alexy78rus Опубликовано 1 ноября, 2011 Поделиться Опубликовано 1 ноября, 2011 Добрый день, Очень обидно, отломался верхний клык, по самую десну.В клиннике, куда я обратился предлагают одномоментное удаление с имплантацией и подсадкой костной ткани. Если шанс сохранить корень?У меня уже поставили два импланта и надо ставить еще 7 штук.Если да - кто в Питере возмется за такую работу Ссылка на комментарий
Salma Опубликовано 1 ноября, 2011 Поделиться Опубликовано 1 ноября, 2011 Добрый день, Очень обидно, отломался верхний клык, по самую десну.В клиннике, куда я обратился предлагают одномоментное удаление с имплантацией и подсадкой костной ткани. Если шанс сохранить корень?У меня уже поставили два импланта и надо ставить еще 7 штук.Если да - кто в Питере возмется за такую работуБез рентгеновского снимка и желательно фотографии корня в полости рта сказать что либо невозможно Ссылка на комментарий
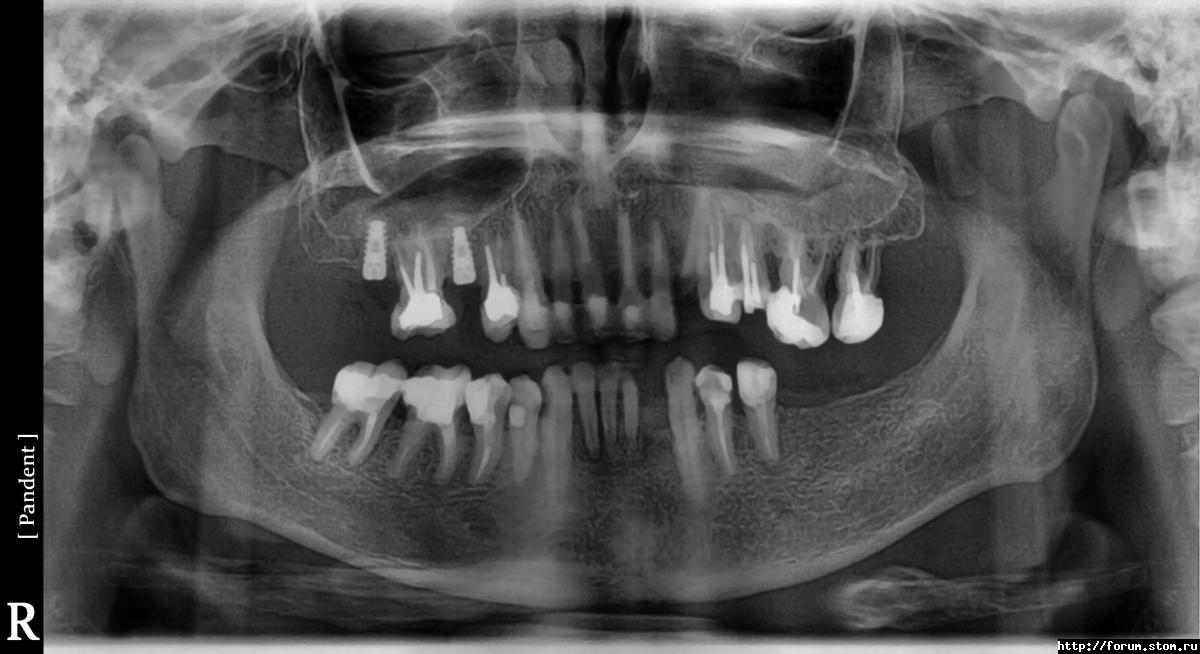
alexy78rus Опубликовано 7 ноября, 2011 Автор Поделиться Опубликовано 7 ноября, 2011 Вот, pls, посмотрите Какую программу лечения можно считать оптимальной. Ссылка на комментарий
Рекомендуемые сообщения
Для публикации сообщений создайте учётную запись или авторизуйтесь
Вы должны быть пользователем, чтобы оставить комментарий
Создать аккаунт
Зарегистрируйте новый аккаунт в нашем сообществе. Это очень просто!
Регистрация нового пользователяВойти
Уже есть аккаунт? Войти в систему.
Войти