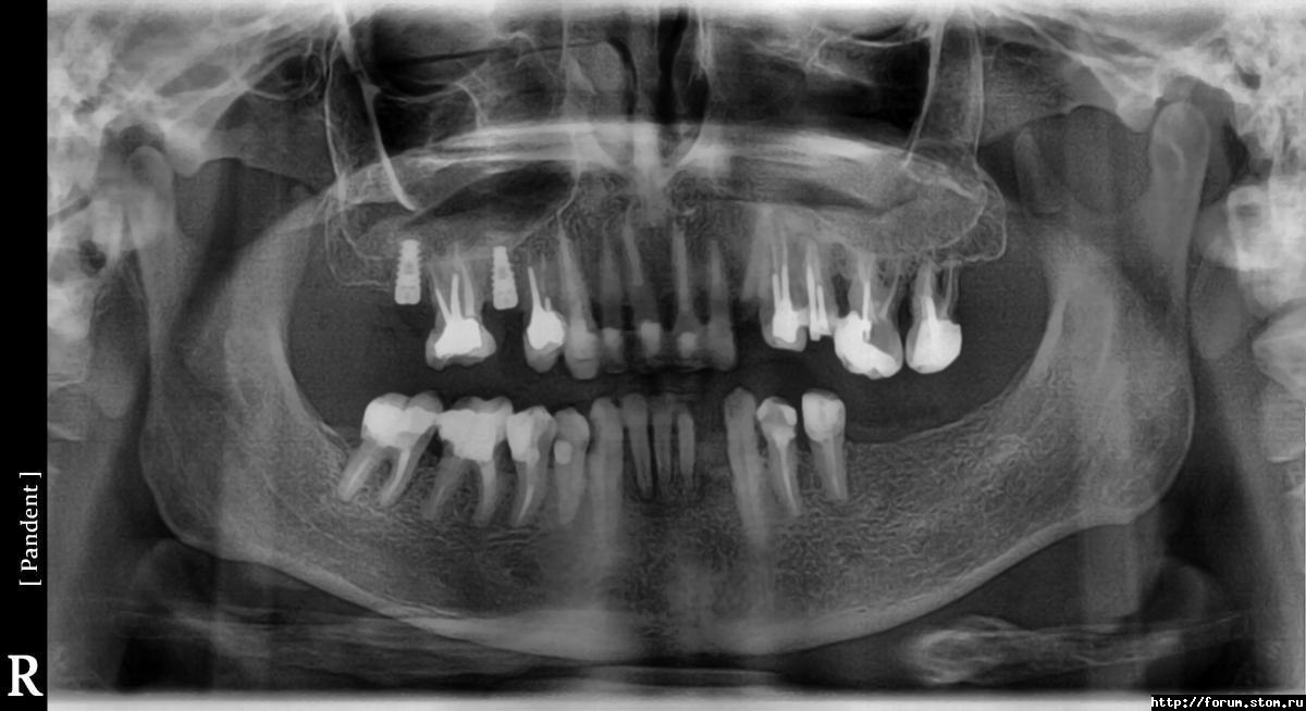
alexy78rus Опубликовано 7 ноября, 2011 Поделиться Опубликовано 7 ноября, 2011 Врач предлагает выдрать передние нижние резцы, обломанный верхний клык, и три верхних зуба слева(из за опущения).Замена всего этого хозяйства на импланты. Не слишком ли радикально? Предложите-покритикуйте план лечения Ссылка на комментарий
Bier Опубликовано 7 ноября, 2011 Поделиться Опубликовано 7 ноября, 2011 нормально Ссылка на комментарий
Рекомендуемые сообщения
Для публикации сообщений создайте учётную запись или авторизуйтесь
Вы должны быть пользователем, чтобы оставить комментарий
Создать аккаунт
Зарегистрируйте новый аккаунт в нашем сообществе. Это очень просто!
Регистрация нового пользователяВойти
Уже есть аккаунт? Войти в систему.
Войти